Добавить в корзинуПозвонить
Найти в Дзене

Ребёнок проглотил батарейку: как распознать опасность и что делать?

Каждый год во всём мире фиксируются тысячи случаев проглатывания батареек детьми. В России полноценной статистики нет, но педиатры и хирурги подтверждают: такие ситуации происходят гораздо чаще, чем кажется. Маленькие дети познают мир через прикосновение и вкус, и любые мелкие блестящие предметы — особенно кнопочные батарейки — становятся для них «лакомой целью»...
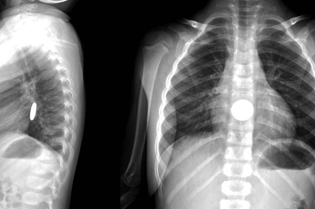
Реальная история, которая может случиться с каждым Одна мама из Подмосковья рассказала, что даже не заметила, как её двухлетний сын открыл игрушку и достал из неё батарейку. Ребёнок просто играл рядом, никаких подозрительных звуков или криков не было. Но спустя несколько минут она увидела, что сын внезапно начал сильно пускать слюну и хрипеть, словно подавился и срочно вызвала скорую помощь. Сначала она решила, что это простуда или аллергия. Но педиатр скорой сразу заподозрил химический ожог и отправил малыша на рентген. На снимке была видна та самая «таблетка». Ребёнка экстренно доставили в операционную. Врачи потом сказ
Оглавление

Каждый год во всём мире фиксируются тысячи случаев проглатывания батареек детьми. В России полноценной статистики нет, но педиатры и хирурги подтверждают: такие ситуации происходят гораздо чаще, чем кажется. Маленькие дети познают мир через прикосновение и вкус, и любые мелкие блестящие предметы — особенно кнопочные батарейки — становятся для них «лакомой целью»...

Реальная история, которая может случиться с каждым

Одна мама из Подмосковья рассказала, что даже не заметила, как её двухлетний сын открыл игрушку и достал из неё батарейку. Ребёнок просто играл рядом, никаких подозрительных звуков или криков не было. Но спустя несколько минут она увидела, что сын внезапно начал сильно пускать слюну и хрипеть, словно подавился и срочно вызвала скорую помощь. Сначала она решила, что это простуда или аллергия. Но педиатр скорой сразу заподозрил химический ожог и отправил малыша на рентген. На снимке была видна та самая «таблетка». Ребёнка экстренно доставили в операционную. Врачи потом сказали: ещё немного — и ожог стал бы необратимым.

Эта история закончилась благополучно, но только благодаря мгновенной реакции родителей и медиков.

Почему батарейка так опасна?

-2

Батарейка начинает наносить вред в первые же минуты после проглатывания. Влажная среда пищевода запускает химическую реакцию, и батарейка буквально «выжигает» ткани вокруг себя.

Причём не имеет значения, новая она или почти разряженная — риск одинаково высок. Как понять, что ребёнок мог проглотить батарейку?

Обратите внимание на следующие симптомы:

  • внезапное обильное слюноотделение
  • кашель или хрипы
  • затруднённое дыхание
  • тошнота, рвота
  • бледность, слабость
  • боль или жжение в горле
-3

Особенно важно помнить, что ребёнок может не сказать, что проглотил что-то опасное. Иногда взрослые узнают о случившемся только по косвенным признакам.

Что делать, если вы подозреваете проглатывание батарейки?

-4
  1. Сразу звоните в скорую помощь (112)!
  2. Не давайте воду, еду, молоко.
  3. Не пытайтесь вызвать рвоту.

Любые действия без контроля врача могут усилить повреждение!

Как избежать беды:

-5
  • Держите все батарейки в недоступном для детей месте — лучше в закрытом контейнере.
  • Регулярно проверяйте игрушки: крышки отсеков должны быть надёжно закручены.
  • Не оставляйте использованные батарейки на столе или в мусорном ведре, куда ребёнок может дотянуться.
  • Покупайте игрушки только с безопасными, хорошо закреплёнными батарейными блоками.

Мы не можем уберечь детей от всех опасностей мира, но можем снизить риски и действовать быстро, если что-то произошло. Берегите себя и своих малышей 💚