Найти в Дзене
Войти
стоматология Мой Ортодонт
546 подписчиков
Подписаться
ДО↔️ПОСЛЕ
14 декабря 2025
14 дек 2025
~1 мин
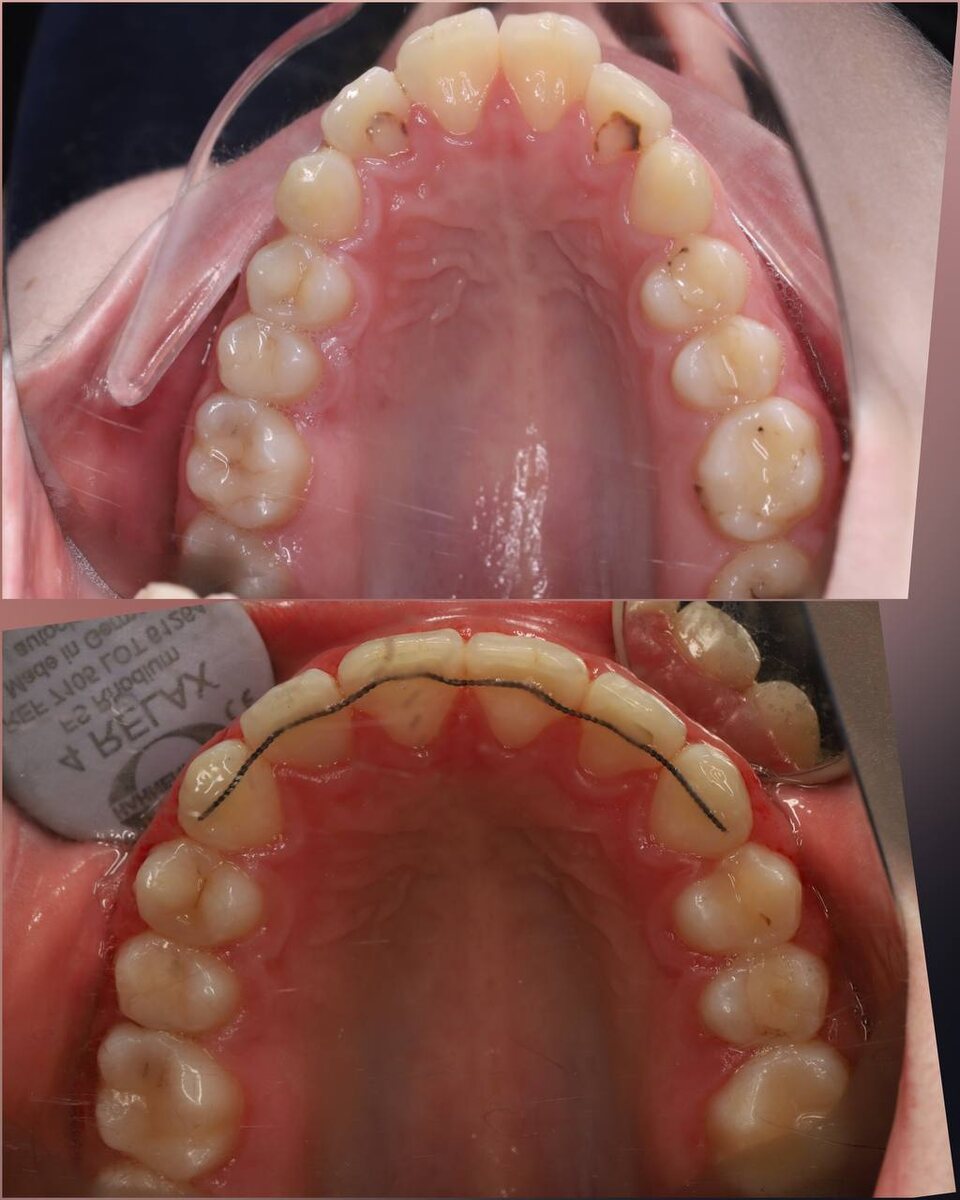
ДО↔️ПОСЛЕ ортодонтическое лечение 🦷⛓️🦷⛓️🦷⛓️🦷⛓️🦷⛓️🦷 👨⚕️Врач: Алексей Игоревич 👏👏👏
ДО↔️ПОСЛЕ ортодонтическое лечение 🦷⛓️🦷⛓️🦷⛓️🦷⛓️🦷⛓️🦷 👨⚕️Врач: Алексей Игоревич 👏👏👏
...
Читать далее
ДО↔️ПОСЛЕ
ортодонтическое лечение
🦷⛓️🦷⛓️🦷⛓️🦷⛓️🦷⛓️🦷
👨⚕️Врач: Алексей Игоревич
👏👏👏