Добавить в корзинуПозвонить
Найти в Дзене

Что такое синус-лифтинг и зачем нужен осмотр ЛОР врача перед имплантацией?

Синус — это пазуха.
Лифтинг — это поднятие.
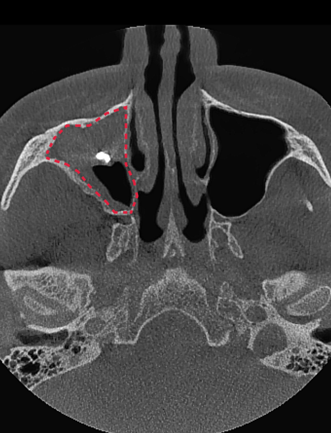
Синус-лифтинг — это операция по наращиванию кости в области верхней челюсти для установки имплантата. При отсутствии зуба кость в этом месте часто истончается. Для имплантации не хватает объёма костной ткани. Поэтому хирург аккуратно приподнимает дно гайморовой пазухи и производит подсадку костного материала, чтобы создать прочную основу для имплантата. Почему важно проверить пазухи перед операцией? Перед синус-лифтингом врач обязан убедиться, что: пазуха здоровая; нет воспалений, отёков, анатомических особенностей (например, искривлённой перегородки), которые могут помешать заживлению. Даже идеально выполненная операция может дать плохой результат, если пазуха не в порядке. Пациент может и не знать о проблемах, но именно они часто становятся причиной повторных неудач и воспалений после процедуры. Подготовка к синус-лифтингу. Компьютерная томография до ЛОР-лечения. На снимке видим инородное тело и грибковую ткань в пазухе. Синус-лифтинг прово
Оглавление

Синус — это пазуха.
Лифтинг — это поднятие.
Синус-лифтинг — это операция по наращиванию кости в области верхней челюсти для установки имплантата.

При отсутствии зуба кость в этом месте часто истончается. Для имплантации не хватает объёма костной ткани. Поэтому хирург аккуратно приподнимает дно гайморовой пазухи и производит подсадку костного материала, чтобы создать прочную основу для имплантата.

Почему важно проверить пазухи перед операцией?

Перед синус-лифтингом врач обязан убедиться, что:

  • пазуха здоровая;
  • нет воспалений, отёков, анатомических особенностей (например, искривлённой перегородки), которые могут помешать заживлению.

Даже идеально выполненная операция может дать плохой результат, если пазуха не в порядке. Пациент может и не знать о проблемах, но именно они часто становятся причиной повторных неудач и воспалений после процедуры.

Подготовка к синус-лифтингу. Компьютерная томография до ЛОР-лечения. На снимке видим инородное тело и грибковую ткань в пазухе. Синус-лифтинг проводить нельзя.
Подготовка к синус-лифтингу. Компьютерная томография до ЛОР-лечения. На снимке видим инородное тело и грибковую ткань в пазухе. Синус-лифтинг проводить нельзя.
Компьютерная томография после ЛОР-лечения. Синус-лифтинг проводить можно.
Компьютерная томография после ЛОР-лечения. Синус-лифтинг проводить можно.

Типичная ситуация:

Пациенту провели синус-лифтинг, но через 2-3 недели появляется воспаление, отёк, выделение гноя.

Такое возможно, если пазуха была изначально не здорова, не справилась с отеком, было заблокировано соустье (канал, через который она очищается, соединяясь с носом) или наличие искривлённой перегородки носа нарушило процесс заживления.

Это осложнение можно было предотвратить, если бы перед процедурой пациента осмотрел ЛОР.

Как это предотвратить?

  1. Сделать КТ до процедуры
  2. Проверить анатомию пазух
  3. Если есть особенности, обсудить их с ЛОРом
    Иногда достаточно использовать сосудосуживающий спрей. В ряде случаев показана септопластика.