Найти в Дзене

Минивинты в ортодонтии - для чего они нужны?

Одна из самых непонятных и смущающих вещей в ортодонтическом лечении – минивинты. Пациенты обычно не понимают, что еще за винты используют стоматологи, куда их вкручивают и точно ли они нужны. Давайте разберем конкретный случай лечения с использованием минивинтов. Стоматологические минивинты выглядят как обычные винтики: стоматологический минивинт Они бывают разных размеров – от четырех до семнадцати миллиметров в длину пол миллиметра в ширину.
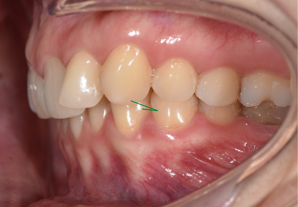
У пациентки, кейс которой мы сегодня рассматриваем, было очень большое несоответствие по контактам – это значит, что верхний зуб неправильно смыкался с нижними, контактируя не с двумя антагонистами, как положено, а заходя на другие зубы. По этой фотографии видно, что несоответствие у нас больше, чем на половину зуба – зеленой стрелочкой показано, на какие зубы должен заходить клык. клык ушел сильно вперед, смыкаясь только с одним зубом на верхней челюсти. По этой причине верхние зубы нам нужно двигать назад очень сильно, порядка трех с полови

Одна из самых непонятных и смущающих вещей в ортодонтическом лечении – минивинты. Пациенты обычно не понимают, что еще за винты используют стоматологи, куда их вкручивают и точно ли они нужны.

Давайте разберем конкретный случай лечения с использованием минивинтов.

Стоматологические минивинты выглядят как обычные винтики:

стоматологический минивинт
стоматологический минивинт

Они бывают разных размеров – от четырех до семнадцати миллиметров в длину пол миллиметра в ширину.

У пациентки, кейс которой мы сегодня рассматриваем, было очень большое несоответствие по контактам – это значит, что верхний зуб неправильно смыкался с нижними, контактируя не с двумя антагонистами, как положено, а заходя на другие зубы.

По этой фотографии видно, что несоответствие у нас больше, чем на половину зуба – зеленой стрелочкой показано, на какие зубы должен заходить клык.

клык ушел сильно вперед, смыкаясь только с одним зубом на верхней челюсти.
клык ушел сильно вперед, смыкаясь только с одним зубом на верхней челюсти.

По этой причине верхние зубы нам нужно двигать назад очень сильно, порядка трех с половиной – четырех миллиметров. Это можно сделать брекет-системой или элайнерами – однако объем сдвигаемой группы большой, и движение станет непредсказуемым.

Для таких передвижений и используются специальные минивинты.

Минивинт это, по сути, абсолютная опора, которая позволяет нам, цепляясь за нее, плавно и предсказуемо перемещать зубы целой группой. Если бы винта не было, ортодонтический аппарат, не имея точки опоры, либо не сдвинул бы зубы на такое расстояние совсем, либо сдвигал бы слишком долго, увеличив срок лечения на несколько лет. Есть и вариант, при котором элайнеры или брекеты, используя слишком сильную тягу, сдвинули бы передние зубы так, что могла бы быть повреждена кость.

Для исключения таких моментов, ортодонты используют минивинты, чтобы полностью безопасно, предсказуемо и относительно быстро сдвинуть зубы, используя винт как опору.

В итоге нами был получен такой результат:

верхний зуб смыкается с двумя нижними антагонистами
верхний зуб смыкается с двумя нижними антагонистами

Появились отличные контакты зубов между собой (которые еще и позволили затем нам сделать оптимальные реставрации), зафиксированы положения зубов и челюстей. Кроме того убраны фасетки стираемости – места неправильного соприкосновения зубов, которые приводили к повышенной стираемости эмали.

Конечно, лечение на этом не было закончено – еще расскажем о полном ходе лечения этой пациентки на элайнерах и о том, как ортопед делал ей реставрации, доводя работу до идеала.

Однако без минивинта достичь такого результата было бы очень сложно – или даже невозможно.