Добавить в корзинуПозвонить
Найти в Дзене

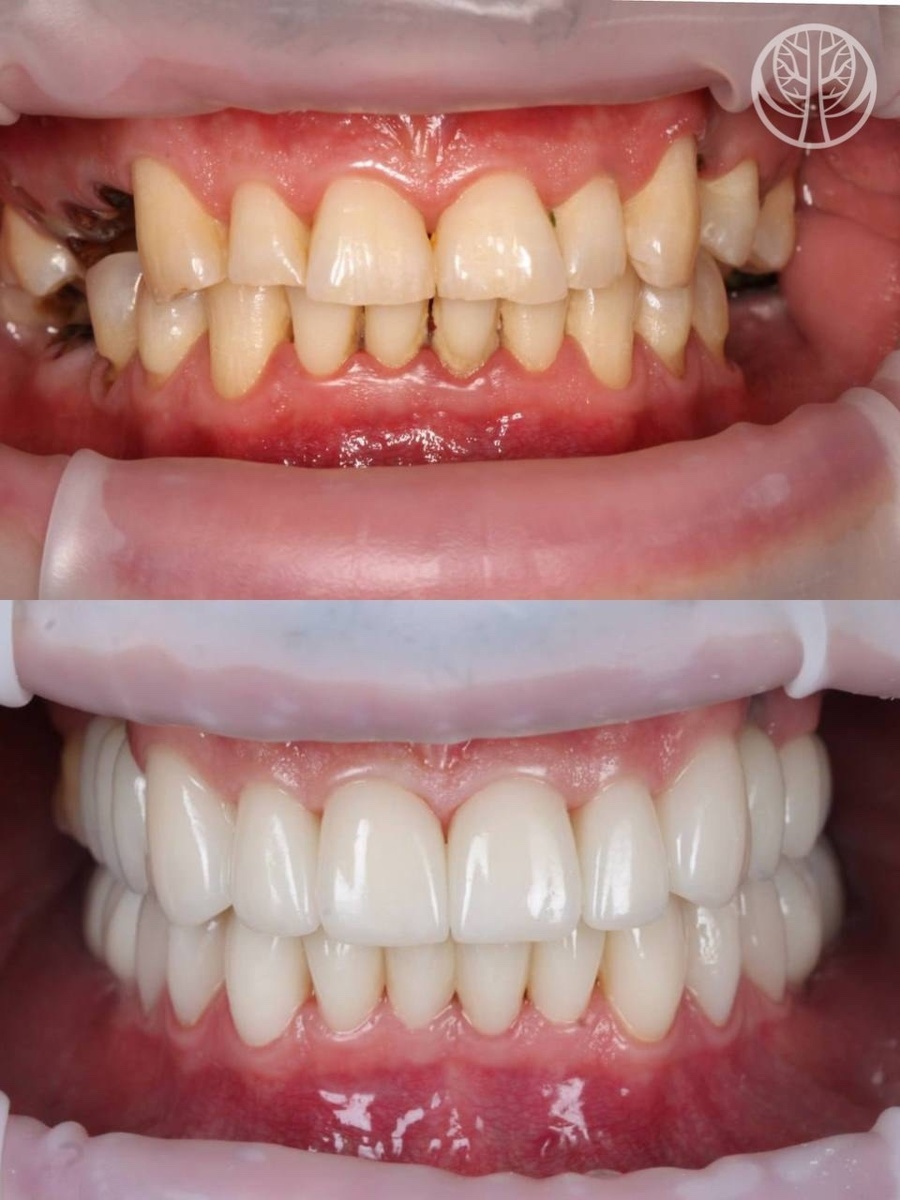
📢 Комбинированная тотальная работа

Данная работа выполнена по индивидуальным настройкам артикулятора. Данные получены после проведения аксиографии. Этапы работы: Первый этап
Проведена аксиография и выявлено положение в ЦС нижней челюсти. Второй этап
Функциональная моделировка верхней и нижней челюсти в ЦС Третий этап
Изготовление прозрачных силиконовых ключей для переноса Wax-up Четвертый этап
После нескольких недель изготовления Mock-up препарируется нижняя челюсть и изготавливаются комбинированные коронки цирконий + Emax.
После фиксации нижней челюсти препарируется верхняя челюсть и изготовляются комбинированные цирконий цирконий + Emax. Доктор: Анпилогов Максим CAD/CAM: Ващенков Кирилл Техник: Кудрявцева Анна

Данная работа выполнена по индивидуальным настройкам артикулятора. Данные получены после проведения аксиографии.

Этапы работы:

Первый этап
Проведена аксиография и выявлено положение в ЦС нижней челюсти.
Первый этап Проведена аксиография и выявлено положение в ЦС нижней челюсти.
Второй этап
Функциональная моделировка верхней и нижней челюсти в ЦС
Второй этап Функциональная моделировка верхней и нижней челюсти в ЦС
Третий этап
Изготовление прозрачных силиконовых ключей для переноса Wax-up
Третий этап Изготовление прозрачных силиконовых ключей для переноса Wax-up
Четвертый этап
После нескольких недель изготовления Mock-up препарируется нижняя челюсть и изготавливаются комбинированные коронки цирконий + Emax.
После фиксации нижней челюсти препарируется верхняя челюсть и изготовляются комбинированные цирконий цирконий + Emax.
Четвертый этап После нескольких недель изготовления Mock-up препарируется нижняя челюсть и изготавливаются комбинированные коронки цирконий + Emax. После фиксации нижней челюсти препарируется верхняя челюсть и изготовляются комбинированные цирконий цирконий + Emax.
-6
-7
-8

Доктор: Анпилогов Максим

CAD/CAM: Ващенков Кирилл

Техник: Кудрявцева Анна