Добавить в корзинуПозвонить
Найти в Дзене
Apple SPb Event

Взлом собственной плоти: фокусник забыл пароль от вживлённого в руку чипа

Эта история звучит как сюжет ненаписанного рассказа, но для Цзы Тэн Вана, молекулярного биолога и иллюзиониста из Миссури, она стала реальностью. Ван оказался в парадоксальной ситуации: он вживил в собственную ладонь компьютерный чип для демонстрации фокусов, но спустя некоторое время банально забыл от него пароль. О своей проблеме Ван, выступающий под псевдонимом Zi the Mentalist, рассказал в соцсетях, приложив рентгеновский снимок. На нём отчётливо виден белый контур микрочипа, застрявшего в мягких тканях между большим и указательным пальцами. «Прямо сейчас я живу в собственной киберпанк-антиутопии: я потерял доступ к технологии, находящейся внутри моего тела, и в этом исключительно моя вина», — написал Ван. На первый взгляд, ситуация кажется просто забавным анекдотом. Однако на фоне новостей о компании Neuralink Илона Маска, которая активно продвигает идею мозговых имплантов, опыт Вана служит отрезвляющим предостережением. Любая технология, даже интегрированная в организм, остаётся

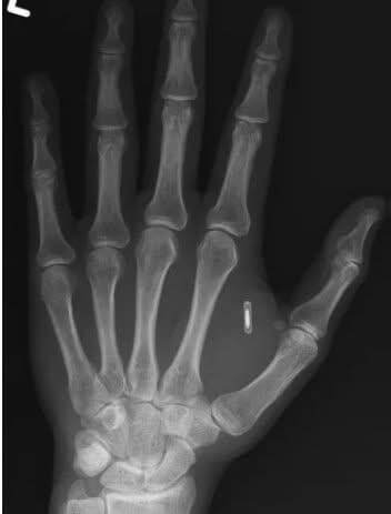
Эта история звучит как сюжет ненаписанного рассказа, но для Цзы Тэн Вана, молекулярного биолога и иллюзиониста из Миссури, она стала реальностью. Ван оказался в парадоксальной ситуации: он вживил в собственную ладонь компьютерный чип для демонстрации фокусов, но спустя некоторое время банально забыл от него пароль.

О своей проблеме Ван, выступающий под псевдонимом Zi the Mentalist, рассказал в соцсетях, приложив рентгеновский снимок. На нём отчётливо виден белый контур микрочипа, застрявшего в мягких тканях между большим и указательным пальцами.

«Прямо сейчас я живу в собственной киберпанк-антиутопии: я потерял доступ к технологии, находящейся внутри моего тела, и в этом исключительно моя вина», — написал Ван.
-2

На первый взгляд, ситуация кажется просто забавным анекдотом. Однако на фоне новостей о компании Neuralink Илона Маска, которая активно продвигает идею мозговых имплантов, опыт Вана служит отрезвляющим предостережением. Любая технология, даже интегрированная в организм, остаётся уязвимой: компании могут обанкротиться, поддержка устройств прекратиться, а пользователь — просто забыть комбинацию символов.

Ван объяснил, что имплантировал RFID-метку (Radio Frequency Identification) «давным-давно» ради сценического эффекта. Идея заключалась в том, чтобы взаимодействовать со смартфонами зрителей. Однако реальность оказалась прозаичнее:

«Выяснилось, что, когда ты постоянно прижимаешь чужой телефон к своей руке, пытаясь нащупать, где именно у конкретной модели находится RFID-считыватель, это выглядит не слишком таинственно и уж точно не "магически". К тому же у многих эта функция просто отключена, а использование собственного смартфона лишало трюк вау-эффекта».

Разочаровавшись в использовании гаджета как реквизита для фокусов, Ван решил перепрограммировать его. Сначала он записал на чип биткоин-адрес, а позже настроил переадресацию на один из мемов на популярном хостинге изображений Imgur.

Проблемы начались несколько лет спустя, когда ссылка на Imgur перестала работать. Ван попытался перезаписать данные на чипе, но с ужасом обнаружил, что установил пароль для защиты от записи и начисто стёр его из памяти.

Развязка истории оказалась неутешительной. Технически подкованные друзья объяснили иллюзионисту, что единственный способ разблокировать устройство — это метод грубой силы (brute-force). Для этого ему пришлось бы буквально примотать RFID-ридер к ладони на несколько дней или даже недель, пока программа перебирает миллионы возможных комбинаций.

В итоге чип остался в руке, надёжно защищённый забытым кодом.

«По крайней мере, ссылка на Imgur снова заработала, — иронизирует Ван. — Но я всё ещё заблокирован в собственном теле. Это неудобно, но чертовски смешно».

Цзы Тэн Ван — не первый энтузиаст, попавший в подобную ловушку. В 2018 году Дэниел Оберхаус, бывший автор издания Vice, поделился похожей историей. Будучи в нетрезвом состоянии, он имплантировал себе NFC-чип, но, как и Ван, забыл от него код доступа. Оберхаус тогда назвал себя «самым бесполезным киборгом в мире».

К счастью для журналиста, ему удалось восстановить пароль после долгих часов изучения технических каталогов и спецификаций.

«Если бы я мог дать единственный совет тем, кто подумывает об имплантации NFC-чипа, он звучал бы так: делайте это трезвым», — подытожил тогда Оберхаус.

Ещё по теме: