Найти в Дзене
Биохимические качели

Ядро для ЕГЭ по биологии

Ядро – это наиболее крупный и наиболее важный органоид эукариотической клетки. Оно является постоянным и обязательным структурным компонентом цитоплазмы. Ядро контролирует всю активность клетки, поскольку несет в себе генетическую (наследственную) информацию, заключенную в ДНК. Эукариотические клетки, по определению, отличаются от прокариотических наличием ядра. В прокариотических клетках генетический материал (ДНК) свободно лежит в цитоплазме в зоне, называемой нуклеоидом. Большинство клеток имеют одно ядро, но встречаются также двуядерные и многоядерные клетки (например, у некоторых протистов, в скелетных мышцах позвоночных, в клетках грибов). Некоторые высокоспециализированные клетки, такие как эритроциты млекопитающих и клетки ситовидных трубок у покрытосеменных, в процессе дифференцировки утрачивают ядро и, следовательно, не способны к размножению. Ядро обычно имеет шаровидную или овальную форму. В животной клетке оно, как правило, находится в центре, тогда как в растительной клет
Оглавление
Ядро – это наиболее крупный и наиболее важный органоид эукариотической клетки. Оно является постоянным и обязательным структурным компонентом цитоплазмы. Ядро контролирует всю активность клетки, поскольку несет в себе генетическую (наследственную) информацию, заключенную в ДНК.

Общие характеристики и локализация

Эукариотические клетки, по определению, отличаются от прокариотических наличием ядра. В прокариотических клетках генетический материал (ДНК) свободно лежит в цитоплазме в зоне, называемой нуклеоидом.

Большинство клеток имеют одно ядро, но встречаются также двуядерные и многоядерные клетки (например, у некоторых протистов, в скелетных мышцах позвоночных, в клетках грибов). Некоторые высокоспециализированные клетки, такие как эритроциты млекопитающих и клетки ситовидных трубок у покрытосеменных, в процессе дифференцировки утрачивают ядро и, следовательно, не способны к размножению.

Ядро обычно имеет шаровидную или овальную форму. В животной клетке оно, как правило, находится в центре, тогда как в растительной клетке часто расположено на периферии из-за наличия крупной центральной вакуоли.

Диаметр ядер обычно составляет около 10 мкм.

-2

Основные функции ядра

Ядро выполняет две главные, жизненно важные функции:

1. Хранение, воспроизведение и передача генетической информации.

2. Обеспечение и регуляция процессов обмена веществ и всей жизнедеятельности клетки.

Поскольку все ферменты – это белки, ядро контролирует работу всех органелл и определяет интенсивность обмена веществ, передавая сведения о том, какие белки клетке необходимо синтезировать. При удалении ядра клетка погибает.

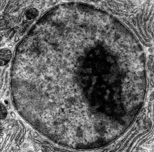
Строение ядра

Общий план строения ядра одинаков у всех эукариотических клеток. Оно состоит из:

1. Ядерной оболочки (кариолеммы).

2. Ядерного сока (нуклеоплазмы или кариоплазмы).

3. Хроматина (хромосом).

4. Ядрышка (одного или нескольких).

-3

1. Ядерная оболочка (кариолемма)

Ядро отделено от цитоплазмы ядерной оболочкой, которая имеет двумембранное строение.

· Мембраны: ядерная оболочка состоит из наружной и внутренней мембран, между которыми находится перинуклеарное пространство.

· Связь с ЭПС: наружная ядерная мембрана часто покрыта рибосомами и соединяется с каналами эндоплазматической сети (ЭПС), образуя единую систему сообщающихся каналов.

· Ядерные поры: оболочка пронизана множеством ядерных пор. Через поры происходит регулируемый обмен различными молекулами между ядром и цитоплазмой. Число пор может достигать 3–4 тысяч, и оно зависит от интенсивности процессов синтеза, происходящих в клетке; при активном функционировании клетки большинство пор открыто.

· Транспорт: через ядерные поры из ядра в цитоплазму выходят субъединицы рибосом, молекулы иРНК и тРНК; а в ядро из цитоплазмы поступают различные белки (включая ферменты), нуклеотиды, АТФ и ионы.

· Функция оболочки: ядерная оболочка отграничивает содержимое ядра, обеспечивая различия в химическом составе нуклеоплазмы и цитоплазмы, что необходимо для нормального функционирования ядерных структур.

-4

2. Нуклеоплазма (кариоплазма)

Нуклеоплазма (ядерный сок) представляет собой вязкую жидкость (коллоидный раствор), которая окружает хроматин и ядрышко.

· Состав: нуклеоплазма содержит нуклеотиды, ионы, разнообразные белки (ферменты, необходимые для синтеза всех видов РНК, а также для образования субъединиц рибосом).

· Процессы: в нуклеоплазме протекают основные ядерные процессы: репликация, транскрипция и репарация ДНК, а также процессинг и сплайсинг РНК.

3. Хроматин (хромосомы)

ДНК (дезоксирибонуклеиновая кислота) -носитель генетической информации -сосредоточена в клеточном ядре. В эукариотических клетках ДНК связана с белками.

· Хроматин: в неделящихся клетках (в интерфазе) генетический материал представлен хроматином -комплексом молекул ДНК, связанных с белками (главным образом с гистонами). Гистоны и ДНК объединены в структуры, напоминающие нуклеосомы. Хроматин представляет собой деспирализованную (или слабо спирализованную) форму хромосом, которая является функционально активной.

· Эухроматин и гетерохроматин: различают эухроматиновые (рыхло спирализованные, генетически активные) и гетерохроматиновые (плотно спирализованные, интенсивно окрашивающиеся, генетически неактивные) участки хроматина.

· Хромосомы: в процессе деления клеток (митоза или мейоза) происходит спирализация ДНК и хроматиновые структуры образуют хромосомы -плотные, интенсивно окрашивающиеся структуры. Хромосомы являются единицами структурной организации генетического материала, обеспечивающими его точное распределение при делении. Каждая метафазная хромосома состоит из двух сестринских хроматид, соединенных в области центромеры (первичной перетяжки).

4. Ядрышко

Ядрышко – это плотное округлое тельце, которое находится внутри ядра неделящихся клеток и не ограничено собственной мембраной.

Функция: главная функция ядрышка -синтез молекул рибосомальной РНК (рРНК), их созревание и сборка субъединиц рибосом путем соединения рРНК с белками, поступающими из цитоплазмы.

Образование: ядрышко формируется вокруг участка хромосомы, где находятся гены, кодирующие рРНК; этот участок называется ядрышковым организатором.

Цикл: ядрышки являются непостоянным компонентом ядра: они исчезают во время митоза (вследствие спирализации хромосом) и восстанавливаются вновь после завершения деления.

Стань покорителем биологии вместе с нами!

В этой статье мы рассмотрели особенности клеточного ядра! Для сдачи ЕГЭ на высокие баллы необходимо научиться применять знания на заданиях формата экзамена. В онлайн школе Lomonosov.school вы сможете не только наработать свои знания для сдачи ЕГЭ, но и научитесь применять их для решения заданий.