Найти в Дзене

Нужно ли удалять здоровые зубы мудрости? Развенчиваю самый популярный миф стоматологии.

Зубы мудрости — это одна из главных фобий взрослых пациентов. Многие люди приходят в панике с вопросом: «Мне сказали, что у меня есть зубы мудрости, значит, их обязательно нужно удалить?» Сегодня я развеиваю этот самый распространённый миф и объясняю всё простыми словами, на базе доказательной медицины. Первое и главное: здоровые зубы мудрости удалять не нужно. И это не рекомендация моя лично, а консенсус современной стоматологии, основанный на медицинских исследованиях.​ Многие врачи в своей практике давно отказались от «профилактического удаления» — то есть от удаления зубов «на всякий случай», «чтобы потом не было проблем». Это неправильно. Удаление — это хирургическая операция, и любую операцию нужно назначать только при наличии медицинских показаний.​ Стоматологи рекомендуют сохранять зубы мудрости, если выполнены все эти условия:​ Если всё это есть — поздравляю, ваш зуб мудрости — полезный сосед в ротовой полости! А вот здесь список ситуаций, при которых удаление действительно н
Оглавление

Зубы мудрости — это одна из главных фобий взрослых пациентов. Многие люди приходят в панике с вопросом: «Мне сказали, что у меня есть зубы мудрости, значит, их обязательно нужно удалить?» Сегодня я развеиваю этот самый распространённый миф и объясняю всё простыми словами, на базе доказательной медицины.

Главный ответ: НЕТ, если зуб здоров

Первое и главное: здоровые зубы мудрости удалять не нужно. И это не рекомендация моя лично, а консенсус современной стоматологии, основанный на медицинских исследованиях.​

Многие врачи в своей практике давно отказались от «профилактического удаления» — то есть от удаления зубов «на всякий случай», «чтобы потом не было проблем». Это неправильно. Удаление — это хирургическая операция, и любую операцию нужно назначать только при наличии медицинских показаний.​

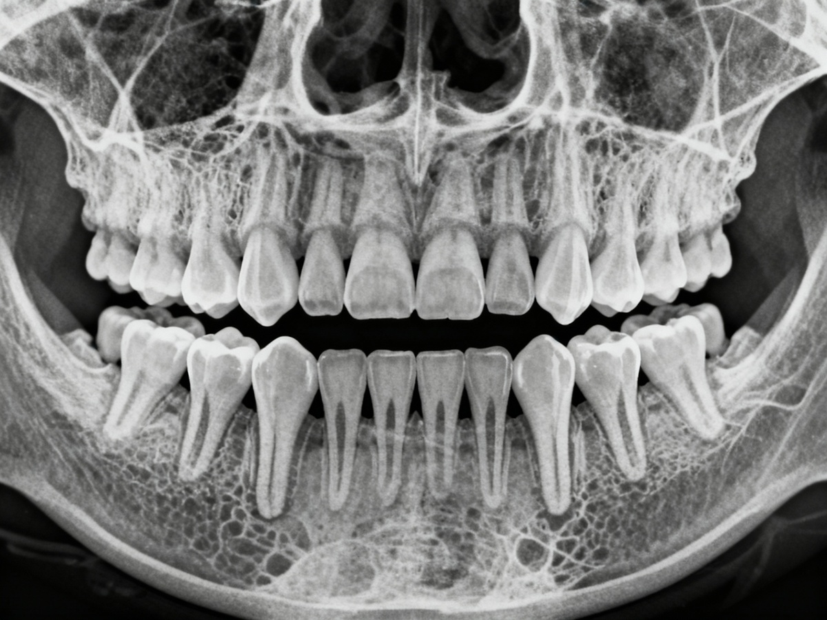
Рентгеновский снимок зубов мудрости: где они расположены в челюсти
Рентгеновский снимок зубов мудрости: где они расположены в челюсти

Когда восьмёрки можно спокойно оставить

Стоматологи рекомендуют сохранять зубы мудрости, если выполнены все эти условия:​

  • Зуб полностью прорезался и находится в нормальном положении в зубном ряду
  • Он имеет правильную форму и не деформирован
  • Не давит на соседние зубы и не вызывает их смещения
  • Не вызывает боль ни при жевании, ни просто так
  • Вы можете хорошо его чистить (гигиена не затруднена)
  • На нём нет кариеса
  • Он не травмирует щеку или язык

Если всё это есть — поздравляю, ваш зуб мудрости — полезный сосед в ротовой полости!

Когда удаление необходимо: конкретные показания

А вот здесь список ситуаций, при которых удаление действительно нужно:​

1. Неправильное положение (дистопия или ретинирование)

Зуб мудрости может расти горизонтально, под углом или вообще оставаться внутри кости (ретинирован). В таких случаях он не участвует в жевании, но может причинять неприятности. Такой зуб — просто балласт для вашей челюсти.

2. Воспаление капюшона (перикоронит)

Когда зуб прорезывается частично, над ним образуется слизистый капюшон. Под ним скапливаются бактерии, остатки пищи, и начинается гнойное воспаление. Боль, отёк, невозможно открыть рот — вот как это проявляется. Происходит примерно в 80% случаев с «восьмёрками».​

Здоровый зуб мудрости (слева) vs зуб с показаниями к удалению (справа)

3. Недостаток места в челюсти

Если зуб мудрости растёт, но ему просто не хватает места, то он:

  • Толкает соседние зубы в сторону (создаёт скученность спереди)
  • Давит на второй моляр (зуб №7), разрушая его
  • Искривляет весь зубной ряд

В этом случае удаление — это сохранение здоровья остальных зубов.

4. Кариес или разрушение

Если на зубе мудрости образовался кариес, а лечение невозможно (например, потому что он лежит в десне и нет доступа), то проще удалить.

5. Киста вокруг зуба

Если зуб ретинирован и вокруг него образовалась киста (фолликулярная киста), это серьёзное показание к удалению. Киста может разрастись и повредить челюстную кость.

6. Травмирование соседних тканей

Если острый выступ зуба постоянно травмирует щеку или язык, вызывая язвы, — это тоже показание.

7. Ортодонтические причины

При установке брекетов или во время ортодонтического лечения может потребоваться удаление зубов мудрости, чтобы создать место для выравнивания прикуса.

А может быть, зуб здоров, но я всё равно удалю?

Нет, не нужно. Вот почему:

1. Это ненужная риск и боль

После удаления любого зуба остаётся лунка, которая должна затянуться. Процесс заживления может сопровождаться отёком, синяками, болью — иногда неделю или две. Зачем это всё, если зуб не доставляет проблем?

2. Зуб может пригодиться в будущем

Если в будущем вы потеряете 6-й или 7-й моляр, зуб мудрости может стать опорой для мостовидного протеза или использоваться при аутотрансплантации (пересадке собственного зуба).​

3. Повреждение нерва

При удалении зуба мудрости есть риск повреждения нижнечелюстного канала, в котором проходит нерв. Это может привести к онемению подбородка и нижней губы. Риск небольшой (около 1%), но он есть. Зачем его брать, если в удалении нет необходимости?

4. Просто потому, что «так делают»

Это пережиток старой стоматологической практики. Раньше считали, что зубы мудрости — это эволюционный пережиток, и лучше их удалить. Современная наука показала: это неправда. Если зуб здоров и функционален — он нужен.

Когда не нужно удалять, даже если беспокоят боли

Может быть и такой сценарий: зуб мудрости начал прорезываться, и вам больно. Но боль во время прорезывания — нормальная реакция организма. Это не значит, что нужно сразу удалять.

В этом случае нужно:

  • Подождать 2-3 недели, пока зуб полностью прорежется
  • Полоскать горячей солёной водой
  • Принимать безопасные обезболивающие (ибупрофен, парацетамол)
  • Избегать твёрдой пищи

Если через месяц боль не прошла, тогда идите к врачу на осмотр.

Что говорит наука?

Международные организации стоматологов (включая ВОЗ) в своих рекомендациях указывают: удаление зубов мудрости показано только при наличии конкретных клинических проблем. Рутинное (профилактическое) удаление здоровых зубов мудрости не рекомендуется.​

Когда удаление зуба мудрости необходимо: основные показания

Главное правило: консультация врача

Я понимаю, что читать это легче, чем применять на практике. Главное правило такое: каждый случай индивидуален.

То, что показано для удаления у вашего соседа, может быть неправильно для вас. Поэтому:

  1. Пройдите осмотр у компетентного стоматолога-хирурга
  2. Сделайте компьютерную томографию (КТ) — это покажет точное положение зуба и корней
  3. Обсудите с врачом, что именно его беспокоит в вашем зубе
  4. Если нет показаний — слушайте тех, кто рекомендует оставить зуб

Врач не будет настаивать на удалении без причины. Если врач говорит: «Удаляем на всякий случай» — это повод найти второе мнение.

Здоровые зубы — результат правильного ухода и консультации со специалистом.

-2

Итог

Зубы мудрости — это не приговор. Да, часто они доставляют неприятности и их действительно нужно удалять. Но если ваш зуб мудрости здоров, хорошо прорезался, не давит на соседей и не болит — оставляйте его с спокойной совестью.

Берегите зубы, которые у вас есть. Они ещё пригодятся! 🦷