Добавить в корзинуПозвонить
Найти в Дзене
Доктор рекомендует

И снова булавка: врачи в Ханты -Мансийске спасли малыша с инородным телом в бронхах

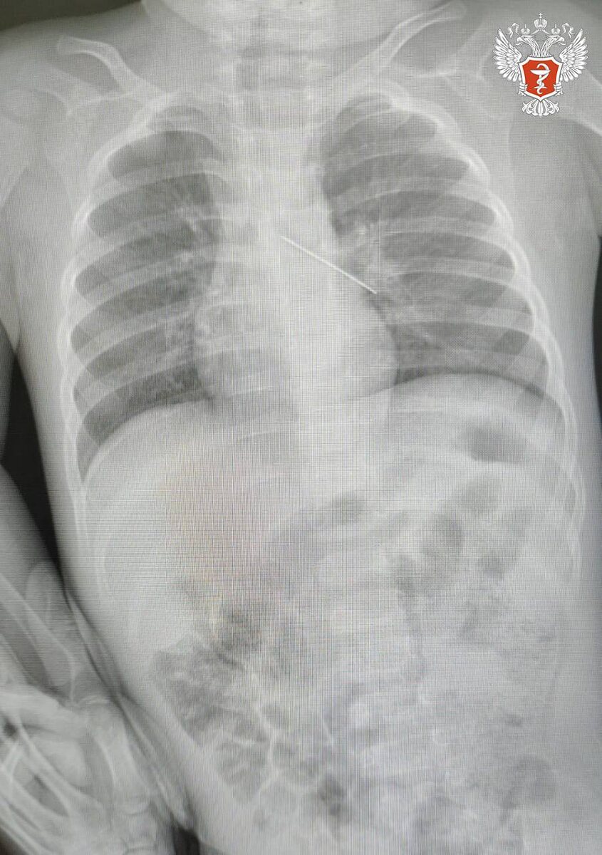
Очередная история спасения ребенка, проглотившего инородное тело. Ханты-Мансийские врачи спасли полутора годовалого малыша, проглотившего булавку. Благоприятный исход сложнейшей ситуации зависел от слаженной и виртуозной работы специалистов эндоскопического отделения Центра охраны материнства и детства, сообщила пресс-служба министерства здравоохранения РФ. Недавно мы писали, что 7-месячный ребенок проглотил булавку-оберег. Прочитать можно здесь Ребенок поступил по скорой помощи в Сургутский окружной центр охраны материнства и детства после того, как мама заметила опасность. В ходе обследования врачи установили, что инородное тело оказалось в бронхах — одном из наиболее опасных мест при подобных ситуациях.  Возникла угроза развития тяжёлых осложнений, включая полную закупорку дыхательных путей. "Ситуация была предельно серьезной. Если бы бригада наших высокопрофессиональных специалистов не смогла удалить инородный предмет с помощью бронхоскопа, ребенка пришлось бы передавать торакаль

Очередная история спасения ребенка, проглотившего инородное тело. Ханты-Мансийские врачи спасли полутора годовалого малыша, проглотившего булавку. Благоприятный исход сложнейшей ситуации зависел от слаженной и виртуозной работы специалистов эндоскопического отделения Центра охраны материнства и детства, сообщила пресс-служба министерства здравоохранения РФ.

Недавно мы писали, что 7-месячный ребенок проглотил булавку-оберег. Прочитать можно здесь

Ребенок поступил по скорой помощи в Сургутский окружной центр охраны материнства и детства после того, как мама заметила опасность. В ходе обследования врачи установили, что инородное тело оказалось в бронхах — одном из наиболее опасных мест при подобных ситуациях. 

Возникла угроза развития тяжёлых осложнений, включая полную закупорку дыхательных путей.

"Ситуация была предельно серьезной. Если бы бригада наших высокопрофессиональных специалистов не смогла удалить инородный предмет с помощью бронхоскопа, ребенка пришлось бы передавать торакальным хирургам для проведения большой операции", - отметили в медицинском центре.

Специалисты выполнили эндоскопическое вмешательство и успешно извлекли булавку с помощью бронхоскопа. Бронхоскоп — это инструмент в виде тонкой гибкой или жёсткой трубки диаметром от 3 до 6 мм, с помощью которого врач осматривает слизистую оболочку бронхов. 

-2

Сейчас ребенок чувствует себя хорошо и выписан под амбулаторное наблюдение.

Благодарим тех, кто виртуозно выполнил свою работу, устранив угрозу жизни маленького пациента и вернув спокойствие его родителям.

Эта история – очередное напоминание о том, как коварны могут быть инородные тела в дыхательных путях малышей. 

- Вследствие того, что просвет голосовой щели у детей превышает диаметр трахеи, в 70-84% случаев инородные тела у них «проскальзывают» в трахею и в бронхи, вызывая частичную или полную закупорку дыхательных путей. В остальных случаях инородное тело фиксируется над голосовыми связками, на уровне глотки, гортани. Многие предметы, попадающие в желудок и бронхолегочные пути, угрожают жизни ребенка и требуют оказания немедленной помощи, - пояснила в своем телеграм-канале президент Центра охраны материнства и детства Лариса Белоцерковцева.

Основными признаками наличия инородных тел являются:

внезапный сильный кашель,

свистящее дыхание,

цианоз (посинение) кожных покровов, одышка и т. д.

В такой ситуации немедленно вызывайте скорую помощь! 

Дорогие родители, будьте предельно внимательны! 

• Не разрешайте детям во время еды говорить, смеяться, бегать. 

• Не разрешайте ребенку брать в рот мелкие игрушки и детали игрушек, жевательную резинку. 

Берегите своих детей!