Найти в Дзене

ДО/ПОСЛЕ

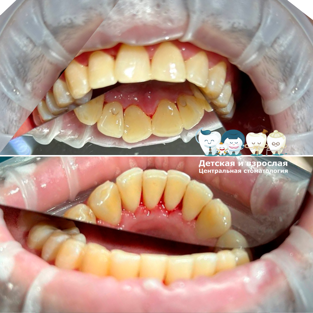
К нам в клинику обратился пациент для профгигиены полости рта. За
несколько лет на зубах образовался не только налет, но и зубные камни. Проведена комплексная профессиональная чистка зубов Аir Flow (аир флоу) +
ультразвук (снятие зубных камней) + были прочищены межзубные
пространства + глубокое фторирование зубов. В итоге пациент получил не только блестяще-чистые зубы и индивидуальные
рекомендации по уходу за полостью рта, но и свежее дыхание и защитил
зубы от появления кариеса! Продолжительность процедуры: 1 час.
Общая стоимость 5500 ₽ (Стоимость указана без учета скидок). Гигиенист Пименова (Шеенкова) Валерия Валентиновна Запись на прием 8(8482)691-911, 8(8482)78-55-23 Подписывайтесь на нас и будьте в курсе всех акций клиники!
Мы работаем для Вас 7 дней в неделю. Необходима предварительная запись.
Адрес: Тольятти, Толстого, 34 Имеются противопоказания, необходима консультация специалиста.
На фото ДО профессиональной чистки зубов в Детской и взрослой Центральной стоматологии в Тольятти
На фото ДО профессиональной чистки зубов в Детской и взрослой Центральной стоматологии в Тольятти

К нам в клинику обратился пациент для профгигиены полости рта. За
несколько лет на зубах образовался не только налет, но и зубные камни.

Проведена комплексная профессиональная чистка зубов Аir Flow (аир флоу) +
ультразвук (снятие зубных камней) + были прочищены межзубные
пространства + глубокое фторирование зубов.

На фото ПОСЛЕ профессиональной чистки зубов в Детской и взрослой Центральной стоматологии в Тольятти
На фото ПОСЛЕ профессиональной чистки зубов в Детской и взрослой Центральной стоматологии в Тольятти

В итоге пациент получил не только блестяще-чистые зубы и индивидуальные
рекомендации по уходу за полостью рта, но и свежее дыхание и защитил
зубы от появления кариеса!

Продолжительность процедуры: 1 час.
Общая стоимость 5500 ₽ (Стоимость указана без учета скидок).

Гигиенист Пименова (Шеенкова) Валерия Валентиновна

Запись на прием 8(8482)691-911, 8(8482)78-55-23

Подписывайтесь на нас и будьте в курсе всех акций клиники!
Мы работаем для Вас 7 дней в неделю. Необходима предварительная запись.
Адрес: Тольятти, Толстого, 34

Имеются противопоказания, необходима консультация специалиста.