Найти в Дзене
Mavie Clinique

Что такое комплексное лечение зубов?

Еще одна история красивой улыбки для прекрасной пациентки 😻 В Mavie Clinique мы предпочитаем комплексный подход, что дает нам возможность сделать вашу улыбку идеальной ♥️ В данном клиническом случае мы провели: -профессиональную гигиену и терапевтическое лечение кариозных зубов -удаление зуба мудрости -ортодонтическое лечение на элайнерах 3D Smile -профессиональную гигиену полости рта после ортодонтии и отбеливание зубов Amaizing white premium -реставрацию сколов передних зубов и замену больших пломб на керамические накладки/коронки Спустя 16 месяцев мы получаем идеальную и здоровую улыбку 😻 Хотите так же? Записывайтесь на консультацию к стоматологу по телефону+74950030301 Мы находимся по адресу: г. Москва, ул. Зубовский бульвар, д. 15, с. 4

Еще одна история красивой улыбки для прекрасной пациентки 😻

В Mavie Clinique мы предпочитаем комплексный подход, что дает нам возможность сделать вашу улыбку идеальной ♥️

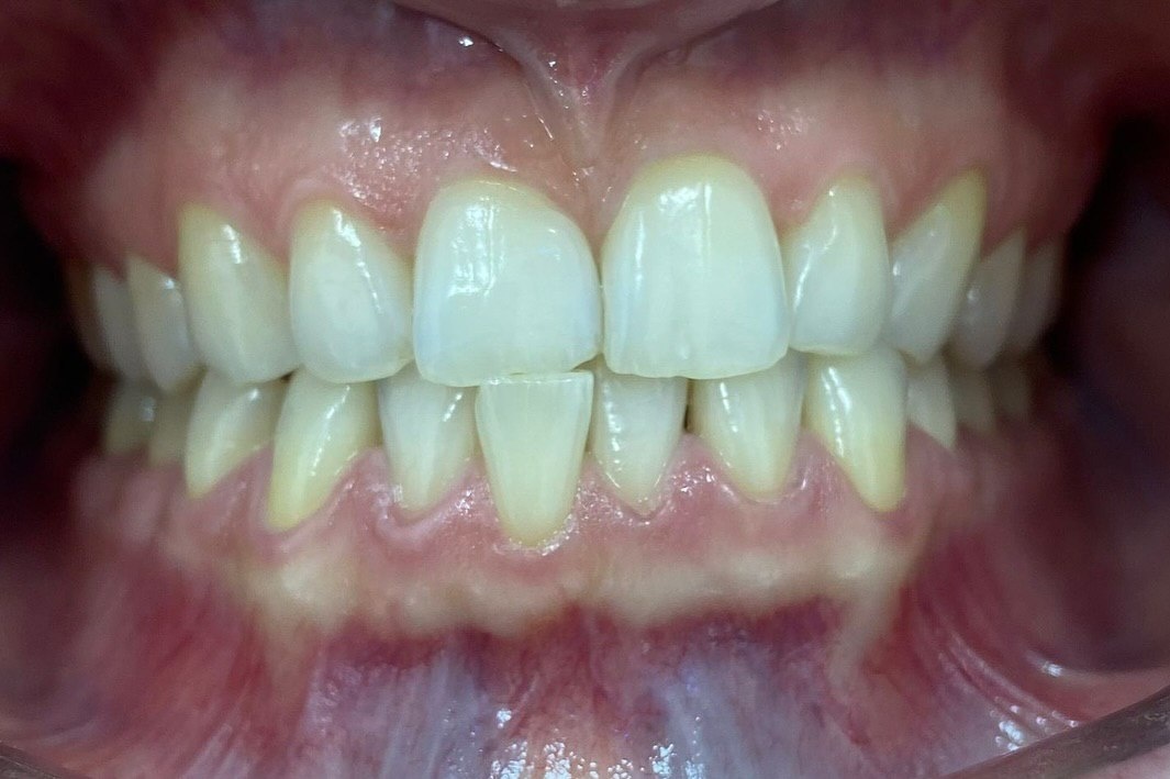
Фото до
Фото до

В данном клиническом случае мы провели:

-профессиональную гигиену и терапевтическое лечение кариозных зубов

-удаление зуба мудрости

-ортодонтическое лечение на элайнерах 3D Smile

-профессиональную гигиену полости рта после ортодонтии и отбеливание зубов Amaizing white premium

-реставрацию сколов передних зубов и замену больших пломб на керамические накладки/коронки

Спустя 16 месяцев мы получаем идеальную и здоровую улыбку 😻

Фото после
Фото после

Хотите так же?

Записывайтесь на консультацию к стоматологу по телефону+74950030301

Мы находимся по адресу: г. Москва, ул. Зубовский бульвар, д. 15, с. 4