Найти в Дзене

Зубные ёршики — коротко, честно и по делу

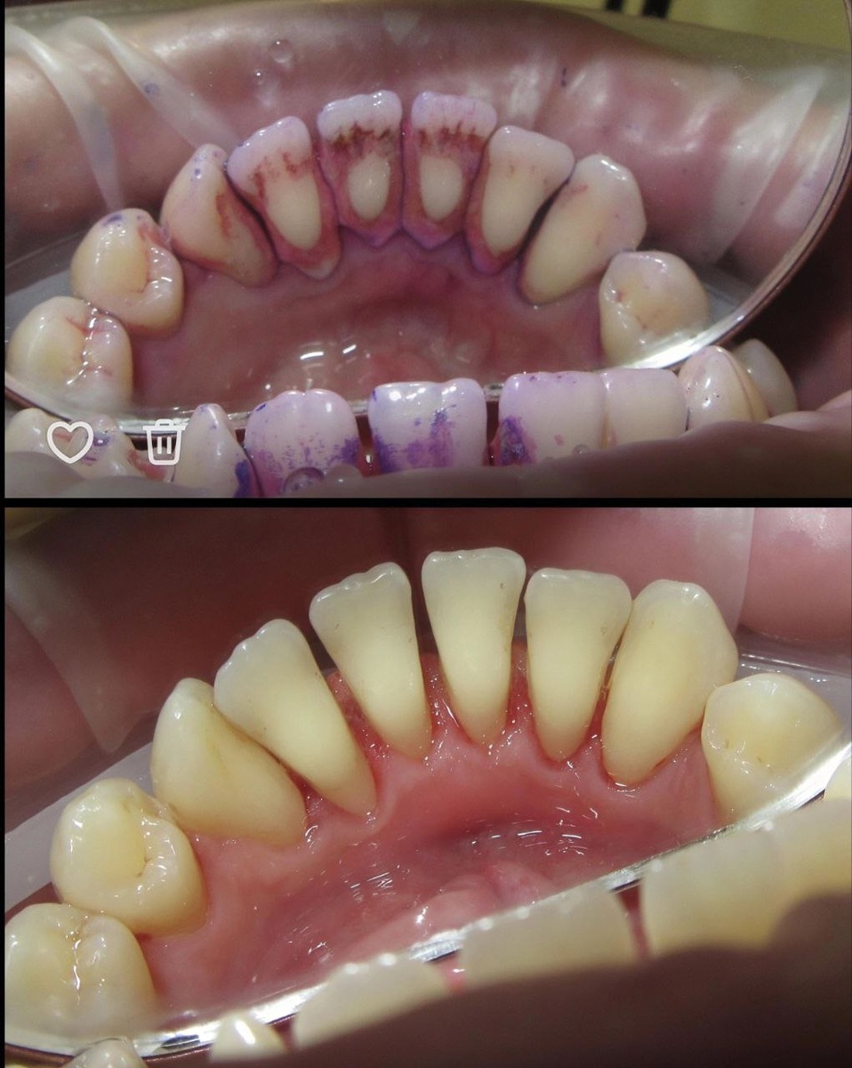
Зубные ёршики — коротко, честно и по делу! Межзубные промежутки — это место, куда щётка просто не залезает. Не важно, какая у вас щётка — мега-ультра- электрическая или любимая ручная.⬇️ Щетинка физически не может очистить пространство "между" зубами. А там скапливается всё самое “интересное”: мягкий налёт, остатки еды и то, что потом превращается в запах и воспаление. 📌Ёршик — маленький герой большой чистоты. ♦️Если промежутки широкие — это прям ваш лучший друг. ♦️Ёршик проходит туда, куда щётка не может, вычищает всё. ✔️Плюс: ощущение чистоты после него — вообще другой уровень. Почти медитация, только полезнее. 📌 Брекеты, керамические мосты, импланты — тут ёршику вообще красная дорожка. С этими конструкциями чистка усложняется, и обычных инструментов уже мало. Ёршик помогает добраться под дугу брекета, вокруг мостов и имплантов, убирая налёт откуда угодно. 📌Каждый день — и вы реально спасаете свои дёсны. Убираем налёт → снижает воспаление → меньше кровоточивости → свеже

Зубные ёршики — коротко, честно и по делу!

Межзубные промежутки — это место, куда щётка просто не залезает.

Не важно, какая у вас щётка — мега-ультра- электрическая или любимая ручная.⬇️

Щетинка физически не может очистить пространство "между" зубами. А там скапливается всё самое “интересное”: мягкий налёт, остатки еды и то, что потом превращается в запах и воспаление.

📌Ёршик — маленький герой большой чистоты.

♦️Если промежутки широкие — это прям ваш лучший друг.

♦️Ёршик проходит туда, куда щётка не может, вычищает всё.

✔️Плюс: ощущение чистоты после него — вообще другой уровень.

Почти медитация, только полезнее.

📌 Брекеты, керамические мосты, импланты — тут ёршику вообще красная дорожка.

С этими конструкциями чистка усложняется, и обычных инструментов уже мало.

Ёршик помогает добраться под дугу брекета, вокруг мостов и имплантов, убирая налёт откуда угодно.

📌Каждый день — и вы реально спасаете свои дёсны.

Убираем налёт → снижает воспаление → меньше кровоточивости → свежее дыхание → меньше шансов заработать кариес между зубами.

📌Итог:

Использовать ежедневно межзубной ёршик — это не перфекционизм, это просто нормальный уход за зубами.

Если ещё не пробовали ёршики — самое время. Гарантирую: после недели вы будете спрашивать себя, как вообще жили без них.



Здоровые зубы:советы💪

-2
-3