Добавить в корзинуПозвонить
Найти в Дзене
«1777»

Житель Ставрополья выстрелил в собаку на глазах у детей

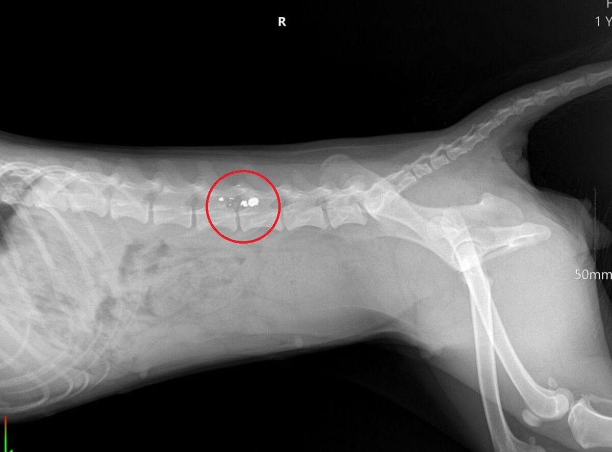
Мужчина выстрелил в собаку из винтовки. Инцидент произошел на глазах у детей в селе Горнозаводском в конце октября, сообщили в пресс-службе ГУ МВД России по Ставропольскому краю. 45-летняя хозяйка животного отвезла его в ветклинику. Врачи диагностировали травму, которая привела к отказу задних лап. Полицейские задержали стрелка. Им оказался местный житель. Он пояснил, что пес не раз душил его кур, свободно гулявших по улице. Посчитав его за бездомного, мужчина выстрелил в него. Правоохранители завели на сельчанина уголовное дело о жестоком обращении с животным. Вскоре фигуранта будут судить.

Мужчина выстрелил в собаку из винтовки. Инцидент произошел на глазах у детей в селе Горнозаводском в конце октября, сообщили в пресс-службе ГУ МВД России по Ставропольскому краю.

45-летняя хозяйка животного отвезла его в ветклинику. Врачи диагностировали травму, которая привела к отказу задних лап.

Полицейские задержали стрелка. Им оказался местный житель. Он пояснил, что пес не раз душил его кур, свободно гулявших по улице. Посчитав его за бездомного, мужчина выстрелил в него.

Правоохранители завели на сельчанина уголовное дело о жестоком обращении с животным. Вскоре фигуранта будут судить.