Найти в Дзене

Mycoplasma gallisepticum в птицеводстве

Mycoplasma gallisepticum (M. gallisepticum) — патогенный микроорганизм, бактерия из класса Mollicutes и семейства Mycoplasmataceae, вызывающая респираторные заболевания у птиц. Это один из наиболее экономически значимых патогенов в птицеводстве, наносящий серьёзный ущерб отрасли за счёт снижения продуктивности и повышенной смертности поголовья. Восприимчивы: куры, индейки, фазаны, цесарки, дикие птицы (могут быть резервуаром инфекции) Пути передачи: аэрогенный, трансовариальный и контактный Факторы риска: скученное содержание, плохая вентиляция, перепады температуры, стресс (перевозка, смена рациона) и сопутствующие инфекции (вирусные, бактериальные) Патогенез включает несколько этапов. Сначала возбудитель прикрепляется к эпителию дыхательных путей благодаря поверхностным адгезинам. Затем происходит колонизация слизистой трахеи, бронхов и воздухоносных мешков. Микроорганизм повреждает эпителий, нарушая мукоцилиарный клиренс. Развивается воспалительная реакция с накоплением экссудата, о
Оглавление

Характеристика

Mycoplasma gallisepticum (M. gallisepticum) — патогенный микроорганизм, бактерия из класса Mollicutes и семейства Mycoplasmataceae, вызывающая респираторные заболевания у птиц. Это один из наиболее экономически значимых патогенов в птицеводстве, наносящий серьёзный ущерб отрасли за счёт снижения продуктивности и повышенной смертности поголовья.

Ключевые особенности:

  • отсутствие клеточной стенки — обусловливает устойчивость к β‑лактамным антибиотикам
  • малый геном (около 600–1000 кб)
  • требовательность к питательным средам — для культивирования нужны специальные среды с добавлением стеринов, нуклеотидов и сывороточных белков
  • низкая устойчивость во внешней среде — быстро погибает при высушивании, нагревании выше 45∘C, под действием дезинфектантов
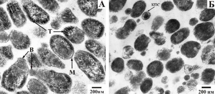
Трансмиссивные микрографии ВФ (А) и НФ (Б) клеток M. gallisepticum S6. Т – тубулиноподобные
структуры, В – терминальная структура "bleb", М – клеточная мембрана, КПС – капсулоподобная структура.                                                                                                                                                                                            Источник: АДАПТАЦИЯ МИКОПЛАЗМ (MYCOPLASMA GALLISEPTICUM S6) К НЕБЛАГОПРИЯТНЫМ УСЛОВИЯМ МУЗЫКАНТОВ А. А.
Трансмиссивные микрографии ВФ (А) и НФ (Б) клеток M. gallisepticum S6. Т – тубулиноподобные структуры, В – терминальная структура "bleb", М – клеточная мембрана, КПС – капсулоподобная структура. Источник: АДАПТАЦИЯ МИКОПЛАЗМ (MYCOPLASMA GALLISEPTICUM S6) К НЕБЛАГОПРИЯТНЫМ УСЛОВИЯМ МУЗЫКАНТОВ А. А.

Эпизоотология

Восприимчивы: куры, индейки, фазаны, цесарки, дикие птицы (могут быть резервуаром инфекции)

Пути передачи: аэрогенный, трансовариальный и контактный

Факторы риска: скученное содержание, плохая вентиляция, перепады температуры, стресс (перевозка, смена рациона) и сопутствующие инфекции (вирусные, бактериальные)

Патогенез

Патогенез включает несколько этапов. Сначала возбудитель прикрепляется к эпителию дыхательных путей благодаря поверхностным адгезинам. Затем происходит колонизация слизистой трахеи, бронхов и воздухоносных мешков. Микроорганизм повреждает эпителий, нарушая мукоцилиарный клиренс. Развивается воспалительная реакция с накоплением экссудата, отёком и гиперсекрецией слизи. Часто возникают вторичные бактериальные осложнения, чаще всего вызванные E. coli. В тяжёлых случаях инфекция распространяется системно, поражая репродуктивные органы и суставы.

Патогенетическая цепь

Проникновение возбудителя в организм птицы

Адгезия
M. gallisepticum к эпителию дыхательных путей

Колонизация слизистой трахеи, бронхов, воздухоносных мешков

Повреждение эпителия (нарушение мукоцилиарного клиренса)

Воспалительная реакция (накопление экссудата, отёк, гиперсекреция слизи)

Вторичные бактериальные осложнения (чаще
E. coli)

Системное распространение

Поражение репродуктивных органов, суставов при тяжёлом течении

Клиническая картина

У кур наблюдается кашель, чихание, хрипы, затруднённое дыхание, серозные или слизисто‑гнойные выделения из носа, отёчность подглазничных синусов, снижение яйценоскости на 10–40%, ухудшение качества яиц (тонкая скорлупа, деформация).

У индеек более тяжёлое течение, выраженная одышка, вытягивание шеи при дыхании, потеря аппетита, истощение. Летальность до 20–30% при осложнениях.

У молодняка выражается в виде задержки роста, вялости, скучивании и конъюнктивитов.

Патологоанатомические изменения

  • трахеит — гиперемия, слизь, фибринозные наложения
  • бронхит — воспаление бронхов, закупорка просвета
  • воздушные мешки — мутность, утолщение стенок, экссудат
  • пневмония (при осложнениях)
  • синусит — отёк и воспаление подглазничных синусов
  • перитонит (при генерализации)

Диагностика

Клинико‑эпизоотологический анализ

Учитывают: характер вспышек, возрастную динамику и сопутствующие факторы.

Лабораторные методы

  • Бактериология: посев на специальные среды (PPLO, Hayflick), идентификация по биохимическим тестам.
  • ПЦР (полимеразная цепная реакция): высокочувствительный и специфичный метод, позволяет обнаружить ДНК возбудителя в патологическом материале.
  • ИФА (иммуноферментный анализ): выявление антител в сыворотке крови, используется для скрининга стад.
  • Реакция агглютинации (РА): быстрый метод для массовых исследований, менее чувствительна, чем ИФА.
  • Гистология:
    обнаружение микоплазм в тканях (окраска по Романовскому‑Гимзе).

Дифференциальная диагностика

Необходимо исключить инфекционный бронхит кур (IBV), ларинготрахеит (ILT), пастереллёз, хламидиоз.

Лечение

Важно помнить, что лечение эффективно на ранних стадия. В основном применяется антибактериальная терапия, а выбор препарата обязательно делать на основе чувствительности.

При хроническом течении используется симптоматическая терапия.

При выявлении заболевания обязательна вынужденная дезинфекция помещений.

Профилактика и меры борьбы

Биозащита

  • изоляция новых птиц
  • дезинфекция оборудования
  • контроль персонала (смена одежды, обуви)
  • борьба с грызунами и дикими птицами

Вакцинация

  • живые аттенуированные вакцины (например, штамм F);
  • инактивированные эмульгированные вакцины
  • схема вакцинации зависит от эпизоотической ситуации

Селекция и закупка

  • приобретение птицы из благополучных хозяйств
  • серологический мониторинг родительских стад

Оптимизация условий содержания

  • вентиляция;
  • плотность посадки;
  • температурный режим;
  • сбалансированное кормление.

Дезинфекция

  • регулярная дезинфекция с применением четвертичных аммониевых соединений, формалина или перекиси водорода
  • обработка инкубационных яиц

M. gallisepticum остаётся серьёзной проблемой птицеводства. Эффективная борьба требует своевременной диагностики, рационального применения антибиотиков, строгого соблюдения ветеринарно‑санитарных правил и системной профилактики (вакцинация, биозащита).

Комплексный подход позволяет минимизировать экономические потери и поддерживать здоровье птицепоголовья.