Найти в Дзене
Mavie Clinique

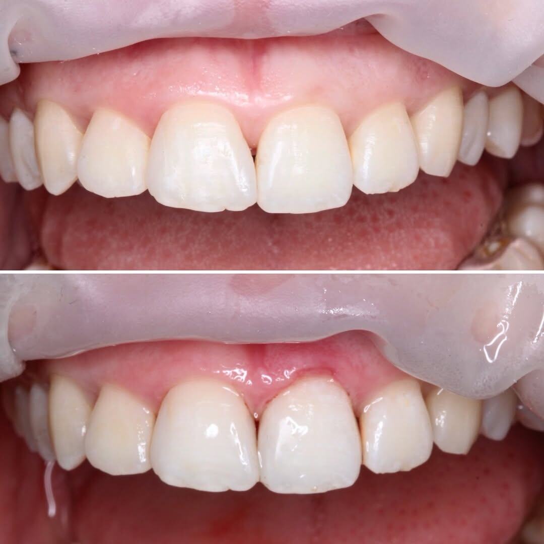
Чем опасен скрытый кариес?

Скрытый кариес на фронтальных (передних) зубах является одним из самых неприятных.  Как правило, кариес развивается бессимптомно и никак не беспокоит пациента. Диагностировать такой кариес может стоматолог на плановом осмотре или на профессиональной гигиене полости рта. А игнорирование такого кариеса может привести к столу или к разрушению зуба.   На фото- работа доктора Аманды Дадаевны.    Не пропускайте регулярные плановые осмотры и берегите свои зубы📌 Записаться на приём к стоматологу можно по телефону +74950030301 Мы находимся по адресу: г. Москва, Зубовский бульвар, д. 15, с. 4 (1 мин. от м. Парк культуры)

Скрытый кариес на фронтальных (передних) зубах является одним из самых неприятных.

 Как правило, кариес развивается бессимптомно и никак не беспокоит пациента. Диагностировать такой кариес может стоматолог на плановом осмотре или на профессиональной гигиене полости рта. А игнорирование такого кариеса может привести к столу или к разрушению зуба.

-2

  На фото- работа доктора Аманды Дадаевны.

   Не пропускайте регулярные плановые осмотры и берегите свои зубы📌

Записаться на приём к стоматологу можно по телефону +74950030301

Мы находимся по адресу: г. Москва, Зубовский бульвар, д. 15, с. 4 (1 мин. от м. Парк культуры)