Найти в Дзене

Может ли пустышка испортить прикус? Мнение врача-ортодонта

Многие родители используют пустышку как надёжное средство для утешения малыша: она помогает справиться с коликами и болью при прорезывании зубов, облегчает засыпание. На первый взгляд — безобидный аксессуар. Однако с возрастом он может стать причиной серьёзных стоматологических проблем. О том, как пустышка влияет на прикус, рассказала врач-ортодонт "Прайм-стоматологии» Пустынская Анна Александровна. - Влияние пустышки на прикус — очень важный вопрос, который волнует многих родителей. Ответ на него зависит от множества факторов. 📍 Если кратко: да, пустышка влияет на прикус, но это влияние во многом управляемо. 📍 Более подробно: когда ребенок сосёт пустышку или бутылочку, ему не нужно прикладывать усилия. В отличие от грудного вскармливания, где активно работают мышцы челюстей, при сосании пустышки нагрузка минимальна. В дальнейшем это может привести к формированию дистального прикуса — состояния, при котором верхняя челюсть выступает вперёд относительно нижней. - Но самой серьезной

Многие родители используют пустышку как надёжное средство для утешения малыша: она помогает справиться с коликами и болью при прорезывании зубов, облегчает засыпание. На первый взгляд — безобидный аксессуар. Однако с возрастом он может стать причиной серьёзных стоматологических проблем.

О том, как пустышка влияет на прикус, рассказала врач-ортодонт "Прайм-стоматологии» Пустынская Анна Александровна.

Анна Александровна ведёт приём как взрослых, так и маленьких пациентов.
Анна Александровна ведёт приём как взрослых, так и маленьких пациентов.

- Влияние пустышки на прикус — очень важный вопрос, который волнует многих родителей. Ответ на него зависит от множества факторов.

📍 Если кратко: да, пустышка влияет на прикус, но это влияние во многом управляемо.

📍 Более подробно: когда ребенок сосёт пустышку или бутылочку, ему не нужно прикладывать усилия. В отличие от грудного вскармливания, где активно работают мышцы челюстей, при сосании пустышки нагрузка минимальна. В дальнейшем это может привести к формированию дистального прикуса — состояния, при котором верхняя челюсть выступает вперёд относительно нижней.

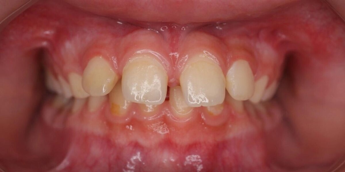
Так выглядит дистальный прикус.
Так выглядит дистальный прикус.

- Но самой серьезной аномалией, которая может возникнуть из-за длительного сосания пустышки, считается открытый прикус — состояние, при котором передние зубы верхней и нижней челюстей не смыкаются, и между ними образуется вертикальная щель.

Причина в том, что пустышка физически мешает правильному прорезыванию зубов: она оказывает на них постоянное давление и препятствует нормальному смыканию. Из-за этого нередко возникают проблемы с речью.

- Ключевые факторы, от которых зависит степень влияния пустышки:

🚩 интенсивность и продолжительность использования

✔ до 1-1,5 лет использование пустышки допустимо. Если отказаться от неё в этом возрасте, прикус с высокой вероятностью самостоятельно нормализуется благодаря активному росту челюстей и естественному прорезыванию зубов,

✔ после 2-3 лет влияние пустышки становится пагубным. Исправить последствия без помощи ортодонта становится очень сложно.

🚩 тип и форма пустышки

✔ обычная круглая пустышка — наиболее неблагоприятна для формирования правильного прикуса, так как создаёт максимальное давление на передние зубы,

✔ ортодонтическая пустышка спроектирована так, чтобы минимизировать вред: она имеет скошенный край снизу и уплощённую форму со стороны языка.

Это снижает давление на зубы и способствует правильному положению языка.

Однако это не делает её абсолютно безопасной— она лишь менее вредна, чем классическая. Длительное использование любой пустышки после 2 лет остаётся фактором риска.

Обычная пустышка — слева, ортодонтическая — справа. Фото взяты из сети интернет.
Обычная пустышка — слева, ортодонтическая — справа. Фото взяты из сети интернет.

- Памятка для родителей: как минимизировать влияние пустышки на прикус:

◾ выбирайте ортодонтические пустышки (с пометкой "orthodontic"),

◾ используйте пустышку дозированно. Не давайте её ребенку при малейшем беспокойстве, а только для успокоения перед сном или в момент сильного стресса,

◾ строго следите за гигиеной,

◾ начните отучение вовремя. Оптимальный возраст — до 1-1,5 лет. В этом возрасте сосательный рефлекс естественным образом угасает, и процесс проходит менее болезненно,

◾ отказывайтесь от пустышки постепенно. Резкое отлучение — это стресс, который может привести к замене одной вредной привычки на другую (сосание пальца, уголка подушки),

◾ регулярно посещайте стоматолога. Первый визит к детскому стоматологу или ортодонту рекомендуется в возрасте около 1 года. Специалист оценит состояние полости рта и даст персональные рекомендации.

Для формирования правильного прикуса важно вовремя отказаться от пустышки.
Для формирования правильного прикуса важно вовремя отказаться от пустышки.

В завершение добавлю, что пустышка — это инструмент, который может быть как помощником, так и вредителем. Её влияние на прикус напрямую зависит от культуры её использования.

.

Записаться на первичный приём к врачу-ортодонту Пустынской Анне Александровне в ПРАЙМ можно по телефону (4912)292-000.

__________________________________

Наши клиники в г. Рязань:

Есенина, 110

Советской армии, 9

Бирюзова, 28а

Интернациональная, 23

Полетаева, 34 (клиника корпоративного университета)

https://www.prime-med.ru/