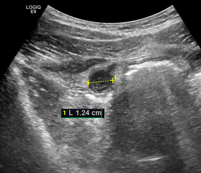
Это наблюдение - просто из разряда "красивых", когда патология наглядна, легко определяется, и вся симптоматика не вызывает сомнений. Пациент 30 лет поступил в отделение ультразвуковой диагностики по направлению дежурного хирурга с жалобами на интенсивные боли в правой половине живота. Клиническая картина развивалась "классически" - начало с болей в эпигастрии с последующим смещением вправо. В срочном анализе крови - лейкоцитоз. При ультразвуковом исследовании аппендикс располагался кпереди от купола слепой кишки, и поэтому сразу был визуализирован, даже конвексным датчиком. Подобное расположение аппендикса встречается нечасто - обычно он располагается медиальнее купола и почти всегда частично прикрыт петлями кишечника, что позволяет его визуализировать только фрагментарно. При поверхностном расположении аппендикса удается его визуализировать на всём протяжении - от устья до кончика. Видео 03. Визуализация аппендикса на всём протяжении. Обратите внимание, что удаётся визуализировать д
ОСТРЫЙ АППЕНДИЦИТ. ВИЗУАЛИЗАЦИЯ НА ВСЁМ ПРОТЯЖЕНИИ.
24 ноября 202524 ноя 2025
37
1 мин
