Добавить в корзинуПозвонить
Найти в Дзене

Сломался передний зуб. Что делать?

Доброго времени суток, дорогие друзья! Если Вам понравится этот пост поставьте лайк👍 и напишите своё мнение или вопрос в комментариях. Так я буду понимать, что информация полезная, интересная и актуальная. Это будет мотивировать меня описывать для Вас все нюансы, с которыми я сталкиваюсь в повседневной работе и как их решаю. __________________________________________________________________________________________ В современных реалиях за одно посещение можно решить данную проблему. Удаление зуба, установка имплантата, установка временной коронки.
Занимает несколько часов. Ситуация до: Я сделал наращивание на анкерном штифте пломбировочным материалом (смоделировал имитацию-прототип зуба), для того, чтобы сделать по этому макету временную коронку на импланте: Снял слепок. Далее удалил зуб, поставил имплант, вкрутил опорный элемент (временный абатмент) и сделал временную коронку на нём: Через 3 месяца заменили временную коронку постоянной: Пациент остался очень доволен, проведенной ра

Доброго времени суток, дорогие друзья!

Если Вам понравится этот пост поставьте лайк👍 и напишите своё мнение или вопрос в комментариях. Так я буду понимать, что информация полезная, интересная и актуальная. Это будет мотивировать меня описывать для Вас все нюансы, с которыми я сталкиваюсь в повседневной работе и как их решаю.

__________________________________________________________________________________________

В современных реалиях за одно посещение можно решить данную проблему.

Удаление зуба, установка имплантата, установка временной коронки.
Занимает несколько часов.

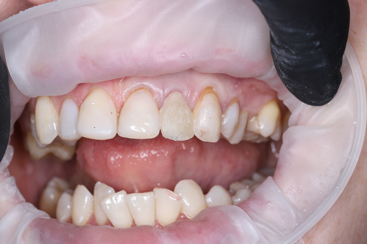
Ситуация до:

Я сделал наращивание на анкерном штифте пломбировочным материалом (смоделировал имитацию-прототип зуба), для того, чтобы сделать по этому макету временную коронку на импланте:

Снял слепок.

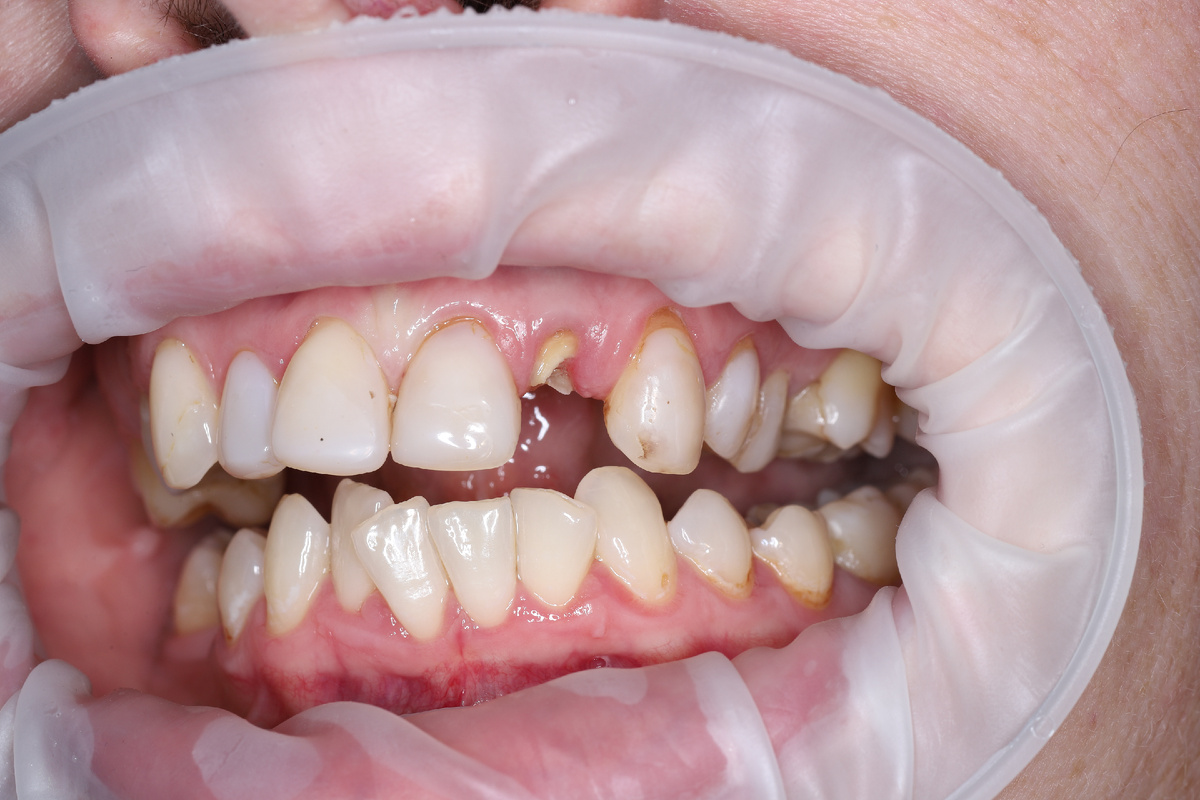
Далее удалил зуб, поставил имплант, вкрутил опорный элемент (временный абатмент) и сделал временную коронку на нём:

ситуация после установки временной коронки
ситуация после установки временной коронки

Через 3 месяца заменили временную коронку постоянной:

После фиксации постоянной коронки
После фиксации постоянной коронки

Пациент остался очень доволен, проведенной работой. А я рад, что смог помочь.

В свою очередь добавлю, что мы сохранили природоподобный контур десны, зубодесневые сосочки, а сам зуб получился очень красивым и функциональным.

Если было интересно - ставьте лайк👍

Подписывайтесь на канал. ✅

Всем здоровья!

P.s. пишите свои мнения и вопросы в комментариях📝

С уважением, доктор Ижмукóв

Виталий Владимирович.

_________________________________________

Контактная информация:

+79370634232 telegram

dr.izhmukov@mail.ru (для дистанционной бесплатной консультации и снимков)