Добавить в корзинуПозвонить
Найти в Дзене
N + 1

Огнестрельное ранение полувековой давности связали с развитием рака легкого у пожилого американца

Американские врачи описали случай мелкоклеточного рака легкого у пожилого американца, у которого опухоль разрослась в месте огнестрельного ранения, полученного 45 лет назад. Вокруг опухоли и в ней самой медики обнаружили осколки металлического снаряда и связали возникновение злокачественного образования с механическим повреждением тканей из-за огнестрельного ранения. Случай описан в BMJ Case Reports. Принято считать, что основным фактором риска развития мелкоклеточного рака легких выступает употребление табака. Например, известно, что риск развития этой опухоли снижается на 39,1 процента через пять лет после прекращения курения. Кроме того, существуют свидетельства связи между механическими травмами ткани легкого и последующим развитием рака. Однако причинно-следственная связь окончательно не доказана. К группе медиков под руководством Александры Бартоломью (Alexandra Bartholomew) из Медицинской школы Университета штата Луизиана обратился ранее здоровый мужчина в хорошей физической фор
  Alexandra Bartholomew et al. / BMJ Case Reports, 2025
Alexandra Bartholomew et al. / BMJ Case Reports, 2025

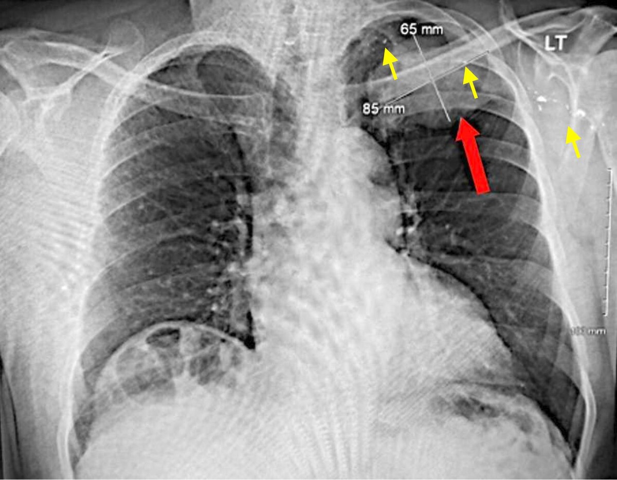
Американские врачи описали случай мелкоклеточного рака легкого у пожилого американца, у которого опухоль разрослась в месте огнестрельного ранения, полученного 45 лет назад. Вокруг опухоли и в ней самой медики обнаружили осколки металлического снаряда и связали возникновение злокачественного образования с механическим повреждением тканей из-за огнестрельного ранения. Случай описан в BMJ Case Reports.

Принято считать, что основным фактором риска развития мелкоклеточного рака легких выступает употребление табака. Например, известно, что риск развития этой опухоли снижается на 39,1 процента через пять лет после прекращения курения. Кроме того, существуют свидетельства связи между механическими травмами ткани легкого и последующим развитием рака. Однако причинно-следственная связь окончательно не доказана.

К группе медиков под руководством Александры Бартоломью (Alexandra Bartholomew) из Медицинской школы Университета штата Луизиана обратился ранее здоровый мужчина в хорошей физической форме возрастом около 70 лет с жалобами на постоянный сильный кашель и одышку. При осмотре врачи обнаружили патологические изменения в легких и увеличение лимфатических узлов.

При дополнительном обследовании в его левом легком было обнаружено образование размером 7,6 × 7,5 сантиметра и баллистические осколки в этом образовании, левой подмышечной впадине и заднем средостении, которые сохранились у него после огнестрельного ранения, полученного 45 лет назад. В анамнезе у пациента не числилось онкологических заболеваний, однако он страдал гипотиреозом и дислипидемией. Также мужчина сообщил, что он употреблял табак в течение 37,5 года, но бросил курить три десятилетия назад.

Позитронно-эмиссионная томография выявила изолированное образование в левой верхней доле легкого с локальным поражением грудной стенки без признаков метастазирования. Биопсия легкого подтвердила диагноз мелкоклеточного рака легкого. Врачи удалили пораженную долю легкого вместе с регионарными лимфоузлами.

Гистологическое исследование выявило низкодифференцированную мелкоклеточную карциному с четкими хирургическими границами. Кроме того, в опухоли обнаружили фрагменты свинцовой пули. В дальнейшем пациент прошел курс химиотерапии и радиотерапии и через три года после операции продолжал чувствовать себя хорошо, а врачи не обнаружили признаков рецидива.

Врачи предполагают, что причиной развития мелкоклеточного рака легкого у этого пациента могло стать хроническое воспаление вокруг металлических осколков пули. Требуются более глубокие исследования патогенетических механизмов развития опухоли на фоне механической травмы ткани легкого и токсического действия металлов.

Ранее мы рассказывали про 55-летнего австралийца с плоскоклеточным раком легкого, метастазы которого заместили кости фаланг в пальцах кистей и стоп.