Добавить в корзинуПозвонить
Найти в Дзене
Ekbonline

Искусственный интеллект подтверждает, что мышечная масса замедляет старение мозга

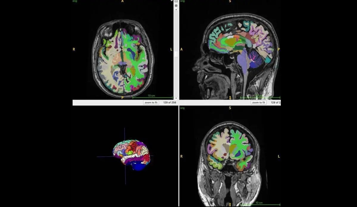
Искусственный интеллект подтверждает, что мышечная масса замедляет старение мозга Прикинь, наука реально подтвердила: больше мышц и меньше живота — и мозг моложе! ИИ даже помог это доказать, покопавшись в данных кучи народу. Так что качай железо и гоняй висцеральный жирок, чтобы мозг оставался на волне, неважно, сколько тебе по паспорту! 📰 Читать далее: ekbonline.ru 📷 Автор фото: naked-science.ru 📢 Подпишитесь на нас: ekbonline_press

Искусственный интеллект подтверждает, что мышечная масса замедляет старение мозга

Прикинь, наука реально подтвердила: больше мышц и меньше живота — и мозг моложе! ИИ даже помог это доказать, покопавшись в данных кучи народу. Так что качай железо и гоняй висцеральный жирок, чтобы мозг оставался на волне, неважно, сколько тебе по паспорту!

📰 Читать далее: ekbonline.ru

📷 Автор фото: naked-science.ru

📢 Подпишитесь на нас: ekbonline_press