Найти в Дзене
Про зубы нежно

Как понять, что растут зубы мудрости

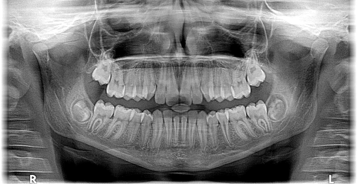
Зубы мудрости, восьмерки – это третьи моляры, которые появляются последними в зубном ряду. Их прорезывание может быть безболезненным, но чаще всего сопровождается дискомфортом и даже болью. Зубы мудрости, восьмерки – это самые последние зубы в зубном ряду, которые прорезываются в период с 17 до 25 лет, а иногда и позже. Эти зубы получили свое название из-за того, что появляются уже в зрелом возрасте, когда человек, как принято считать, становится мудрее ( но не факт). В отличие от других зубов у них нет предшественников, то есть они не заменяют молочные зубы. Прорезывание зубов мудрости не всегда проходит гладко. Часто этот процесс сопровождается неприятными симптомами. Основные симптомы прорезывания зубов мудрости: Если вы замечаете у себя какие-либо из этих симптомов, важно обратиться к стоматологу для диагностики и лечения. Как правило, восьмерки прорезываются в возрасте от 17 до 25 лет, но этот процесс может начаться и раньше, и позже. В некоторых случаях они могут вообще не прор
Оглавление

Зубы мудрости, восьмерки – это третьи моляры, которые появляются последними в зубном ряду. Их прорезывание может быть безболезненным, но чаще всего сопровождается дискомфортом и даже болью.

А то что за зубы?

Зубы мудрости, восьмерки – это самые последние зубы в зубном ряду, которые прорезываются в период с 17 до 25 лет, а иногда и позже. Эти зубы получили свое название из-за того, что появляются уже в зрелом возрасте, когда человек, как принято считать, становится мудрее ( но не факт). В отличие от других зубов у них нет предшественников, то есть они не заменяют молочные зубы.

Прорезывание зубов мудрости не всегда проходит гладко. Часто этот процесс сопровождается неприятными симптомами.

Основные симптомы прорезывания зубов мудрости:

  • Боль в челюсти, которая может быть ноющей, пульсирующей или резкой. Она может отдавать в ухо, шею, голову, а также усиливаться при жевании или глотании.
  • Отек десны в месте прорезывания зуба мудрости, который может быть довольно заметным и даже вызывать ощущение давления.
  • Покраснение десны, которое может сопровождаться болезненностью и кровоточивостью.
  • Неприятный запах изо рта, который может быть связан с воспалением десны.
  • Чувство заложенности носа, которое может возникать при прорезывании верхних зубов мудрости.
  • Повышение температуры, которое может свидетельствовать о воспалении.
  • Головная боль, которая может быть связана с давлением в челюсти.
  • Общее недомогание, которое может сопровождаться слабостью и снижением аппетита.

Если вы замечаете у себя какие-либо из этих симптомов, важно обратиться к стоматологу для диагностики и лечения.

В каком возрасте обычно появляются зубы мудрости

Как правило, восьмерки прорезываются в возрасте от 17 до 25 лет, но этот процесс может начаться и раньше, и позже. В некоторых случаях они могут вообще не прорезаться, оставаясь под десной. Точный возраст, в котором появляются зубы мудрости индивидуален, и зависит от ряда факторов, таких как генетика, общее состояние здоровья, питание и гормональный фон.

ТЕЛЕГРАММ-КАНАЛ. ВСЕ О ЗДОРОВЬЕ ЗУБОВ И ДЕСЕН. ЕЖЕДНЕВНЫЕ НОВОСТИ, КОНСУЛЬТАЦИИ СПЕЦИАЛИСТОВ, РАЗБОР СЛОЖНЫХ СЛУЧАЕВ

-2

Есть мнение, что у женщин зубы мудрости могут прорезываться до 30 лет, и это не считается патологией. Однако, если прорезывание зубов мудрости происходит после 30 лет, это может быть связано с какими-то проблемами со здоровьем. Поэтому в любом случае рекомендуется обратиться к стоматологу для диагностики и консультации.

Время прорезывания зубов мудрости может сильно различаться. У некоторых людей все четыре зуба мудрости прорезываются одновременно, у других же этот процесс растягивается на несколько лет. В некоторых случаях восьмерки могут прорезываться неравномерно, с перерывами в несколько месяцев или даже лет.

Сколько растут восьмерки

Продолжительность роста зубов мудрости может значительно варьироваться. В среднем, этот процесс занимает от одного до двух лет, но в некоторых случаях он может растянуться на пять и более лет. Всё зависит от индивидуальных особенностей организма, а также от того, как зуб мудрости прорезывается:

  • Вертикальное прорезывание. Если восьмерка растет вертикально и у нее есть достаточно места в челюсти, она может прорезаться полностью за 1-2 года.
  • Горизонтальное или наклонное прорезывание. Если восьмерка растет под углом или горизонтально, и у нее ограничено пространство, она может прорезываться в течение 2-5 лет, а иногда и дольше.

Также важно учитывать, что все четыре зуба мудрости могут прорезываться в разное время. Поэтому, появление всех восьмерок может занять до 10 лет.

От чего зависит симптоматика при прорезывании

Интенсивность и характер симптомов при прорезывании зубов могут значительно различаться от человека к человеку. Это зависит от нескольких факторов:

  • Положение зуба мудрости. Если зуб растет вертикально и у него достаточно места в челюсти, прорезывание может пройти практически безболезненно. Однако, если зуб растет под углом или горизонтально, или у него ограничено пространство, он может давить на соседние зубы и десну, вызывая боль, отек и воспаление.
  • Состояние десны. Если десна здоровая и крепкая, она может легко пропускать прорезывающийся зуб. Однако, если десна воспалена или ослаблена, она может мешать прорезыванию зуба, что приведет к боли и дискомфорту.
  • Генетическая предрасположенность. Если у ваших родственников были проблемы с зубами мудрости, у вас тоже может быть большая вероятность столкнуться с неприятными ощущениями во время их прорезывания.
  • Общее состояние здоровья. Если у вас слабый иммунитет или вы страдаете от каких-то хронических заболеваний, прорезывание зубов мудрости может быть более болезненным.

Удалять или оставить без изменений? Решение о том, удалять зуб мудрости или нет, принимается индивидуально в зависимости от многих факторов, включая его положение, состояние, симптомы и общий план лечения.

-3

Что делать, если зуб растет неправильно

Если зуб мудрости растет неправильно, например, горизонтально или под углом, он может давить на соседние зубы и десну, вызывая боль, отек и воспаление. В таких случаях необходимо обратиться к стоматологу, чтобы определить необходимость удаления зуба.

Удаление зуба мудрости может быть необходимым в следующих случаях:

  • Зуб растет под углом или горизонтально и давит на соседние зубы. Это может привести к смещению зубов, неправильному прикусу и проблемам с жеванием.
  • Зуб не может прорезаться полностью. Это может привести к воспалению десен, образованию кисты и другим проблемам.
  • Зуб растет неправильно и труднодоступен для чистки. Это увеличивает риск развития кариеса и других заболеваний полости рта.
  • Зуб вызывает боль или дискомфорт. Если зуб мудрости вызывает сильную боль или мешает нормальной жизни, его удаление может быть необходимым.

Решение о необходимости удаления зуба мудрости принимается стоматологом на основе результатов обследования и анамнеза пациента.

Как облегчить боль при прорезывании зуба мудрости

Если вы сталкиваетесь с болью при прорезывании зуба, можно попробовать облегчить ее с помощью следующих методов:

  • Прополощите рот соленой водой. Это поможет снизить воспаление и уменьшить боль. Для этого растворите половину чайной ложки соли в стакане теплой воды и прополощите рот в течение 30 секунд.
  • Приложите холодный компресс к щеке. Холод поможет снизить отек и уменьшить боль. Прикладывайте компресс на 15-20 минут за раз.
  • Принимайте обезболивающие препараты. Если боль слишком сильная, можно принять безрецептурные обезболивающие препараты, например, *ибупрофен или *парацетамол.
  • Используйте антисептические полоскания. Они помогут предотвратить инфекцию и уменьшить воспаление.
  • Избегайте жевания на стороне прорезывания зуба. Это поможет снизить давление на зуб и десну.
  • Ешьте мягкую пищу. Твердая пища может раздражать десну и усиливать боль.

Если боль не проходит в течение нескольких дней или усиливается, необходимо обратиться к стоматологу.

-4

Как проходит удаление

Удаление зуба мудрости — это хирургическая процедура, которая проводится под местной анестезией. Врач делает небольшой разрез в десне, чтобы получить доступ к зубу, использует специальные инструменты для его извлечения. После этого рану зашивают, а на место удаленного зуба накладывают тампон с лекарственным препаратом, который помогает остановить кровотечение и предотвратить инфекцию.

Что нельзя делать после удаления зуба мудрости

После удаления зуба мудрости важно соблюдать определенные рекомендации, чтобы ускорить процесс заживления и избежать осложнений.

  • Нельзя курить. Курение замедляет процесс заживления и увеличивает риск инфекции.
  • Нельзя жевать на стороне удаления зуба. Это может повредить сгусток крови, который образуется в лунке после удаления, и привести к кровотечению и инфекции.
  • Нельзя полоскать рот в течение первых 24 часов. Это может вымыть сгусток крови из лунки и замедлить заживление.
  • Нельзя прикладывать к щеке тепло. Тепло может усилить воспаление и кровотечение.
  • Нельзя употреблять алкоголь и горячие напитки. Они могут раздражать лунку и замедлить заживление.
  • Нельзя трогать лунку языком или пальцами. Это может привести к инфекции.
  • Нельзя заниматься интенсивными физическими нагрузками. Это может увеличить кровотечение.

Если вы заметили у себя какие-либо необычные симптомы, например, сильную боль, кровотечение, отек или повышение температуры, немедленно обратитесь к стоматологу.

*необходима консультация специалиста

ЕЩЕ БОЛЬШЕЙ СТАТЕЙ О ЗДОРОВЬЕ ЗУБОВ И ДЕСЕН НА НАШЕМ САЙТЕ