Найти в Дзене

Причины рецессии десны: почему уходит десна и оголяются корни зубов

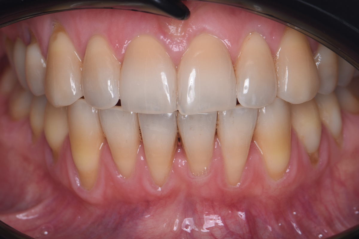
Рецессия десны — это оголение корня зуба, когда десна опускается и зуб визуально становится длиннее. Люди чаще всего спрашивают: почему уходит десна, почему оголился корень, и что делать, когда обнажается десна. Этиология рецессии мультифакторная. Это означает, что причины встречаются либо в совокупности, либо один фактор действует настолько сильно, что запускает процесс сам по себе. Важно разделять предрасполагающие факторы и триггерные, то есть те, что создают условия, и те, что запускают сам механизм. Предрасполагающие факторы 1. Мальпозиция зубов (аномальное положение) Когда зуб стоит неправильно — выступает, ротирован, наклонён — риск рецессии увеличивается по нескольким причинам. Во-первых, уменьшается толщина вестибулярной альвеолярной кости. При выраженной мальпозиции кость может становиться настолько тонкой, что появляются фенестрации и дигисценции. Фенестрация — это ограниченный участок корня, который не покрыт костью. На этом уровне корень покрывает только десна. Диг

Рецессия десны — это оголение корня зуба, когда десна опускается и зуб визуально становится длиннее. Люди чаще всего спрашивают: почему уходит десна, почему оголился корень, и что делать, когда обнажается десна.

Этиология рецессии мультифакторная. Это означает, что причины встречаются либо в совокупности, либо один фактор действует настолько сильно, что запускает процесс сам по себе. Важно разделять предрасполагающие факторы и триггерные, то есть те, что создают условия, и те, что запускают сам механизм.

Предрасполагающие факторы

1. Мальпозиция зубов (аномальное положение)

Когда зуб стоит неправильно — выступает, ротирован, наклонён — риск рецессии увеличивается по нескольким причинам.

Во-первых, уменьшается толщина вестибулярной альвеолярной кости. При выраженной мальпозиции кость может становиться настолько тонкой, что появляются фенестрации и дигисценции.

Фенестрация — это ограниченный участок корня, который не покрыт костью. На этом уровне корень покрывает только десна.

Дигисценция — участок корня без костного покрытия, но уже не точечный, а протяжённый. Это почти прямая предраспозиция к рецессии.

Во-вторых, сама толщина десны вокруг такого зуба уменьшается. Тонкая ткань хуже сопротивляется механическим и воспалительным факторам.

В-третьих, выступающий зуб получает больше механического воздействия: его легче задевать щёткой, он испытывает больше локального стресса.

После ортодонтического лечения, когда положение зубов нормализуется, рецессия иногда стабилизируется или перестаёт прогрессировать.

2. Биотип десны: тонкий, средний и толстый

Толстый биотип подразумевает толстую кость и хорошую высоту десневой ткани. Такой тип лучше сопротивляется нагрузкам.

Тонкая десна — это тонкая кость и уменьшение высоты десневого края. Тонкие ткани хуже сопротивляются механическому, химическому, микробиологическому и термическому стрессу.

Поэтому тонкий и средний биотип считаются предрасположенностью к рецессии.

3. Низкое прикрепление уздечек

Уздечки могут создавать риск сразу по двум направлениям:

• механическое натяжение тканей,

• локальное воспаление из-за постоянной травматизации.

Это приводит к тому, что десна в зоне прикрепления становится менее стабильной.

Триггерные факторы

1. Механическая травма

Это одна из самых частых причин, запускающих рецессию.

Сюда относятся:

• чрезмерное давление на щётку,

• использование жёстких щёток,

• горизонтальная техника чистки,

• абразивные пасты.

Такая чистка не только травмирует десну, но и приводит к потере дентальных тканей в области шейки зуба.

2. Неправильное использование зубной нити и пирсинг

Слишком агрессивная техника работы нитью может травмировать десневой край.

Пирсинг губы или языка — постоянный источник микротравм.

3. Окклюзионные и парафункциональные нагрузки

Сюда относятся бруксизм, неправильное распределение нагрузки на зубы, отсутствие контактов, перегрузка отдельных участков.

При толстом биотипе чаще формируется пародонтальный карман.

При тонком — рецессия.

4. Химические факторы

Жевательный табак, снюс и другие агрессивные химические вещества могут вызывать локительную травму тканей. Это приводит к уменьшению высоты десневого края в зоне контакта.

5. Воспаление бактериального генеза

Гингивит и пародонтит — частые механизмы формирования рецессии.

У толстого биотипа воспаление может приводить к образованию карманов.

У тонкого — к быстрой рецессии даже при коротком периоде воспаления.

6. Дентальные реставрации

Ошибки при восстановлении зубов:

• поддесневые нависающие края,

• грубая обработка,

• большое количество цемента под десной,

• некорректные коронки.

При толстом биотипе такие конструкции чаще дают карман.

При тонком — мгновенную рецессию.

Итог

Рецессия десны — это результат либо совокупного воздействия нескольких факторов, либо сильного влияния одного. Чтобы правильно понять причину, нужно оценить:

• положение зубов,

• биотип десны,

• прикрепление уздечек,

• состояние кости,

• наличие перегрузки,

• качество гигиены,

• состояние мягких тканей.

Только после этого возможно подобрать корректный план лечения — от изменения гигиены до хирургического закрытия рецессии.

-2

Поддержка автора

Если материал оказался полезным и помог вам лучше понять причины рецессии десны, вы можете поддержать автора донатом. Это позволит выпускать больше подробных и практичных материалов о стоматологии.

Магомед Гамзатов врач-стоматолог, хирург-имплантолог с 18-летним практическим опытом. | Дзен