Найти в Дзене

Почему уходит десна и оголяются корни зубов: простые причины, о которых мало кто знает

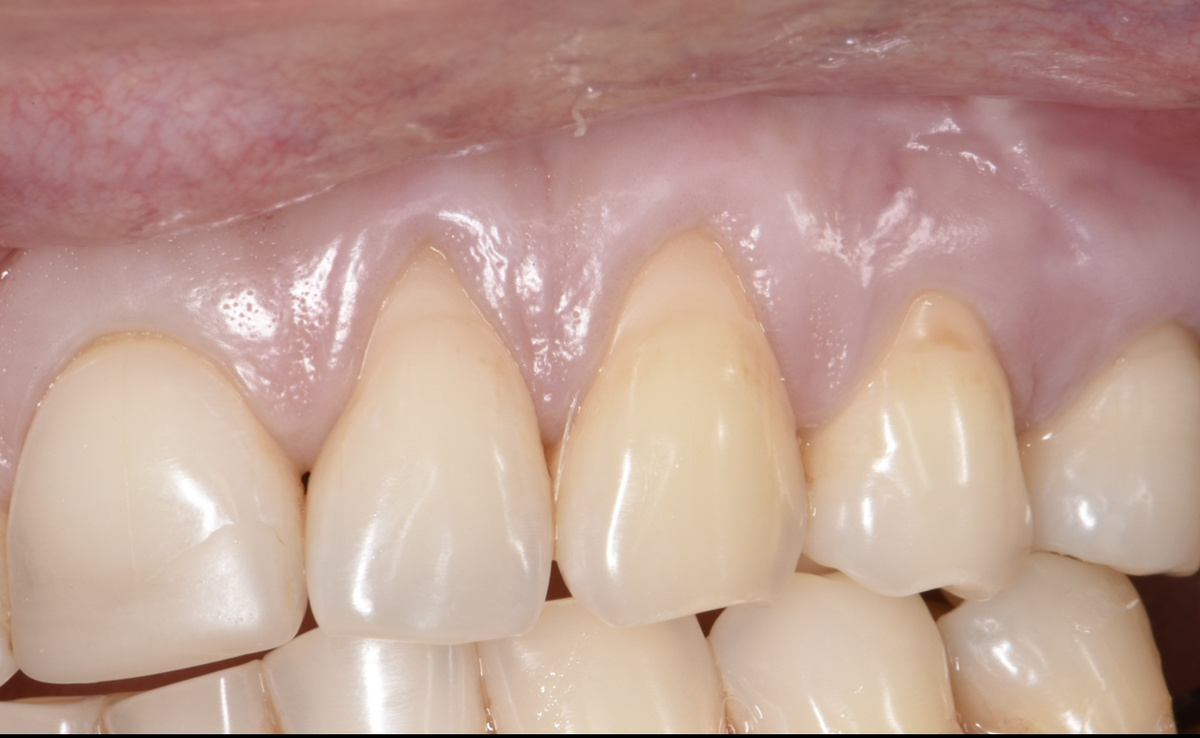
Почему обнажается десна и появляются «длинные зубы»: простое объяснение и реальные причины Обнажение корней зубов — или то, что мы в медицине называем рецессией десны — встречается намного чаще, чем люди думают. Практически каждый второй пациент приходит с жалобой «у меня уходит десна» или «зуб стал длиннее». Причин много, но есть несколько основных, которые я вижу в практике каждый день. 1. Давление на щётку и неправильная техника чистки Это самая частая причина. Не столько сама чистка, сколько давление на щётку. 95% людей чистят не аккуратно, а усиленно: давят на щётку, трут горизонтально, как будто пытаются стереть зубы до блеска. В итоге травмируется десна — она медленно опускается и обнажает корень. Я всегда говорю пациентам: лучше чистить 15 секунд БЕЗ давления, чем 2 минуты, но давить так, что щётка гнётся. Щётка должна быть только мягкая. Среднюю жёсткость до сих пор советуют многие стоматологи по старой привычке, но мягкая — это современный стандарт. 2. Налёт, зубно

Почему обнажается десна и появляются «длинные зубы»: простое объяснение и реальные причины

Обнажение корней зубов — или то, что мы в медицине называем рецессией десны — встречается намного чаще, чем люди думают. Практически каждый второй пациент приходит с жалобой «у меня уходит десна» или «зуб стал длиннее».

Причин много, но есть несколько основных, которые я вижу в практике каждый день.

1. Давление на щётку и неправильная техника чистки

Это самая частая причина.

Не столько сама чистка, сколько давление на щётку.

95% людей чистят не аккуратно, а усиленно: давят на щётку, трут горизонтально, как будто пытаются стереть зубы до блеска.

В итоге травмируется десна — она медленно опускается и обнажает корень.

Я всегда говорю пациентам:

лучше чистить 15 секунд БЕЗ давления, чем 2 минуты, но давить так, что щётка гнётся.

Щётка должна быть только мягкая.

Среднюю жёсткость до сих пор советуют многие стоматологи по старой привычке, но мягкая — это современный стандарт.

2. Налёт, зубной камень и хроническое воспаление

Если налёт остаётся на зубах, десна постепенно реагирует воспалением.

Появляется отёк, кровоточивость, а позже — уменьшение десневого края.

То есть десна сначала рыхлая, потом она устаёт от постоянного воспаления и просто уходит вниз.

3. Пародонтит — генетическое заболевание

Очень важно понимать:

существует заболевание пародонтит, которое развивается из-за активности пяти пародонтогенных бактерий.

Оно имеет генетическую предрасположенность.

При пародонтите:

• уходит десна,

• появляется подвижность зубов,

• разрушается костная ткань.

И рецессии в этом случае — не просто косметика, а признак серьёзного воспалительного процесса.

4. Последствия брекетов и ошибок ортодонта

Брекеты — это классно, но при неправильном лечении есть риск рецессий.

Если корни зубов выводят за пределы кости, двигают слишком быстро или без контроля — десна просто не выдерживает.

Это особенно касается тонкого биотипа десны (о нём ниже).

5. Тонкий биотип десны (есть почти у 80% людей)

Это одна из ключевых особенностей.

У большинства людей десна от природы тонкая.

А тонкая ткань:

• легко травмируется,

• плохо выдерживает давление щётки,

• быстрее «уходит» при воспалении.

Поэтому людям с тонкой десной особенно важно чистить зубы щадяще.

6. Прикус, выступающие зубы, неправильное распределение нагрузки

Когда зуб стоит вне дуги, выступает или получает чрезмерную нагрузку — риск рецессии резко увеличивается.

Выступающий зуб мы чистим сильнее, задеваем щёткой под другим углом, постоянно травмируем — десна теряет защиту.

7. Вредные привычки

Сюда относится:

• бруксизм,

• привычка сжимать зубы,

• надавливание языком,

• грызение ручки или ногтей.

Все эти нагрузки микротравмируют десну.

8. Возрастные особенности

Это спорный момент, но в целом с возрастом ткани становятся тоньше, регенерация замедляется.

Поэтому рецессии после 35–40 лет встречаются чаще.

Можно ли это остановить?

В большинстве случаев — да.

Но важно понять причину.

Если проблема в чистке → меняем технику.

Если камни → делаем профессиональную гигиену.

Если пародонтит → комплексное лечение.

Если ошибка ортодонта → коррекция и контроль.

Если выраженная рецессия → хирургические методы восстановления десны.

Главное, что нужно запомнить

Рецессия — это не «косметика».

Это показатель того, что десна теряет стабильность и защиту.

-2

Чем раньше человек приходит — тем проще и быстрее всё исправить.