Добавить в корзинуПозвонить
Найти в Дзене

Друзья, сегодня хочу показать дисфункцию внчс на мрт

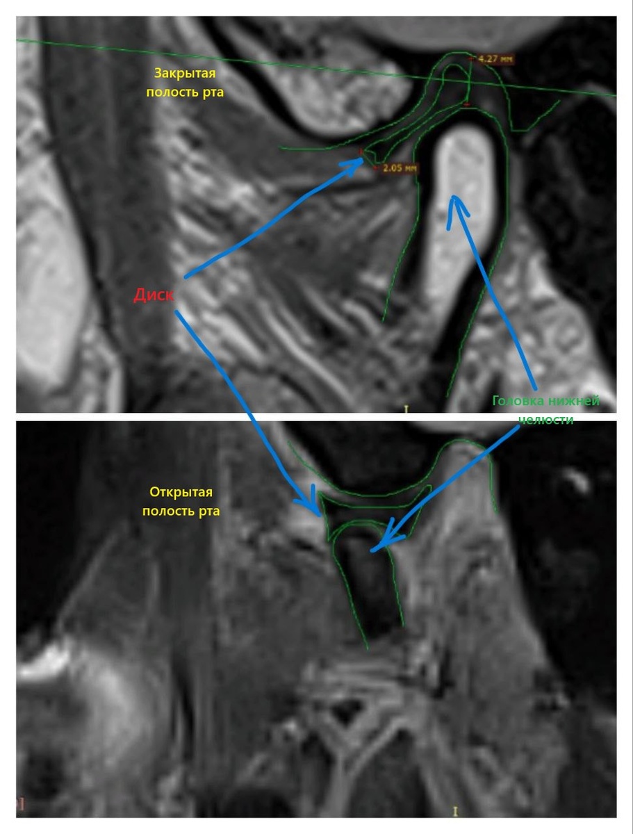
Друзья, сегодня хочу показать дисфункцию внчс на мрт📍 1 коллаж правая сторона: на которой имеются изменения, Суставной диск смещен кпереди, задний край на 9 ч.у.ц., МР-сигнал от него неоднородный, за счет дегенеративных изменений. При открывании рта суставной диск полностью смещен кпереди от головки нижней челюсти. Структурность волокон биламинарной зоны сохранена. 2 коллаж левая сторона: Суставной диск не смещен в передне-заднем направлении, в корональной плоскости не смещен, МР-сигнал от него При открывании рта суставной диск занимает нормальное положение, расположен междусуставными поверхностями.

Друзья, сегодня хочу показать дисфункцию внчс на мрт📍

1 коллаж правая сторона: на которой имеются изменения, Суставной диск смещен кпереди, задний край на 9 ч.у.ц., МР-сигнал от него неоднородный, за

счет дегенеративных изменений.

При открывании рта суставной диск полностью смещен кпереди от головки нижней челюсти.

Структурность волокон биламинарной зоны сохранена.

2 коллаж левая сторона: Суставной диск не

смещен в передне-заднем направлении, в корональной плоскости не смещен, МР-сигнал от него

При открывании рта суставной диск занимает нормальное положение, расположен междусуставными поверхностями.

-2