Добавить в корзинуПозвонить
Найти в Дзене

Что может пойти не так в стоматологическом лечении, если игнорировать КТ и состояние пазух

Если не учитывать данные КТ и всё равно проводить имплантацию, синус-лифтинг или костную пластику, можно столкнуться с серьёзными последствиями: Однако если бы пациент, у которого видны изменения на КТ, попал к ЛОР-врачу до стоматологического вмешательства, мы могли бы этих последствий избежать. Мы рискуем не только здоровьем пациента, но и доверием к врачу-стоматологу и клинике в будущем. 1. За 3 недели до лечения
Три недели до стоматологической операции на верхней челюсти, при установке имплантатов или проведении синус-лифтинга пациент не должен болеть: ни простуды, ни аллергии, ни даже легкого насморка. Если подобные симптомы у пациента были, лучше отложить лечение. 2. В течение 3 недель после синус-лифтинга:
Пациент должен наблюдать за своим состоянием и самочувствием:
при появлении малейших признаков синусита, гайморита, температуры, воспаления пазух, боли - нужно сразу сообщить лечащему врачу. 3. Через 3 недели после лечения
Нужно сделать контрольное КТ. Это покажет, прижился
Оглавление

Если не учитывать данные КТ и всё равно проводить имплантацию, синус-лифтинг или костную пластику, можно столкнуться с серьёзными последствиями:

  • воспаление пазух,
  • неприжившиеся импланты,
  • необходимость перелечивания.

Примеры осложнений:

  • В случае, если имплантат не прижился, может начаться серьёзное воспаление.
  • Костный материал попал в пазуху - зачастую сначала начинается воспаление, а спустя 3 месяца это уже хронический гайморит.
  • Вмешательство проведено, но симптомы не учтены - возникают полипы, гной, необходимость в ЛОР операции.
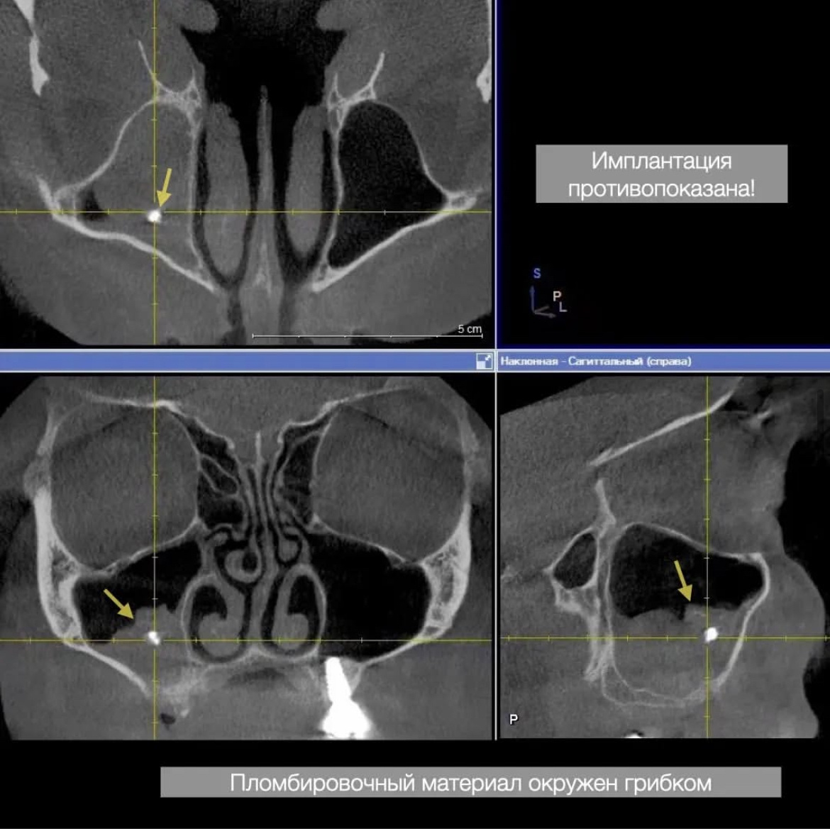
Инородное тело (пломбировочный материал) в пазухе - хирургические манипуляции противопоказаны
Инородное тело (пломбировочный материал) в пазухе - хирургические манипуляции противопоказаны
Два месяца после санации пазухи у ЛОР-врача - можно проводить имплантацию
Два месяца после санации пазухи у ЛОР-врача - можно проводить имплантацию

Однако если бы пациент, у которого видны изменения на КТ, попал к ЛОР-врачу до стоматологического вмешательства, мы могли бы этих последствий избежать.

Мы рискуем не только здоровьем пациента, но и доверием к врачу-стоматологу и клинике в будущем.

Извлекли корень зуба из пазухи - пациент готов к имплантации/синус-лифтингу
Извлекли корень зуба из пазухи - пациент готов к имплантации/синус-лифтингу

Три профилактических правила - «Правила трёх недель»

1. За 3 недели до лечения
Три недели до стоматологической операции на верхней челюсти, при установке имплантатов или проведении синус-лифтинга пациент не должен болеть: ни простуды, ни аллергии, ни даже легкого насморка.

Если подобные симптомы у пациента были, лучше отложить лечение.

2. В течение 3 недель после синус-лифтинга:
Пациент должен наблюдать за своим состоянием и самочувствием:
при появлении малейших признаков синусита, гайморита, температуры, воспаления пазух, боли - нужно сразу сообщить лечащему врачу.

3. Через 3 недели после лечения
Нужно сделать контрольное КТ. Это покажет, прижился ли костный материал, нет ли смещения, воспаления, признаков гайморита.

Почему 3 недели?
Потому что за 21 день все отёки и воспалительные реакции должны пройти. Если на этом этапе что-то не так, нужно срочно обратить на это внимание.