Добавить в корзинуПозвонить
Найти в Дзене
Parodoctor

"Клыки Дракулы" через 3 месяца встали на место - показываю, как брекеты творят чудеса

Три месяца назад поставили брекеты подростку с "вампирскими" клыками. Вестибулярное супраположение - так это называется научно. А по-простому - клыки растут поверх других зубов, торчат вперёд и вверх. Сегодня покажу промежуточный результат. Всего 3 месяца прошло, а клыки уже почти в зубном ряду нанормальных позициях. Даже непрофессионал увидит разницу, эта патология стабильно радует эффектным и быстрым преображением улыбки. Но это только начало пути, впереди ещё 1,5-2 года работы. Расскажу, почему так долго и что будет дальше. Вестибулярное супраположение клыков - одна из распространённых ортодонтических патологий. Клыки прорезываются одними из последних постоянных зубов (позже только вторые моляры и зубы мудрости). К моменту их появления места в челюсти, случается, маловато бывает. Все хорошие места заняты более расторопными собратьями. И что же остаётся клыку делать? Прорезываться там, где получится. Обычно - выше линии улыбки, поверх других зубов. Получается та самая "вампирская" у
Оглавление

Три месяца назад поставили брекеты подростку с "вампирскими" клыками. Вестибулярное супраположение - так это называется научно. А по-простому - клыки растут поверх других зубов, торчат вперёд и вверх.

Вестибулярное супраположение клыков
Вестибулярное супраположение клыков

Сегодня покажу промежуточный результат. Всего 3 месяца прошло, а клыки уже почти в зубном ряду нанормальных позициях. Даже непрофессионал увидит разницу, эта патология стабильно радует эффектным и быстрым преображением улыбки.

Но это только начало пути, впереди ещё 1,5-2 года работы. Расскажу, почему так долго и что будет дальше.

Клыки вампира - откуда берутся и почему являются проблемой

Вестибулярное супраположение клыков - одна из распространённых ортодонтических патологий. Клыки прорезываются одними из последних постоянных зубов (позже только вторые моляры и зубы мудрости). К моменту их появления места в челюсти, случается, маловато бывает. Все хорошие места заняты более расторопными собратьями.

И что же остаётся клыку делать? Прорезываться там, где получится. Обычно - выше линии улыбки, поверх других зубов. Получается та самая "вампирская" улыбка.

В Японии такие клыки ("yaeba") считаются милыми. Даже наращивают специально, чтобы выглядеть моложе и беззащитнее. Культура этакая.

У нас история иная. Пациенты некоторые считают, что можно просто удалить эти клыки и ничего страшного не случится. Но ещё хуже то, что некоторые доктора придерживаются того же мнения.

Как выглядит типичный пациент с "вампирскими" клыками - знакомы такие?

Что интересно, можно составить характерный портрет среднестатистического человека с подобной патологией.

  1. Узкое вытянутое лицо. Недоразвитие верхней челюсти в ширину даёт характерную вытянутость. Лицо кажется более длинным, чем есть на самом деле. Скулы не выражены, щёки впалые.
  2. Напряжённая улыбка. Человек (особенно ребёнок) инстинктивно старается не показывать клыки. Улыбается сдержанно, губами, не обнажая зубы. Или прикрывает рот рукой при смехе. Классическая защитная реакция.
  3. Выпирающая верхняя губа. Клыки торчат вперёд и приподнимают губу. Создаётся эффект "надутых губ". У людей с малым количеством жировой ткани в организме при закрытом рте могут быть видны характерные бугорки под кожей - это проступают клыки.
  4. Глубокие носогубные складки. Даже у подростков такое встречается! Из-за неправильного положения клыков мягкие ткани лица не получают нормальной поддержки. Носогубки проваливаются, лицо выглядит старше.
  5. Асимметричная линия улыбки. Часто один клык вылезает больше другого. При улыбке один угол рта поднимается выше. Лицо кажется перекошенным.
  6. "Готическое" выражение лица. Это не научный термин, но очень точное описание. Сочетание узкого лица, впалых щёк и торчащих клыков создаёт тот самый "вампирский" образ. В средневековье таких бы в колдовстве обвинили.
  7. Психологические маркеры. Стеснительность, закрытость, привычка прикрывать рот. Такие дети часто сутулятся, опускают голову при разговоре. Классическая картина подростка с комплексами из-за внешности.

Родители, часто, не замечают - они привыкли к чаду. Но посторонние видят сразу. И дети в школе видят... Могут дразнить "вампиром", "Дракулой", "саблезубым". Детская жестокость не знает границ, к сожалению.

Почему нельзя удалять клыки - это опасно для всего прикуса

Клык - это краеугольный камень зубного ряда. Удалить клык - всё равно что выбить несущую колонну из здания.

  • Клык - самый мощный зуб. У клыка самый длинный корень среди всех зубов. Он уходит глубоко в кость, почти до самого носа на верхней челюсти. Это якорь, который держит весь угол зубного ряда.
  • Клык направляет движения челюсти. При боковых движениях челюсти именно клыки берут на себя основную нагрузку. Это называется "клыковое ведение". Удалите клык - нагрузка пойдёт на премоляры и моляры. Они к этому не готовы. Начнутся сколы, стираемость, проблемы с суставом.
  • Клык держит высоту прикуса. Клыки определяют, насколько глубоко верхние зубы перекрывают нижние. Удалите клык - прикус "просядет". Лицо визуально постареет лет на 10.
  • Клык формирует эстетику улыбки. Клык создаёт переход от передних зубов к боковым, кость в области клыка "выпирает", формирует каркас. Без клыка улыбка выглядит "провалившейся".

Поэтому правило железное - клыки не удаляем без особых показаний.

Брекеты vs элайнеры - почему выбрали брекеты

Используем самолигирующиеся брекеты Damon Clear. Подошли бы и металлические Q2, например. Но не все хотят видеть на зубах металл (хотя у подростков, вроде, модно носить именно металлические брекеты - поступают конкретные запросы):

День установки брекет-системы на верхнюю челюсть
День установки брекет-системы на верхнюю челюсть

Данную коррекцию можно было бы провести и на элайнерах. Но для подобных клыков брекеты, зачастую, работают эффективнее.

Клык нужно не просто сдвинуть, а, буквально "стащить" вниз с высоты. Это вертикальное перемещение на ощутимое количество миллиметров. Элайнеры с таким справляются хуже, нужно подключать доп аппаратуру - винты, резинки. Скорость перемещения на брекетах будет выше в данном случае. При вестибулярном супраположении клыков это важно - чем быстрее уберём эстетический дефект, тем лучше для психики подростка. Ну и брекеты сложно потерять.

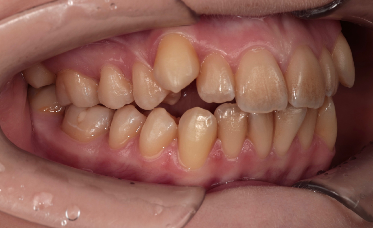
Результат перемещения клыков с вестибулярным супраположением за три месяца

Результат перемещения клыков с вестибулярным супраположением за три месяца
Результат перемещения клыков с вестибулярным супраположением за три месяца

Посмотрите на фото "до" и "после 3 месяцев". Разница очевидна даже неспециалисту. Клыки из положения "дракула" перешли в положение "почти нормально".

Кто-то увидит результат и спросит: - "Может, уже снимать пора? Красиво же!"

Нет, нельзя! Это только 20% пути. Визуально красиво, функционально - ещё нужно работать.

Что ещё нужно сделать:

  • выровнять наклоны всех зубов;
  • подключить нижнюю челюсть;
  • настроить окклюзию. Каждый бугорок верхнего зуба должен попадать в свою ямку на нижнем. Сейчас зубы смыкаются как попало. Нужна точная подгонка.

Вывод

Неправильный прикус - это не только некрасиво. Это вполне реальные проблемы на всю жизнь в перспективе:

  • ранняя стираемость зубов;
  • проблемы с воспалительными заболеваниями пародонта;
  • проблемы с височно-нижнечелюстным суставом;
  • головные боли;
  • сложности с протезированием в будущем;
  • психологические комплексы.

Исправить прикус в детстве - это подарить ребёнку здоровую улыбку на всю жизнь. Ну а если родители проблему не решили (а раньше возможности такой не было), то не поздно во взрослом возрасте помочь себе самому.

Современная ортодонтия творит чудеса. Просто нужно время и грамотный ортодонт с хорошим опытом (+/- 10 лет минимум опыта).

Никогда не перестану писать - ортодонтов очень много. Хороших - единицы.

Больше клинических случаев исправления прикуса в подборке:

Ортодонтические варианты | Parodoctor | Дзен

Вопросы задавайте в моём Telegram-канале - там я их точно увижу и отвечу. В Дзене сотни комментариев под сотнями статей и я физически не успеваю всё всегда мониторить. В Telegram все вопросы в одном месте, удобно отвечать, можно фото прикрепить. Так что жду в тг:

Parodoctor

С уважением, Лежачёва Наталия Александровна, хирург-пародонтолог и главный врач стоматологии Parodent, СПб.