Добавить в корзинуПозвонить
Найти в Дзене
MY ORT

Как мы исправили чужую ошибку и вернули радость жизни пациенту: сложный случай из практики

Иногда за словами «мне просто трудно жевать» скрывается целая история с нарушенной функцией сустава, тревогой перед каждым приёмом, усталостью и слезами от неудачных протезов, установленных в других клиниках. Я хочу рассказать вам о пациентке, чей путь к полноценной жизни без боли в суставе оказался очень непростым. Как мы исправляли ошибки других врачей и что из этого вышло. Ко мне обратилась пациентка полтора года назад с жалобой на боль в суставе. Она пришла ко мне как к гнатологу. На первый взгляд проблема выглядела как ортопедическая, но диагностика показала совершенно другую картину, требующую серьезного междисциплинарного подхода. До обращения к нам у пациентки стояли две большие мостовидные конструкции, от клыка до клыка на обеих челюстях. Пластиковые временные мосты не обеспечивали жевательную функцию челюсти. Имплантаты стояли в боковых сегментах 1–4 и с 5–8 по секции, но в области 45-го зуба был оголен виток имплантата. Пациентка пережила долгое ожидание и уклонение от ответ
Оглавление

Иногда за словами «мне просто трудно жевать» скрывается целая история с нарушенной функцией сустава, тревогой перед каждым приёмом, усталостью и слезами от неудачных протезов, установленных в других клиниках.

Я хочу рассказать вам о пациентке, чей путь к полноценной жизни без боли в суставе оказался очень непростым. Как мы исправляли ошибки других врачей и что из этого вышло.

Жалобы пациента

Ко мне обратилась пациентка полтора года назад с жалобой на боль в суставе. Она пришла ко мне как к гнатологу. На первый взгляд проблема выглядела как ортопедическая, но диагностика показала совершенно другую картину, требующую серьезного междисциплинарного подхода.

История пациента. Почему она пришла к нам после другой клиники

До обращения к нам у пациентки стояли две большие мостовидные конструкции, от клыка до клыка на обеих челюстях. Пластиковые временные мосты не обеспечивали жевательную функцию челюсти. Имплантаты стояли в боковых сегментах 1–4 и с 5–8 по секции, но в области 45-го зуба был оголен виток имплантата.

Пациентка пережила долгое ожидание и уклонение от ответа в другой клинике. После удаления зубов и установки имплантатов ортопед либо избегал ответа, либо лечение затягивалось. В результате доверие к врачу было потеряно. Так в течение 3-х лет пациентка ходила с пластиковыми мостами на передних 12 зубах (не предназначенных для жевания), не получая полноценной функции. Это, по нашему мнению, и стало одной из причин развития серьезного артроза.

Осмотр и диагностика

Я провела комплексную диагностику: компьютерную томографию (КТ) и магнитно-резонансную томографию (МРТ). Результаты показали выраженную деформацию суставных отростков с обеих сторон и остеоартроз 3–4 степени. Именно такая стадия артроза объясняла постоянные боли, парафункцию и ограничения в движениях челюсти.

Артроз сформировался не одномоментно — это результат длительной патологической нагрузки на сустав, вероятно связанной с неправильной опорой и функцией зубных конструкций, установленных в другой клинике.

При осмотре я обнаружила, что у пациентки на верхней челюсти стояли 8 имплантатов трёх систем — Alpha Bio (Израиль), AnyRidge (Южная Корея), Straumann (Швейцария). На первом сегменте был установлен FP3 протез (17–11 зуб). И вся эта конструкция, за исключением моста, была зафиксирована на цементной основе.

На нижней челюсти от клыка до клыка уже стояли постоянные коронки. Боковые сегменты также были покрыты индивидуальными абатментами с цементной фиксацией.

Коронки на нижней челюсти с 43 по 33 зуб
Коронки на нижней челюсти с 43 по 33 зуб

Также у пациентки были обнаружены оголенные витки имплантатов в нескольких местах. Попытки пластики в другой клинике не дали положительного результата, из-за чего пациентка утратила доверие и к пластике.

КТ показало признаки воспаления корней, пломбированных каналов (силан + гуттаперча), а также отсутствие полноценного «билдапа» в некоторых местах, что потребовало эндодонтического вмешательства.

Также я обнаружила литые культевые вкладки под коронками, которые были установлены в той же клинике. Пациентка о них даже не знала. Все это давало значительные артефакты на КТ, когда мы проводили анализ. Везде был использован циркон, что и способствовало воспалению.

Первые шаги. Сплинт-терапия

Понимая, что сустав не вернуть сразу в норму протезированием, мы начали с суставной каппы (сплинта). Как только пациентка начала носить сплинт, ей стало легче. У нее ушли сильные боли, функциональная подвижность улучшилась. Это подтвердило часть симптоматики, хотя сама деформация еще остается.

Каппа не лечит артроз — она снижает нагрузку, стабилизирует положение сустава и создаёт основу для дальнейшего планирования лечения.

Подготовка временных конструкции и моделирование прикуса

Собрав все данные — фотопротокол, сканы (3Shape) и КТ, я пригласила техника из зуботехнической лаборатории MY ORT LAB для осмотра данных клинического случая, изготовления новых временных конструкций и моделирования прикуса. Работа выполнялась полностью по цифровому протоколу.

Курбанов Зураб Алиевич — зубной техник, специалист по 3D-печати в MY ORT LAB

К нам обратилась пациентка после неудачного лечения в другой клинике: ей установили ортопедические конструкции, которые оказались некачественными и вызывали дискомфорт.
Я присутствовал на первом приёме, где мы подробно обсудили все жалобы пациентки: что именно её не устраивало — форма, высота, прикус, ощущения при закрывании и открывании рта. Все детали были зафиксировали, чтобы при дальнейшем планировании ничего не упустить.
Мы провели внутриротовое сканирование. Из-за того, что между имплантатами был большой разброс углов, пришлось тщательно подбирать положение скан-боди и выравнивать данные, чтобы добиться максимальной точности.
Дальше все цифровые слепки поступили к нам в лабораторию, где работа выполнялась полностью по цифровому протоколу. На основе КТ и сканов мы смонтировали виртуальный артикулятор, учитывая индивидуальные параметры пациентки — движения нижней челюсти, положение сустава, высоту прикуса.
На основе этих данных мы изготовили временные функциональные коронки максимально точные и правильные настолько, насколько это возможно в рамках данной клинической ситуации. Эти временные конструкции в дальнейшем послужат основой для постоянных протезов.
Все временные конструкции были отфрезерованы из прочного полиметилметакрилата (PMMA) на нашем фрезерном оборудовании, после чего отполированы и направлены в клинику для примерки и фиксации.

Почему цифровой протокол важен?

При множественных имплантатах от разных производителей есть высокая вероятность ошибки в позиционировании сустава. Цифровые сканы и виртуальный артикулятор помогают минимизировать любые погрешности.

Сложные решения

Ключевые трудности, перед которыми мы оказались и какое решение выбрали!

Поскольку на верхней челюсти были использованы имплантаты трёх систем — это усложняет работу и выбор протокола фиксации.

Были участки с недостаточным объемом мягких тканей (последствие длительной цементной фиксации FP3 и без длительной нагрузки имплантатов).

Варианты решения — перевод конструкций на винтовую фиксацию (Rosen), но такая конструкция дорогая и технически сложная при смешении систем. Альтернативным способом является выбор мультиюнитов и корректной цементной фиксации.

Решение принималось вместе с пациенткой, после чего я начала обеспечить функциональную стабильность челюсти, и по мере готовности будем решать вопрос о пластике и переходе на постоянные конструкции.

Этапы лечения

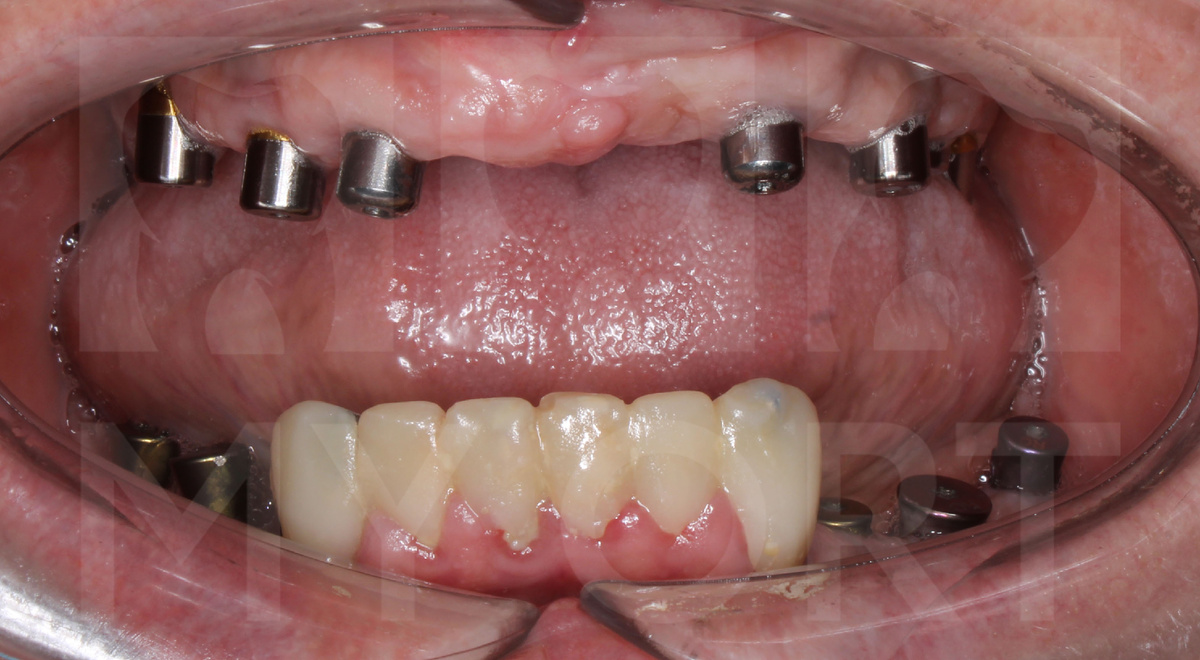
  1. Для начала я сняла временные и старые коронки для сканирования и оценки состояния опор в полости.
  2. Затем был проведен предварительный этап перевода на винтовую фиксацию (где это возможно) для облегчения лабораторной работы.
  3. Мы зафиксировали прикус в положении, которое пациентке было удобно. В момент фиксации на нижней челюсти был установлен мокап (моделирование прототипа будущих зубов) от клыка до клыка.
  4. Далее проводился контроль и корректировки. Пациентка ходила 2 недели без зубов. Далее её ждала винтовая фиксация протезов, когда ситуация стабилизировалась. Все этапы проводились с фотопротоколом и КТ.
Снятие временных и старых коронок
Снятие временных и старых коронок

Я попросила пациентку заполнить табличку с личными комментариями о том, что ей нравится и не нравится в протезах, чтобы учесть все моменты и ничего не забыть. Эти записи и данные КТ были переданы технику, чтобы он проверил их по комментариям пациентки и учёл всё, что её беспокоило.

Результат на текущий момент. Что изменилось?

После фиксации временных конструкций и коррекции прикуса у пациентки значительно уменьшились боли в височно–нижнечелюстном суставе (на фоне ношения каппы и корректной установки прикуса). Была восстановлена функция жевания: пациентка стала отмечать, что ей стало удобно жевать, прошло ощущение «пустого рта».

Улучшилась эстетика. При моделировке техник смог «приоткрыть» нижние зубы и сократить выступ верхних. Это позволило вернуть видимые нижние зубы при улыбке.

Посмотрите, что у нас получилось:

Итоговый результат через 7 дней
Итоговый результат через 7 дней

Уже через 7 дней пациентка пришла на контрольный осмотр с улыбкой и слезами счастья на глазах. Это самое приятное и ценное в нашей работе, и ничто не может заменить того, что мы помогли человеку и вернули радость в его жизнь, особенно в такой сложной ситуации.

Дальнейший план лечения

Это только первые этапы лечения. Впереди пациентку ожидает дальнейшее лечение. Что нужно сделать:

1. Оценить сохранность нижних 6-ти зубов и решить, целесообразно ли их сохранить или заменить имплантатами. Возможные варианты:

  • Лечить и сохранять зубы, ставить мостовую конструкцию;
  • Удалять проблемные зубы и ставить 2 имплантата с встречными конструкциями.

2. Пройти пародонтологическую терапию по восстановлению тканей.

3. Фиксация челюсти: перевод конструкции с мультиюнитов на цементную или винтовую фиксацию Rosen, но это дорого и сложно, учитывая, что у пациентки стоят 3 системы имплантатов.

4. Эндодонтическое лечение и санация корней в местах, где на КТ показало воспаление и недолеченные каналы.

5. Мониторинг состояния суставов — провести повторный анализ МРТ и контрольные обследования. Без стабильного состояния в суставе мы не можем перевести пациентку на окончательные постоянные несъемные конструкции.

Пациентка всё это знает и согласна, а пока, пусть у неё всё будет хорошо, и она набирается сил для дальнейшего лечения.

Заключение

Этот клинический случай — пример того, что восстановление улыбки — это не только эстетика и имплантаты, а сочетание гнатологии, ортопедии, цифровой лабораторной работы, пародонтологии и эндодонтии. И самое главное — внимание к психологическому состоянию пациента.

Мы добились значительного улучшения функции и эстетики, но лечение ещё не окончено — всё ещё впереди. Контроль суставов, работа с пародонтом и окончательное закрепление результата.

А как проходило ваше лечение? Поделитесь своими историями с нами в комментариях!

Автор статьи: Меньших (Нагибина) Людмила Алексеевна — врач-стоматолог, ортопед, гнатолог