Найти в Дзене

Инновационная эстетика улыбки: виниры Emax Press и коронки Emax Full Anatomy

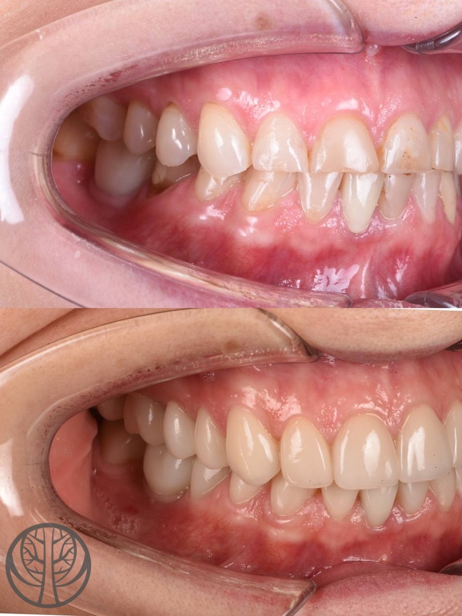
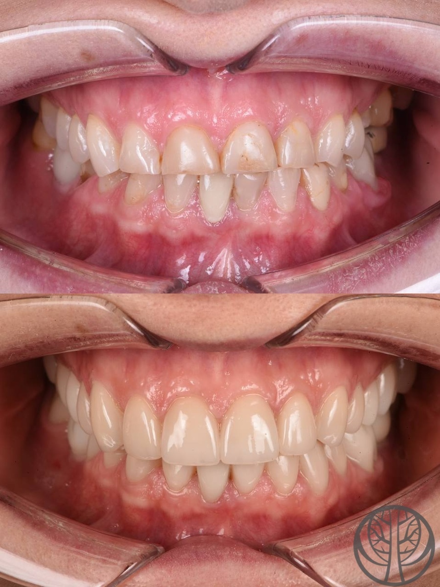
Представляем передовые решения в стоматологии премиум-класса: фронтальные зубы восстанавливаются с помощью керамических реставраций Emax Press, обеспечивающих идеальное сочетание прочности и красоты благодаря технологии прессования. Для восстановления жевательных зубов используются прочные и точные конструкции Emax Full Anatomy с идеальной передачей естественной формы зуба. Оба материала отличаются исключительной биосовместимостью, долговечностью и превосходной эстетикой.

Представляем передовые решения в стоматологии премиум-класса: фронтальные зубы восстанавливаются с помощью керамических реставраций Emax Press, обеспечивающих идеальное сочетание прочности и красоты благодаря технологии прессования.

-2
-3

Для восстановления жевательных зубов используются прочные и точные конструкции Emax Full Anatomy с идеальной передачей естественной формы зуба. Оба материала отличаются исключительной биосовместимостью, долговечностью и превосходной эстетикой.