Добавить в корзинуПозвонить
Найти в Дзене

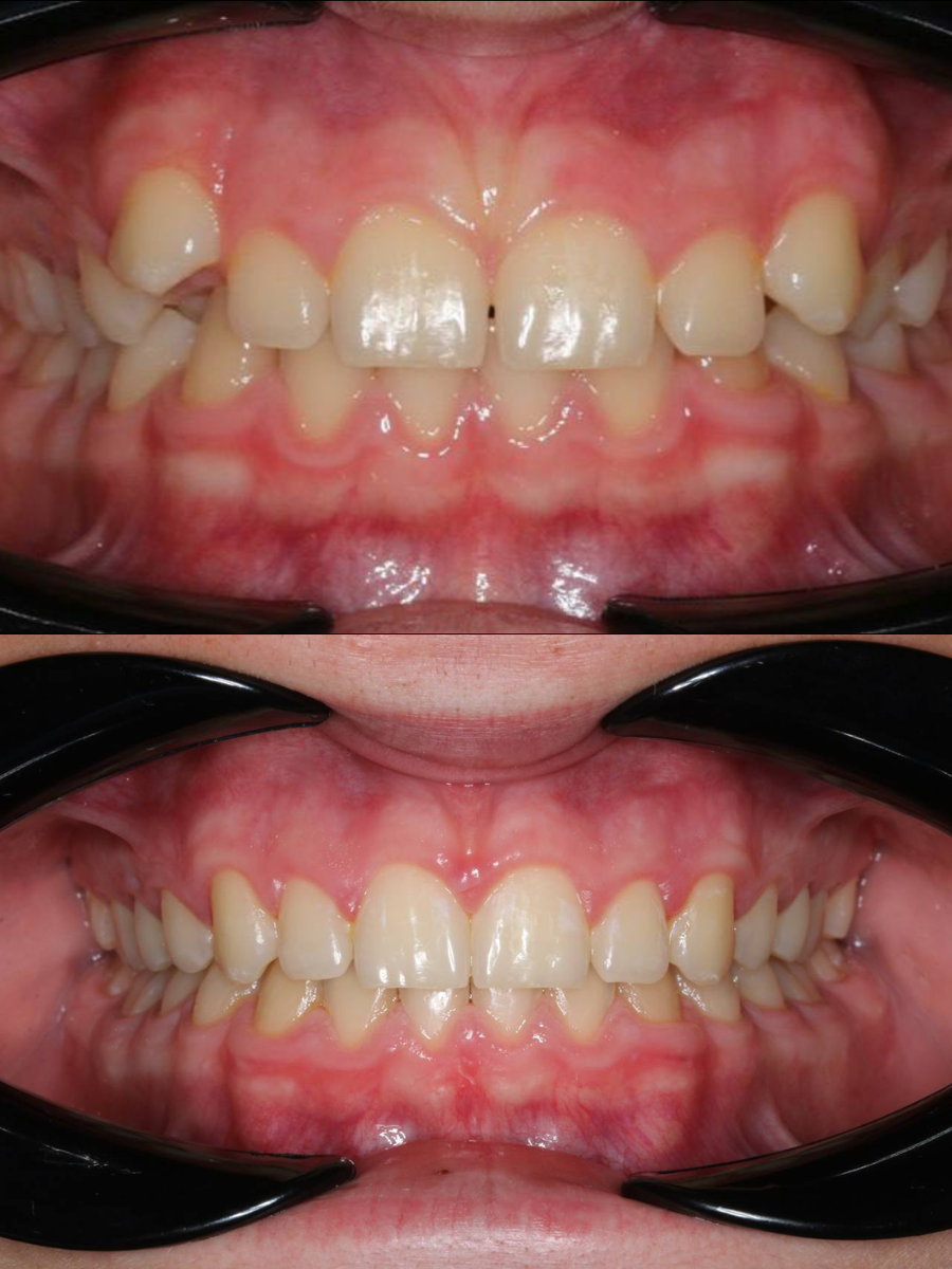
Прикус у подростка

История мамы пациента История, которую стыдно было рассказать даже подругам: мой сын-подросток в 16 лет ходил как будто бы 80-летний старичок. Вечно уставший, раздражительный, постоянно жаловался на головные боли. Что мы только не делали: и МРТ - всё в норме, и анализы сдавали, тоже тьфу-тьфу, пошли к мануальному терапевту, да, эффект был, но только на 2 недели. Я уже думала, что это такой возраст, и надо просто пережить. Пока моя сестра не сказала сходить к зубному. Честно, я не верила. Ну какая стоматология, когда у ребёнка голова болит? Оказалось, что всё просто (как потом объяснил врач - Марина Андреевна Смолкина). Если неправильный прикус, то смещается челюсть, далее, мышцы шеи постоянно напряжены, из-за этого болит голова и шея. Нам провели лечение, выровняли прикус. Я заметила, что сын перестал сутулиться, стал более энергичный и не такой раздражительный, самое главное, прошли головные боли. Мамам таких же "вечноуставших" подростков: не тратьте время на поиски сложных диагнозов.

История мамы пациента

История, которую стыдно было рассказать даже подругам: мой сын-подросток в 16 лет ходил как будто бы 80-летний старичок. Вечно уставший, раздражительный, постоянно жаловался на головные боли.

Что мы только не делали: и МРТ - всё в норме, и анализы сдавали, тоже тьфу-тьфу, пошли к мануальному терапевту, да, эффект был, но только на 2 недели.

Я уже думала, что это такой возраст, и надо просто пережить. Пока моя сестра не сказала сходить к зубному.

Честно, я не верила. Ну какая стоматология, когда у ребёнка голова болит?

Оказалось, что всё просто (как потом объяснил врач - Марина Андреевна Смолкина).

Если неправильный прикус, то смещается челюсть, далее, мышцы шеи постоянно напряжены, из-за этого болит голова и шея.

Нам провели лечение, выровняли прикус. Я заметила, что сын перестал сутулиться, стал более энергичный и не такой раздражительный, самое главное, прошли головные боли.

Мамам таких же "вечноуставших" подростков: не тратьте время на поиски сложных диагнозов. Начните с простого: проверьте прикус.

P.S. Да, улыбка стала идеальной, но для меня важнее стало, что сын снова радуется жизни.