Добавить в корзинуПозвонить
Найти в Дзене
White House Clinic

История пациента: Лечение во сне временных Зубов

В нашу клинику обратился Никита вместе с родителями. Ему было всего пять лет, но он уже знал, что такое настоящая зубная боль. Родители заметили, что Никита перестал есть мясо, яблоки и всё твёрдое, что хоть немного давило на зубы. Даже обычная прогулка на улице в прохладную погоду вызывала у него дискомфорт — стоило вдохнуть холодный воздух, как Никита морщился от боли. Он стал раздражительным, перестал улыбаться, отказывался чистить зубы и категорически не хотел идти к стоматологу. “Он просто не даёт открыть рот — сразу слёзы”, — рассказывала мама. ❗ Почему так произошло Как и многие родители, они думали, что молочные зубы всё равно выпадут, и откладывали лечение, надеясь, что “само пройдёт”. Но кариес у детей не ждёт — он развивается быстро и глубоко. Когда Никита наконец попал на осмотр, оказалось, что у него множественные поражения, воспаление дёсен и даже боль при накусывании. Каждая попытка лечения заканчивалась паникой. Это не капризы — это реальный страх, который формируется,
Оглавление

В нашу клинику обратился Никита вместе с родителями.

Ему было всего пять лет, но он уже знал, что такое настоящая зубная боль.

Родители заметили, что Никита перестал есть мясо, яблоки и всё твёрдое, что хоть немного давило на зубы.

Даже обычная прогулка на улице в прохладную погоду вызывала у него дискомфорт — стоило вдохнуть холодный воздух, как Никита морщился от боли.

Он стал раздражительным, перестал улыбаться, отказывался чистить зубы и категорически не хотел идти к стоматологу.

“Он просто не даёт открыть рот — сразу слёзы”, — рассказывала мама.

❗ Почему так произошло

Как и многие родители, они думали, что молочные зубы всё равно выпадут,

и откладывали лечение, надеясь, что “само пройдёт”.

Но кариес у детей не ждёт — он развивается быстро и глубоко.

Когда Никита наконец попал на осмотр, оказалось, что у него множественные поражения, воспаление дёсен и даже боль при накусывании.

Каждая попытка лечения заканчивалась паникой.

Это не капризы — это реальный страх, который формируется, когда ребёнку больно.

И если насильно удерживать малыша в кресле, травма может остаться на годы вперёд.

🌙 Решение — лечение во сне

Мы предложили родителям лечение временных зубов во сне, под седацией.

Это не “глубокий наркоз”, как часто пугают в интернете.

Это контролируемый медицинский сон, во время которого ребёнок дышит сам, а за всеми показателями следит опытный анестезиолог.

Никакой боли, никаких звуков, никаких слёз.

Ребёнок просто спит.

А врач спокойно и качественно выполняет всё лечение.

🧡 Как проходил приём

Под контролем анестезиолога Никита уснул за несколько секунд.

За один приём — чуть больше часа — мы:

  • вылечили все поражённые зубы,
  • поставили пломбы,
  • провели профилактику,
  • и восстановили правильный прикус.

Проснулся он спокойно, улыбнулся и первым делом спросил:

“А всё уже закончилось?”

Через неделю мама рассказала:

“Он снова ест яблоки и просит кусочек стейка. А самое главное — больше не боится врачей.”

💬 Почему родители боятся “лечения во сне”

Почти каждая мама вначале задаёт один и тот же вопрос:

“А он точно проснётся?”

Ответ — да.

Современная седация — это безопасный, масочный сон, который длится ровно столько, сколько нужно для лечения.

Всё проходит под постоянным наблюдением врачей.

Ребёнок дышит сам, мы контролируем пульс, давление, насыщение кислородом — каждую секунду.

Страх понятен — он идёт от любви.

Но современная детская стоматология — это уже не бормашина из прошлого,

а технология, которая помогает лечить без боли и без психотравмы.

🌷 Почему это важно делать вовремя

Молочные зубы — это не “временные детали”.

Они:

  • формируют прикус,
  • влияют на речь,
  • держат место для постоянных зубов,
  • и участвуют в правильном развитии челюсти.

Если оставить кариес без лечения, воспаление может перейти на зачатки постоянных зубов.

И тогда “взрослая” стоматология начнётся гораздо раньше, чем нужно.

💫 Лечение во сне — это не про риск. Это про заботу.

Ребёнок не должен помнить страх, боль или крики.

Он должен помнить доброго врача, игрушки, улыбку и лёгкость после приёма.

Мы часто слышим от родителей:

“Если бы знала раньше, что можно так спокойно, давно бы пришли.”

Современная детская стоматология — это не борьба.

Это партнёрство.

Это про доверие, комфорт и уважение к маленькому пациенту.

💎 Итог

Через месяц после лечения Никита пришёл на контроль уже без страха.

Он с гордостью показал свои новые «сильные зубы» и сказал:

“Теперь я не боюсь стоматологов, потому что у меня был хороший сон.”

Для нас — это лучшая оценка работы.

Работу выполнил:

🩵 Рымарь Валерия Петровна — главный врач White House Clinic,

детский врач-стоматолог

📍 Москва, Университетский проспект, 16

📞 +7 (925) 232-29-13

Центр лечения зубов Во сне

White House Clinic — место, где дети перестают бояться стоматологов и начинают улыбаться.

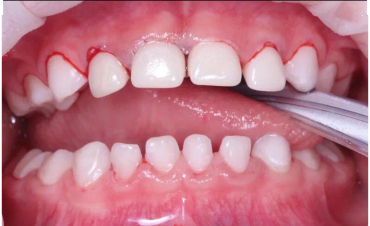
И зубы ребенка выглядят теперь так

А была такая картина кариозных Зубов
А была такая картина кариозных Зубов
-3
-4