Добавить в корзинуПозвонить
Найти в Дзене

Синдром Клайнфельтера

Синдром Клайнфельтера включает в себя целую группу патологий. Данное заболевание было описано одноименным ученым в 1942 году. Описание заключалось в том, что Клайнфельтер с коллегами опубликовали отчет об обследовании 9 мужчин, объединенных общими симптомами, такими как слабое оволосение тела, евнухоидный тип телосложения, высокий рост и уменьшенные в размерах яички. Синдром Клайнфельтера является крайне распространенной патологией и встречается в мужской популяции с частотой 0,2 %. Таким образом, на каждые 500 новорождённых мальчиков приходится 1 ребёнок с данной патологией. Данный синдром является не только самой частой формой мужского гипогонадизма, бесплодия, эректильной дисфункции, гинекомастии, но и одной из наиболее распространенных эндокринных патологий, занимая третье место после сахарного диабета и заболеваний щитовидной железы. Однако, есть основания предполагать, что примерно у половины больных на протяжении всей жизни этот синдром остаётся нераспознанным. Нарушение числа
Оглавление

Синдром Клайнфельтера включает в себя целую группу патологий. Данное заболевание было описано одноименным ученым в 1942 году. Описание заключалось в том, что Клайнфельтер с коллегами опубликовали отчет об обследовании 9 мужчин, объединенных общими симптомами, такими как слабое оволосение тела, евнухоидный тип телосложения, высокий рост и уменьшенные в размерах яички.

Синдром Клайнфельтера является крайне распространенной патологией и встречается в мужской популяции с частотой 0,2 %. Таким образом, на каждые 500 новорождённых мальчиков приходится 1 ребёнок с данной патологией. Данный синдром является не только самой частой формой мужского гипогонадизма, бесплодия, эректильной дисфункции, гинекомастии, но и одной из наиболее распространенных эндокринных патологий, занимая третье место после сахарного диабета и заболеваний щитовидной железы. Однако, есть основания предполагать, что примерно у половины больных на протяжении всей жизни этот синдром остаётся нераспознанным.

Нарушение числа хромосом обусловлено их нерасхождением либо при делении мейоза на ранней стадии развития зародышевых клеток, либо при митотическом делении клеток на начальных этапах развития эмбриона. Фактором риска возникновения синдрома Клайнфельтера является возраст матери, связь с возрастом отца не установлена. В отличие от многих других анэуплоидий синдром Клайнфельтера не ассоциирован с повышенным риском выкидыша и не является летальным фактором.

В связи с выше сказанным, я считаю изучение данной патологии и других заболеваний, связанных с затрудненной диагностикой в раннем возрасте очень актуальным.

Этиология и распространение

По одним данным, цитогенетическая основа синдрома Клайнфельтера впервые в 1956 году была описана Бриге и Баром. В кариотипе больных они выявили лишнюю Х-хромосому (полисомия по Х-хромосоме), таким образом, их кариотип представлял собой 47 XXY.

В связи с ухудшением экологической обстановки, количество детей, рождаемых с различными патологиями возрастает. При Синдроме Клайнфельтера диагностика затруднена, это связано с тем, что ребенок рождается с виду нормальным, симптомы заболевания начинают проявляться, как правило, только в препубертатном периоде, когда лечение уже не настолько эффективно. Диагностика заболевания до препубертатного периода возможна только цитогенетическими методами. В нашей стране к генетическому анализу кариотипа прибегают только тогда, когда уже проявляются видимые симптомы.

Литературные источники расходятся во мнении, когда и кем была доказана цитогенетическая природа возникновения синдрома Клайнфельтера. Так же существует множество вариантов частоты встречаемости заболевания.

Единственное, в чем не возникло существенных разногласий у авторов книг и статей – это то, что люди, страдающие данной патологией, могут вести нормальный образ жизни, ничем не отличаться от остальных в случае своевременной диагностики и назначения лечения.

По другим сведения цитогенетическая основа синдрома Клайнфельтера была доказана в 1959 году Джакобсом и Стронгом. Ими было установлено наличие дополнительной Х-хромосомы при синдроме Клайнфельтера.

Диагностика синдрома Клайнфельтера

Диагностика синдрома Клайнфельтера затруднена, в связи с тем, что в основном симптоматика проявляется в препубертатном периоде, а в случае мозаичных форм (чаще всего с кариотипом 46,XY/47,XXY) симптомы могут не проявляться вообще. Больные мозаичными формами в некоторых случаях могут иметь потомство. Пренатальная диагностика осуществляется методом амниоцетеза или боипсии хориона.

Амниоцентез – метод диагностики, с помощью которого получают околоплодную жидкость для исследования. Клетки плода, химические соединения и микроорганизмы в жидкости, окружающей плод, несут большой объем информации о новом человеческом существе. При помощи анализа можно выяснить генетическую структуру плода, состояние его здоровья, а также степень развития.

Методы пренатальной диагностики при неправильном проведении манипуляции могут нанести существенный вред плоду.

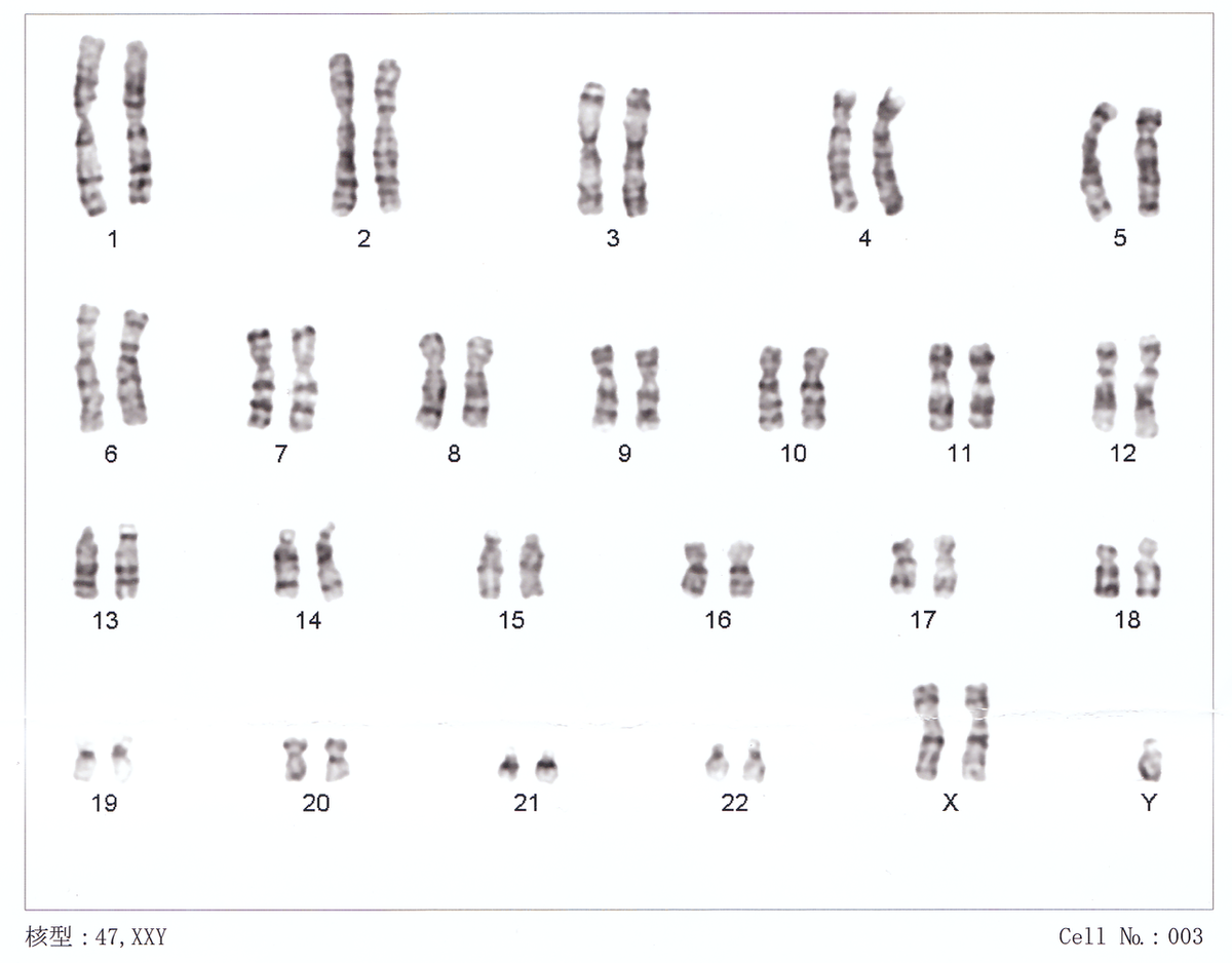
Для описания кариотипа человека разработана специальная номенклатура. Нормальный кариотип мужчины и женщины обозначают как 46, XY и 46, XX соответственно. У больных синдромом Клайнфельтера в кариотипе присутствует добавочная Х или У хромосома (в некоторых случаях добавочных хромосом может быть несколько).

Кариотип 47, (XXY)
Кариотип 47, (XXY)

Клинические проявления

Под описанные одноименным ученым симптомы подходит целая группа заболеваний, поэтому синдром Клайнфелтера разделяют на истинный (хроматинположительный) и ложный (хроматинотрицательный).

Хроматинположительный синдром Клайнфелтера характеризуется тем, что в буккальных мазках определяется половой хроматин по женскому типу. Таких пациентов иногда называют ХХУ-мужчинами, для более точного описания синдрома.

Встречается также хроматинотрицательная форма синдрома Клайнфельтера с кариотипом 46 XY, характеризующаяся постпубертатной атрофией яичек и врожденным отсутствием герминативных клеток. Описан еще синдром Клайфелтера с кариотипом 47 XYY, при котором дисгенезия семенных канальцев наблюдается весьма редко, распознавание его возможно на основе определения мужского полового хроматина по Y-тесту флюоресцентным методом.

В свою очередь в истинном (хроматинположительном) синдроме по клиническому проявлению выделяют две основные формы: эндоморфную и экзоморфную. Эндоморфная форма характеризуется нормальным развитием половых органов и вторичных половых признаков, наличием гинекомастии и некоторым отставанием роста. При экзоморфной форме отмечаются евнухоидное телосложение, недоразвитие половых органов и вторичных половых признаков.

Наиболее часто мозаицизм представлен 46XY/47XXY. В эмбриональный период формирование яичек и мужских половых органов происходит нормально, что обусловлено наличием в кариотипе Y-хромосомы.

Патология характеризуется: смазанной клинической картиной; характерен высокий рост; гинекомастия; слабое оволосение лица, подмышечных впадин и лобка; бесплодие; в мазках буккального эпителия обнаруживаются глыбки полового хроматина; гиперплазией лейдиговских клеток с нормальной или умеренно сниженной их функцией и увеличением секреции фолликулостимулирующего гормона и др.

При синдроме Клайнфелтера нередко можно наблюдать негативные черты в поведении больных. Характерными для них являются вялость, пассивность, утрата инициативы, отсутствие выраженного интереса к окружающему, признаки безвольности, замкнутость, мнительность, склонность к аффективным вспышкам.

Так же, существует группа симптомов, которые называют сопутствующими (т.е. свойственными для данной аномалии, но не являющимися важными в процессе диагностики). К таким симптомам относятся: бесплодие; неполная маскулинизция; уменьшенное либидо; остеопороз; тауродонтизм; болезни венозной системы; нарушение поведение; аутоиммунные заболевания; снижение подвижности; низкая самооценка; повышенная раздражительность; высокий рост и склонность к полноте; нарушение моторных функций и развития.

Специфика проявления симптомов может варьировать в зависимости от количества добавочных хромосом.

Цитогенетические особенности синдрома Клайнфельтера

Ложный не имеет цитогенетических особенностей (кариотип больных 46 ХУ) и как правило развивается на фоне перенесенного в раннем возрасте паротического орхита.

Хромосомные аномалии возникают в результате нарушения деления половых клеток и образования гамет, содержащих большее, чем в норме, число хромосом (явление анеуплоидии).

Избыточное число половых хромосом в кариотипе приводит к дисбалансу генов. При увеличении числа лишних хромосом степень выраженности генного дисбаланса усугубляется, а клинические проявления заболевания становятся все более выраженными. Причиной болезни может стать также аномалия деления оплодотворенной яйцеклетки (зиготы), при котором наблюдается мозаичный вариант с кариотипом 46, XY/47, XXY. В литературе описаны случаи, когда мужчины имели 2 или даже 3 дополнительные хромосомы. Эти больные имели более тяжелые проявления синдрома, включая низкий уровень умственного развития или различную степень отставания речи. Наиболее редки случаи, когда у мужчин лишними оказывались не только Х, а и У – хромосомы.

Заключение

Синдром Клайнфельтера – хромосомная аномалия, характеризующаяся полисомией по половым хромосомам. Возможны различные вариации заболевания – полисомия по Х-хромосоме, полисомия по У-хромосоме при моно- и полисомии по хромосоме Х. Встречаются различные комбинации хромосом, наиболее тяжелые симптомы наблюдаются при кариотипе 49, ХХХХУУ. Наиболее распространен мозаичный кариотип 46, ХУ/ 47, ХХУ, больные могут иметь нормальный кариотип и даже не догадываться о наличии аномалии.

Клиническая картина заболевания смазана, к основным симптомам относят высокий рост, евхнухоидное телосложение, гинекомастию, слабое оволосение. С увеличением количества добавочных Х-хромосом повышается умственная отсталость.

Диагностика в основном осуществляется в препубертатном периоде, в тяжелых случаях симптомы могут проявиться на более ранних стадиях онтогенеза. Для диагностики используются цитогенетические методы.

При своевременном лечении возможно остановить атрофию яичек и содействовать нормальному формированию мужского фенотипа. Половая функция у больных синдромом Клайнфельтера, как правило, не страдает, но ведет к бесплодию (в некоторых случая больны неспособны к сперматогенезу).

Данная хромосомная аномалия не влияет на продолжительность жизни (за исключением крайне тяжелых форм, при которых у больных наблюдаются множественные пороки развития внутренних органов), следует помнить, что уязвимой стороной таких мужчин является психика. Они склонны к депрессии, суициду, но очень часто подобные расстройства сменяются неконтролируемой агрессией, направленной на окружающих.