Найти в Дзене
Mavie Clinique

Как помогают 3D-элайнеры?

Основные показания к лечению зубов на элайнерах 3D Smile: -Неровное положение зубов — скученность, перекрытие, «заваленные» зубы. -Диастемы и тремы — щели между зубами. -Неправильный прикус лёгкой и средней степени (дистальный, мезиальный, перекрёстный, открытый, глубокий). -Рецидив после ношения брекетов — когда зубы немного сместились после ортодонтического лечения. -Нарушения положения отдельных зубов — повороты, смещения, незначительные наклоны. -Эстетические коррекции — выравнивание передней группы зубов для улучшения улыбки. -Нарушение межзубных контактов — когда зубы неправильно смыкаются при жевании. На фото- 9 месяцев лечения на элайнерах 3d smile, и мы получили улыбку, о которой мечтал пациент ♥️ 💡 Элайнеры 3D Smile особенно хорошо подходят для пациентов, которые хотят провести выравнивание незаметно, комфортно и без ограничений в питании и уходе. Запись на консультацию к стоматологу- +74950030301 Мы находимся по адресу: г. Москва, ул. Зубовский бульвар, д. 15, с. 4

Основные показания к лечению зубов на элайнерах 3D Smile:

-Неровное положение зубов — скученность, перекрытие, «заваленные» зубы.

-Диастемы и тремы — щели между зубами.

-Неправильный прикус лёгкой и средней степени (дистальный, мезиальный, перекрёстный, открытый, глубокий).

-Рецидив после ношения брекетов — когда зубы немного сместились после ортодонтического лечения.

-Нарушения положения отдельных зубов — повороты, смещения, незначительные наклоны.

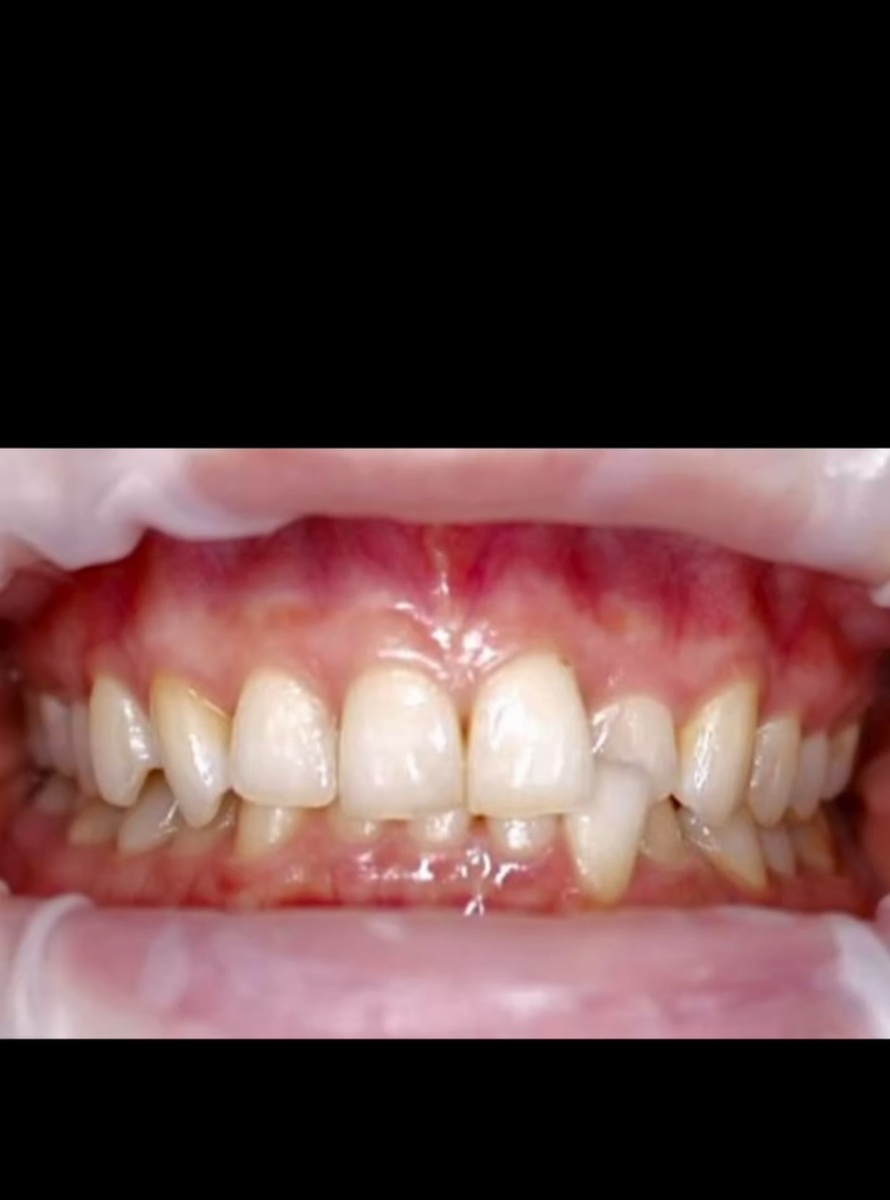
Фото до лечения
Фото до лечения

-Эстетические коррекции — выравнивание передней группы зубов для улучшения улыбки.

-Нарушение межзубных контактов — когда зубы неправильно смыкаются при жевании.

-2

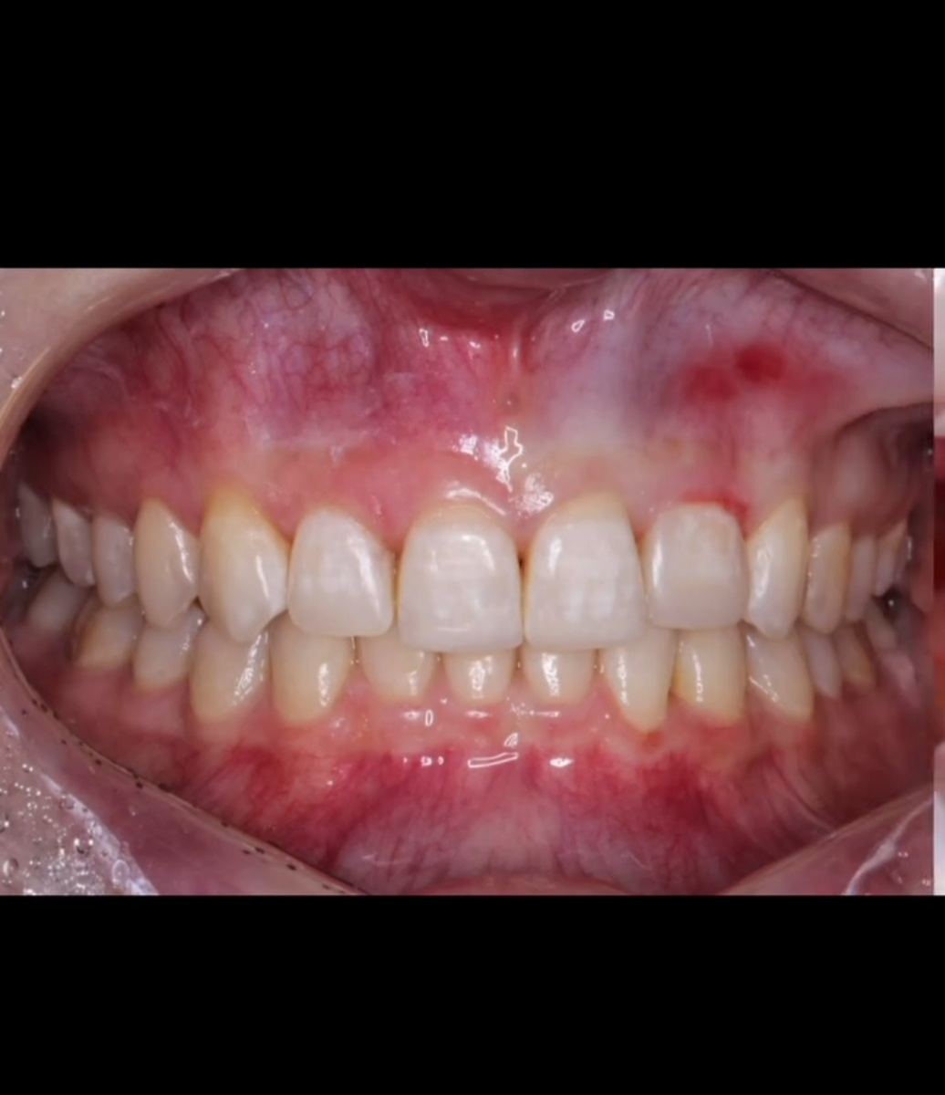
На фото- 9 месяцев лечения на элайнерах 3d smile, и мы получили улыбку, о которой мечтал пациент ♥️

💡 Элайнеры 3D Smile особенно хорошо подходят для пациентов, которые хотят провести выравнивание незаметно, комфортно и без ограничений в питании и уходе.

Запись на консультацию к стоматологу- +74950030301

Мы находимся по адресу: г. Москва, ул. Зубовский бульвар, д. 15, с. 4