Добавить в корзинуПозвонить
Найти в Дзене
KP.RU:Комсомольская правда

После операции в России геофизик из Казахстана обнаружил внутри колена кусок железа

Ерлан Тайкулаков жил с куском железа в колене. Фото: из личного архива героя(ев) публикации. В 2016 году Ерлан Тайкулаков, 34-летний преподаватель геофизики из Казахстана, получил травму левого колена. Повредил переднюю крестообразную связку, медиальный мениск. Ходить трудно, нога, как положено, не сгибается и не разгибается. Проблему нужно было решать, причем срочно. У мужчины на тот момент двое детей: дочка - 4,5 года и сын - 2,5 года. К тому же молодому преподавателю нужно было заботиться об отце-инвалиде и матери-пенсионерке. - С разорванной связкой можно ходить только очень медленно, и то колено может в любой момент выскочить, и придется его вправлять либо самостоятельно, либо в больнице. Мне посоветовали обратиться в клинику НИИТО, говорили, что там работают прекрасные врачи, которые многих поставили на ноги. Я предоставил необходимые документы, и мне назначили операцию на 21 марта 2016 года. Заплатил я за нее около 120 тысяч рублей, и еще 13 тысяч рублей ушло на перелет, - делит
Ерлан Тайкулаков жил с куском железа в колене. Фото: из личного архива героя(ев) публикации.
Ерлан Тайкулаков жил с куском железа в колене. Фото: из личного архива героя(ев) публикации.

В 2016 году Ерлан Тайкулаков, 34-летний преподаватель геофизики из Казахстана, получил травму левого колена. Повредил переднюю крестообразную связку, медиальный мениск. Ходить трудно, нога, как положено, не сгибается и не разгибается. Проблему нужно было решать, причем срочно. У мужчины на тот момент двое детей: дочка - 4,5 года и сын - 2,5 года. К тому же молодому преподавателю нужно было заботиться об отце-инвалиде и матери-пенсионерке.

- С разорванной связкой можно ходить только очень медленно, и то колено может в любой момент выскочить, и придется его вправлять либо самостоятельно, либо в больнице. Мне посоветовали обратиться в клинику НИИТО, говорили, что там работают прекрасные врачи, которые многих поставили на ноги. Я предоставил необходимые документы, и мне назначили операцию на 21 марта 2016 года. Заплатил я за нее около 120 тысяч рублей, и еще 13 тысяч рублей ушло на перелет, - делится цифрами мужчина из Казахстана.

Сумма в пересчете на валюту Казахстана - 700 тысяч теньге - заоблачная. Но состояние Ерлана было тяжелое: левая нога была как ходуля - не сгибалась и не разгибалась. Чтобы поправить здоровье, Ерлан занял деньги у университета. За день до операции мужчина прилетел в Новосибирск.

- Меня сначала даже брать в палату не хотели, говорили: «Все занято». Куда мне было идти? Через полчаса вопрос все-таки был решен. Утром следующего дня меня уже прооперировали, - вспоминает мужчина.

Ерлана выписали из больницы 23 марта со списком рекомендаций, среди которых был и совет о посещении бассейна спустя четыре месяца после вмешательства.

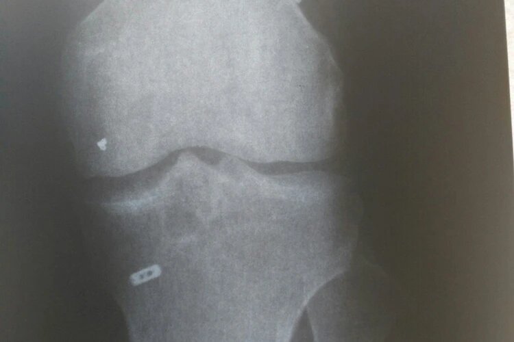
Рентген четко показал расположение, форму и размер инородного тела в колене. Фото: из личного архива героя(ев) публикации.
Рентген четко показал расположение, форму и размер инородного тела в колене. Фото: из личного архива героя(ев) публикации.

- Я следовал всем инструкциям. Записался в бассейн. В первый же день, выйдя из воды после плавания, я почувствовал, что нога до конца не выпрямляется. Я испугался, думал - замерзла, приехал домой, начал отогревать. Старался тренировать - расхаживать, но нога со временем разгибалась все хуже. Был жуткий дискомфорт. Через 10 месяцев после операции я пришел к хирургу в Казахстане. Сделал МРТ - в заключении было написано, что в колене присутствует инородное тело, и связка не исполняет свои функции, как положено, - рассказывает Ерлан.

Мужчина, увидев заключение, не поверил своим глазам. Подумал: «Шутка, что ли, какая-то?» Но рентген окончательно развеял все сомнения. На снимке четко были видны размер, расположение и форма железного кусочка, который 10 месяцев пробыл в ноге мужчины.

- Мне сказали, что это часть хирургического инструмента и что связка не восстановилась. - Голос молодого человека дрожит.

В досудебной претензии Ерлан предложил клинике НИИТО отплатить его лечение и реабилитацию в корейском медицинском центре. На это предварительно потребуется около 20 тысяч долларов, плюс 8,5 тысячи на перелет, проживание и питание. К тому же мужчина оценил причиненный ему материальный и моральный вред в 40 тысяч евро.

- Мне позвонил хирург, который проводил вмешательство, - предложил все исправить, но сказал, что оплачивать перелет никто не будет. К тому же он не гарантировал, что восстановит связку, поэтому я ответил отказом, - признался Ерлан.

Мужчина продолжил жить с постоянной болью и до решения суда извлекать предмет не стал.

Автор: Александра БРУНЯ. Из архива «КП»