Добавить в корзинуПозвонить
Найти в Дзене

КАК ЖИТЬ С РАССЕЯННЫМ СКЛЕРОЗОМ! Часть 1. Общие вопросы

Определение:
Рассеянный склероз — это хроническое аутоиммунное заболевание, при котором иммунная система человека, вместо того чтобы защищать организм от различного вида инфекций, начинает атаковать и разрушать собственный организм, и при этом такое разрушение происходит узко специфично – разрушаются миелиновые оболочки нейронов головного и спинного мозга! Основные понятия заболевания:
Миелиновая оболочка нервов, как обмотка электропровода, окружает отростки нервной клетки и отделает каждый отросток друг от друга в периферическом нерве. Такая изоляция помогает быстро передавать импульс от клетки по его отросткам до места назначения без потери импульса на другие отростки. В местах разрушения миелиновой оболочки происходит её замена на соединительную ткань, которую принято называть «рубцами» или очагами склерозирования и в результата сигнал от «головы» - нервной клетки, не доходит до нужного места – «рук и ног». Очаги склероза формируются на разных участках нервной системы рассеиваясь по

Определение:
Рассеянный склероз — это хроническое аутоиммунное заболевание, при котором иммунная система человека, вместо того чтобы защищать организм от различного вида инфекций, начинает атаковать и разрушать собственный организм, и при этом такое разрушение происходит узко специфично – разрушаются миелиновые оболочки нейронов головного и спинного мозга!

Основные понятия заболевания:
Миелиновая оболочка нервов, как обмотка электропровода, окружает отростки нервной клетки и отделает каждый отросток друг от друга в периферическом нерве. Такая изоляция помогает быстро передавать импульс от клетки по его отросткам до места назначения без потери импульса на другие отростки. В местах разрушения миелиновой оболочки происходит её замена на соединительную ткань, которую принято называть «рубцами» или очагами склерозирования и в результата сигнал от «головы» - нервной клетки, не доходит до нужного места – «рук и ног». Очаги склероза формируются на разных участках нервной системы рассеиваясь по организму в тех местах, где есть нервная ткань – отсюда и название болезни: «рассеянный склероз», когда очаги поражения рассеяны по организму и по срокам их проявления.
При отсутствии «обмотки» нервный импульс передаётся неправильно – медленно и не к положенному органу, в результате нарушается функционирование органа. В первую очередь страдают органы, напрямую находящиеся под управлением центральной нервной системы: зрение, речь, мышление, тонус мышц, мочеиспускание, дефекация.

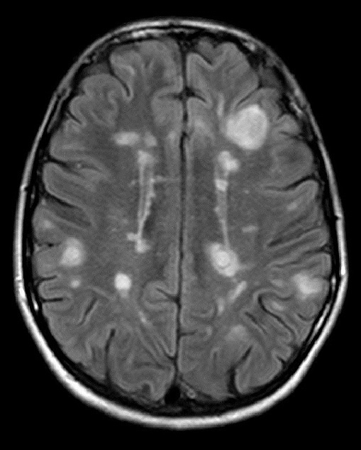
Очаги рассеянного склероза в головном мозге на снимке МРТ
Очаги рассеянного склероза в головном мозге на снимке МРТ

На что надо обратить внимание чтобы заподозрить рассеянный склероз:
Зрительный нерв – отёк диска зрительного нерва; изменения на глазном дне; снижение, а далее и потеря зрения; боль при движении глазами.

Мозжечок - различные нарушения координации движений и прежде всего неустойчивость при ходьбе; изменение почерка — мегалография (буквы становятся аномально крупными); мозжечковая дизартрия с развитием скандированной речи (утрата плавности, ритмичности речи).

Ствол головного мозга - нистагм - непроизвольное движение глаз в горизонтальной плоскости; паралич отдельных групп или всех мышц глаза поражение лицевого нерва со снижением чувствительности одной половины лица; тройничного нерв с развитием боли в половине лица; снижение слуха,

Спинной мозг – нарушение чувствительности на отдельных участках тела; слабость одной руки или ноги, обеих ног, рук, млм руки и ноги вместе с одной стороны тела; симптом Лермитта - ощущение, что по позвоночнику проходит электрический ток при движениях головы особенно при наклоне вперед; нестерпимые позывы к мочеиспусканию, недержание мочи; недержание кала; нарушение координации движений и походки, при котором человек из-за слабости стоп, чтобы не цепляться пальцами стоп за пол, излишне сгибает их в суставах и с силой ставит на пол: «штампующая походка».

Большие полушария головного мозга - когнитивные нарушения: снижение памяти, внимания, скорости мышления; быстрая утомляемость или хроническая усталость; депрессия; реже — тревожность, эйфория; возможны и двигательные расстройства - слабость мышц руки и ноги с одной стороны тела.

Частота встречаемости рассеянного склероза:
Во всём мире рассеянным склерозом страдают около 2,5 миллиона человек. Частота встречаемости составляет в среднем 150-290 человек на 100 000 населения (0,15-0,3%). Риск развития заболевания у детей у женщины, страдающей рассеянным склерозом, составляет 2,35%. Риск развития заболевания у детей у мужчины, страдающего рассеянным склерозом 1,31%. Риск развития заболевания в семье, где оба родителя имеют это заболевание 3,11%. Болезнь чаще развивается у молодых людей от 20 до 40 лет. Частота встречаемости в популяции до 18 лет – не превышает 10%, в возрасте до 16 лет не превышает 5%, возрасте до 10 лет – менее 1%.

Причины рассеянного склероза:
Генетические причины - рассеянный склероз не наследственное заболевание, но среди заболевших частота встречаемости болезни все же выше.

Этническая принадлежность - наиболее часто заболевание встречается у представителей кавказкой (белой) расы. Другие расы страдают этим заболеванием два раза реже. У представителей монголоидной расы рассеянный склероз в общепринятом виде не встречается вообще, за исключение формы с поражение органа зрения.

Половая принадлежность - женщины страдают рассеянным склерозом в 2.5 раза чаще мужчин.

Вирус Эпштейн-Барра - возможность заболеть рассеянным склерозом после перенесённого заболевания от данного вируса составляет до 94% и во многом это связно с распространенность данного вируса в человеческой популяции. Наличие в крови антител к данному вирусу без клинический проявлений рассеянного склероза не является основанием для тревоги.

Курение - табака увеличивает шанс заболеть рассеянным склерозом в 1,5 раза.

Географическая широта проживания - люди, проживающие в северных широтах умеренной климатической зоны, страдают рассеянным склерозом чаще, чем люди, живущие южнее.

Витамин Д - поддержание высокого уровня витамина Д (25-ОН) позволяет снизить риск развития рассеянного склероза на 40%.

Главная задача при лечении рассеянного склероза:
Замедление течения рассеянного склероза!

Способ достижения: Прием препаратов изменяющие течение рассеянного склероза (ПИТРС), с помощью которых уменьшается частота обострений, замедляется прогрессирования заболевания и уменьшается количество нарушений работы нервной системы, приводящих к ограничениям жизнедеятельности и инвалидности.
Способ контроля: Достижение состояния отсутствия подтверждений активности заболевания (NEDA -3) по трём компонентам: отсутствие новых очагов на МРТ в течение 1 года, отсутствие новых рецидивов, отсутствие изменений в расширенной шкале оценки степени инвалидизации (EDSS).

Направления в развитии лечебного процесса рассеянного склероза:
Добиться подавления процесса разрушения миелина - демиелинизации и усилить процессы восстановления миелина – ремиелинизации.

Первое направление - усиления активности сохранившихся в очагах демиелинизации «старых» олигодендроцитов – клеток, восстанавливающих миелин. Этот способ основан на том, что миелин образуется олигодендроцитами и в очаге демиелинизации, где часть олигодендроцитов погибает, остаются неповрежденные ткани, они - то и сохраняют процесс восстановления миелина от границ очага в сторону пораженного участка.

Второе направление - усиление возникновения новых, условно «молодых» олигодендроцитов из предшественников.
Эти два направления связаны с применением препаратов, которые либо могут стимулировать имеющиеся олигодендроциты для синтеза миелина, либо усиливать образование новых олигодендроцитов.
Поиск таких препаратов активен и на сегодня проводится множество клинических исследований:

Третье направление - борьба с аутоиммунный причиной заболевания с воздействием на определенные подтипы иммунных клеток как разрушающих, так и восстанавливающих миелин. и достижения устойчивой ремиссии за счет баланса поражения – демиелинизации и восстановления - ремиелинизации.
Поиск таких препаратов активен и на сегодня проводится множество клинических исследований.

Четвертое направление - активизация нейронов с поражёнными отростками – аксонами, которые лишились миелина, в направлении сохранения активности этих аксонов, поскольку если пораженные аксоны продолжает быть активными, то оставшиеся неповрежденными или новые формирующиеся олигодендроциты пытаются в первую очередь восстановить миелин именно для этих еще функционирующих отростков.
Методика достижения - вовлечение различных групп мышц для выполнения как простых двигательных актов, так и сложных, с задействованием одновременно здоровых и пораженных мышц. Это направление лечебной физкультура восстановительного и тренировочного уровня по-современному называемая нейрореабилитацией, где правильно подобранные реабилитационные комплексы лечебной физкультуры позволяют улучшить нарушенные функции, а основу таких улучшений составляет активизация ремиелинизации.
Активно развивающееся направление восстановительного лечения при рассеянном склерозе на сегодняшний день.

-2