Найти в Дзене
Прайм-Стоматология

Как обрести голливудскую улыбку, но сохранить естественность

Многие пациенты ПРАЙМа признаются своему доктору на приёме, что они стесняются улыбаться из-за неидеального цвета зубов, промежутков между ними или неровных режущих краёв. Даже при здоровой полости рта такие эстетические недостатки могут снижать уверенность в себе и мешать свободно выражать эмоции. Современная стоматология предлагает элегантное и надёжное решение — керамические виниры. Тонкие, но прочные керамические накладки не просто маскируют дефекты: они создают гармоничную, красивую улыбку, которая выглядит максимально естественно. Подобная история произошла и с нашей пациенткой Ольгой, которой не нравились форма и цвет её зубов. 🗣«Мне хотелось бы более белые зубы и улыбку в американском стиле — но без излишней «наигранности»», — так звучали её пожелания. После тщательной диагностики и совместного обсуждения целей было принято решение о проведении не только эстетической, но и функциональной реабилитации. Работа началась с детального ортопедического планирования, за которым после

Многие пациенты ПРАЙМа признаются своему доктору на приёме, что они стесняются улыбаться из-за неидеального цвета зубов, промежутков между ними или неровных режущих краёв. Даже при здоровой полости рта такие эстетические недостатки могут снижать уверенность в себе и мешать свободно выражать эмоции.

Современная стоматология предлагает элегантное и надёжное решение — керамические виниры. Тонкие, но прочные керамические накладки не просто маскируют дефекты: они создают гармоничную, красивую улыбку, которая выглядит максимально естественно.

Одна красивая улыбка с помощью керамических виниров.
Одна красивая улыбка с помощью керамических виниров.

Подобная история произошла и с нашей пациенткой Ольгой, которой не нравились форма и цвет её зубов.

🗣«Мне хотелось бы более белые зубы и улыбку в американском стиле — но без излишней «наигранности»», — так звучали её пожелания.

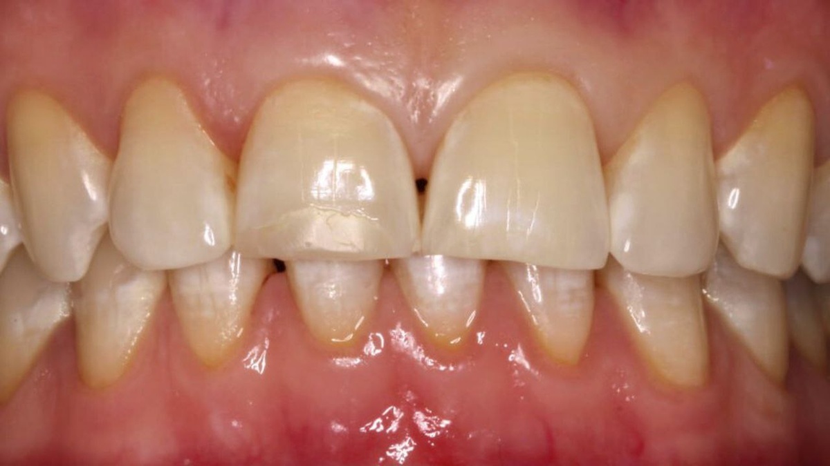
Фото ротовой полости нашей пациентки на момент обращения в клинику.
Фото ротовой полости нашей пациентки на момент обращения в клинику.

После тщательной диагностики и совместного обсуждения целей было принято решение о проведении не только эстетической, но и функциональной реабилитации.

Работа началась с детального ортопедического планирования, за которым последовал подготовительный этап, включающий в себя удаление зубов мудрости, эндодонтическое лечение и замену несостоятельных пломб. Всё это необходимо для создания прочного фундамента под будущие реставрации.

До и после.
До и после.

Завершился проект фиксацией 28 единиц керамических реставраций на рефракторе — технологии, позволяющей достичь максимальной точности при установке и воссоздать анатомически правильную форму зубов.

Результат превзошёл все ожидания Ольги: её улыбка приобрела естественный белоснежный оттенок и характерную для здоровой эмали полупрозрачность на режущих краях, что делает реставрации абсолютно неотличимыми от родных зубов — даже при близком рассмотрении.

🗣«Мне теперь все говорят: „Какая красивая улыбка — мы раньше её просто не замечали!“ — поделилась наша пациентка. — Теперь я хочу улыбаться гораздо чаще!»

Результат, который превзошёл все ожидания нашей пациентки!
Результат, который превзошёл все ожидания нашей пациентки!

Работу выполнил ведущий врач-стоматолог ортопед, специалист по сложной эстетической реабилитации, зубной техник ПРАЙМа Лихов Денис Вячеславович.

Если Вы тоже давно мечтаете открыто улыбаться без стеснения, то записывайтесь на консультацию к профессионалам в ПРАЙМ— (4912)292-000.

_________________________________

Наши клиники в г. Рязань:

Есенина, 110

Советской армии, 9

Бирюзова, 28а

Интернациональная, 23

Полетаева, 34 (клиника корпоративного университета)

https://www.prime-med.ru/