Добавить в корзинуПозвонить
Найти в Дзене
МедСевен

Пример МРТ малого таза

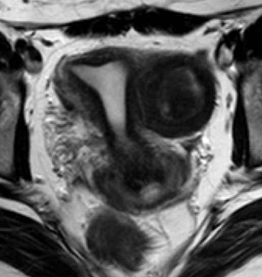
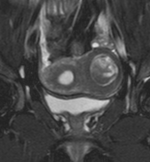
Пациентка 26 лет с клиникой остро возникших тазовых болей. Результаты УЗИ органов малого таза - тубоовариальный абсцесс, гидросальпинкс, внематочная беременность, эндометриоидная киста. По результатам УЗИ-данных и клинической картины пациентке выполнена диагностическая лапаротомия на основание которой выставлен диагноз - интрамуральная миома матки. После лапаротомия пациентка направлена на МРТ органов малого таза. На МР-изображениях в левом ребре матки определяется интрамуральное объемное образование округлой формы с жидкостным содержимым гипо- и гиперинтенсивного МР-сигнала на T2 и T2 SPIR ВИ (рис. А и Б соответственно) и однородно гиперинтенсивного сигнала на T1 и T1 с подавлением сигнала от жировой ткани ВИ (рис. В и Г соответственно). МР-картина соответствует миоме матки с внутриузловым кровоизлиянием.

Пациентка 26 лет с клиникой остро возникших тазовых болей.

Результаты УЗИ органов малого таза - тубоовариальный абсцесс, гидросальпинкс, внематочная беременность, эндометриоидная киста.

-2

По результатам УЗИ-данных и клинической картины пациентке выполнена диагностическая лапаротомия на основание которой выставлен диагноз - интрамуральная миома матки. После лапаротомия пациентка направлена на МРТ органов малого таза.

-3

На МР-изображениях в левом ребре матки определяется интрамуральное объемное образование округлой формы с жидкостным содержимым гипо- и гиперинтенсивного МР-сигнала на T2 и T2 SPIR ВИ (рис. А и Б соответственно) и однородно гиперинтенсивного сигнала на T1 и T1 с подавлением сигнала от жировой ткани ВИ (рис. В и Г соответственно). МР-картина соответствует миоме матки с внутриузловым кровоизлиянием.

-4
МедСевен