Добавить в корзинуПозвонить
Найти в Дзене

Что делать с дистопированными клыками?

Клинический случай: дистопированные клыки и перекрёстный прикус 👇🏻 Сегодня расскажем о случае, где ортодонтическое лечение помогло не только выровнять зубы, но и полностью изменить эстетику улыбки После консультации врача-ортодонта было выявлены: • Перекрёстный прикус • Дистопированные клыки  (клыки, которые неправильно расположены в зубном ряду, например, повернуты вокруг оси или наклонены в сторону)  • Смещение средней линии • Суженный зубной ряд Мы провели лечение с помощью брекет-системы Damon Q и добились идеального результата 😍 Этот случай показывает, что даже сильно смещённые зубы можно вернуть в идеальное положение при грамотном ортодонтическом подходе. Брекеты — это не только про эстетику, но и про здоровье и функциональность прикуса! Дли записи на консультацию к врачу-ортодонту пишите в личные сообщения 💬 ⭐️ Рейтинг 5,0 на Яндекс.Картах  📍 Владимирский проспект, 7 📞 +7 921 399-41-17

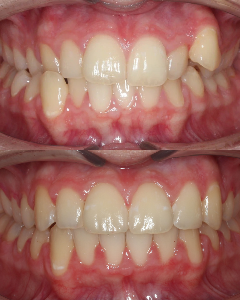
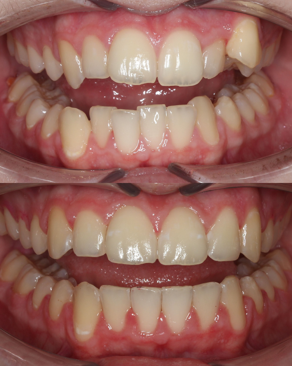
Клинический случай: дистопированные клыки и перекрёстный прикус 👇🏻

Сегодня расскажем о случае, где ортодонтическое лечение помогло не только выровнять зубы, но и полностью изменить эстетику улыбки

После консультации врача-ортодонта было выявлены:

• Перекрёстный прикус

• Дистопированные клыки 

(клыки, которые неправильно расположены в зубном ряду, например, повернуты вокруг оси или наклонены в сторону) 

• Смещение средней линии

• Суженный зубной ряд

До/после ортодонтическое лечение
До/после ортодонтическое лечение

Мы провели лечение с помощью брекет-системы Damon Q и добились идеального результата 😍

Этот случай показывает, что даже сильно смещённые зубы можно вернуть в идеальное положение при грамотном ортодонтическом подходе. Брекеты — это не только про эстетику, но и про здоровье и функциональность прикуса!

Дли записи на консультацию к врачу-ортодонту пишите в личные сообщения 💬

До/после
До/после

⭐️ Рейтинг 5,0 на Яндекс.Картах 

📍 Владимирский проспект, 7

📞 +7 921 399-41-17