Добавить в корзинуПозвонить
Найти в Дзене
Екатерина Ляпина

Удаление зубов - зло

Удаление зубов - зло! Именно это глупое утверждение опровергает данный случай! Пациент достался мне на долечивание от другого ортодонта - Магомадова И.В. Мы с доктором учились в одной ординатуре, поэтому наши планы лечения полностью совпали 💯 Именно благодаря правильному изначальному плану - удалить 4 премоляра - мы получили оптимальный эстетический и функциональный результат 🌸

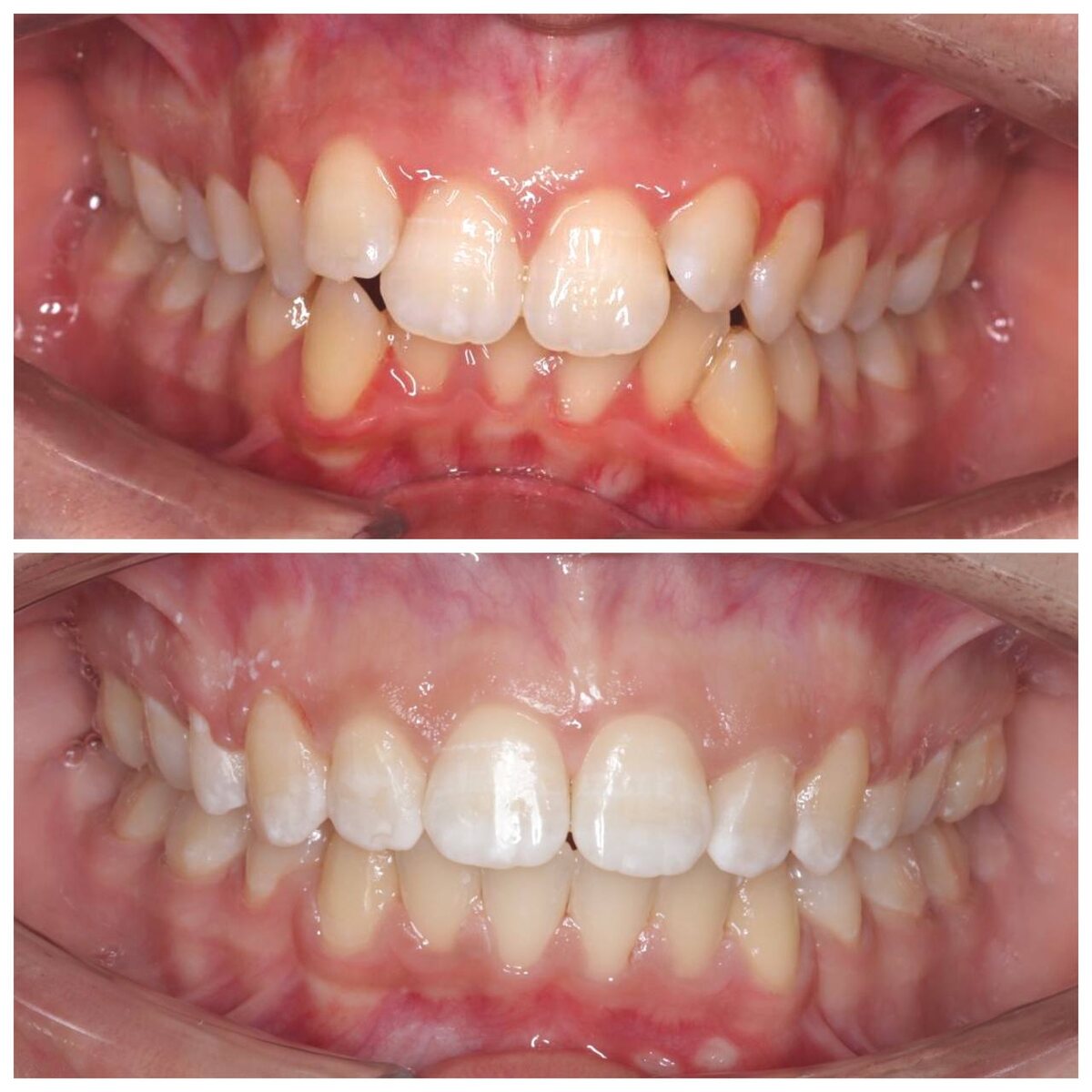
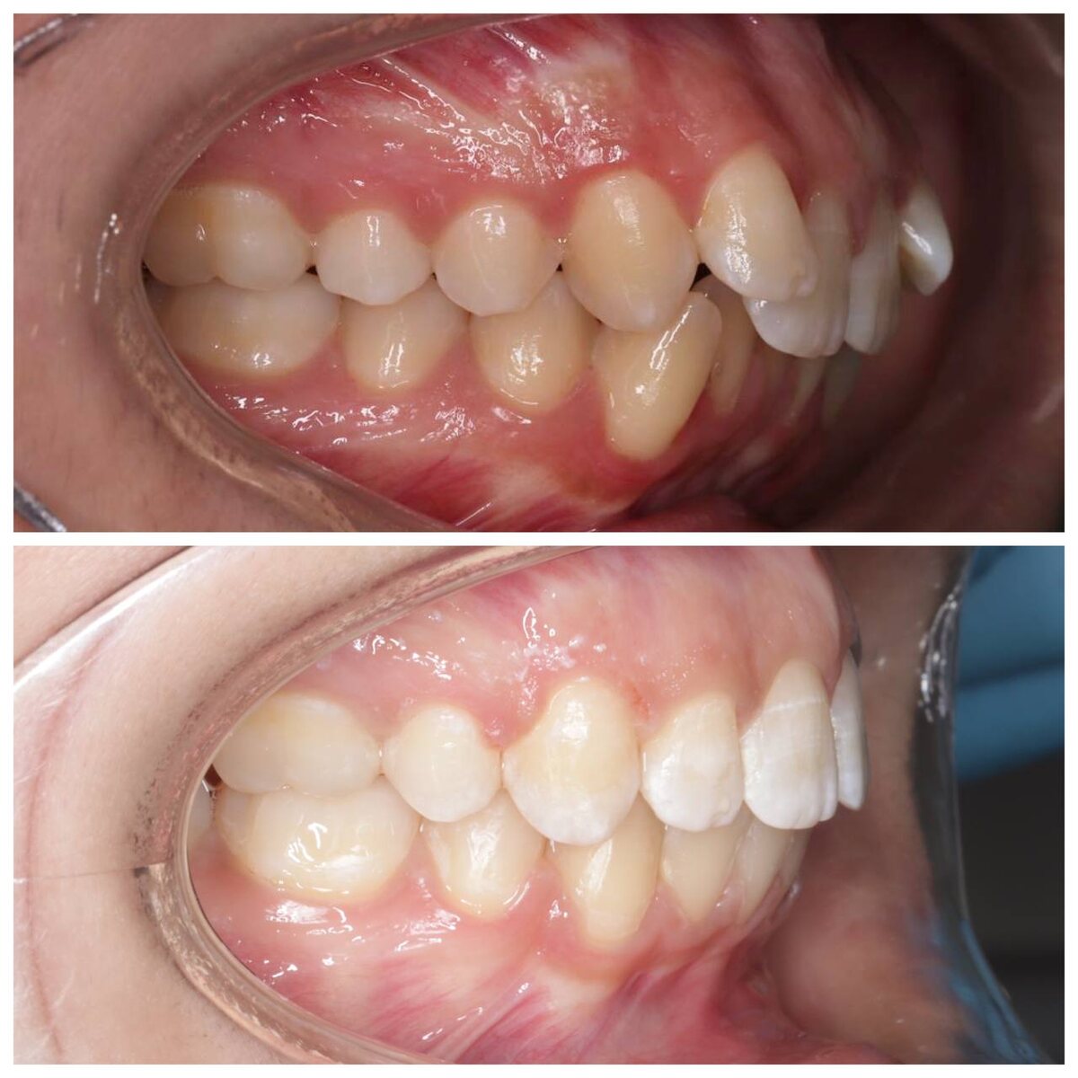
Удаление зубов - зло!

Именно это глупое утверждение опровергает данный случай!

Пациент достался мне на долечивание от другого ортодонта - Магомадова И.В. Мы с доктором учились в одной ординатуре, поэтому наши планы лечения полностью совпали 💯

Именно благодаря правильному изначальному плану - удалить 4 премоляра - мы получили оптимальный эстетический и функциональный результат 🌸

-2