Добавить в корзинуПозвонить
Найти в Дзене

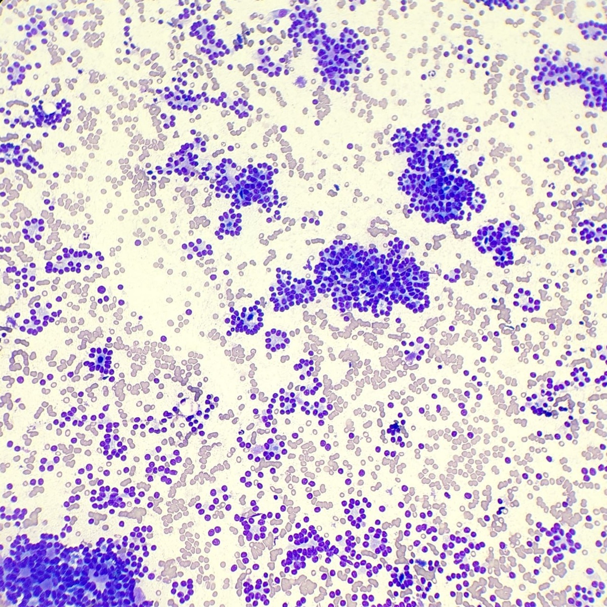
Тонкоигольная аспирационная биопсия (ТАБ) щитовидной железы: фолликулярная опухоль, категория IV по системе Bethesda

Тонкоигольная аспирационная биопсия (ТАБ) щитовидной железы: фолликулярная опухоль, категория IV по системе Bethesda #щитовиднаяжелеза #цитология

Тонкоигольная аспирационная биопсия (ТАБ) щитовидной железы: фолликулярная опухоль, категория IV по системе Bethesda

#щитовиднаяжелеза #цитология

-2