Добавить в корзинуПозвонить
Найти в Дзене
Два Дантиста

Комплексный подход к восстановлению улыбке — лучшее решение для эффективного результата

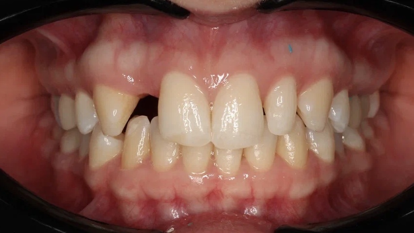
Пациентка обратилась в клинику «Два Дантиста» с жалобой на внешний вид улыбки. Хотелось красивые и гармоничные зубные ряды.  После диагностики и консультации с несколькими специалистами было принято решение пройти комплексное восстановление с исправлением прикуса и реставрацией передних зубов.   Этап 1. Ортодонтическое восстановление  Пациентке составили индивидуальный план выравнивания зубного ряда. В течение нескольких месяцев зубы постепенно приводились в нужное положение, корректировался прикус, улучшалась функциональность и базовая геометрия улыбки. По завершении ортодонтического этапа был достигнут устойчивый и предсказуемый результат, который позволил точно спланировать работу для установки виниров. Этап 2. Реставрация передних зубов винирами После снятия слепков и подготовки зубов на передние зубы верхней челюсти было изготовлено 10 керамических виниров. Конструкции подобрали по форме и цвету, чтобы создать естественную, гармоничную улыбку, максимально близкую к природным зу

Пациентка обратилась в клинику «Два Дантиста» с жалобой на внешний вид улыбки. Хотелось красивые и гармоничные зубные ряды. 

После диагностики и консультации с несколькими специалистами было принято решение пройти комплексное восстановление с исправлением прикуса и реставрацией передних зубов.  

-2

Этап 1. Ортодонтическое восстановление

 Пациентке составили индивидуальный план выравнивания зубного ряда. В течение нескольких месяцев зубы постепенно приводились в нужное положение, корректировался прикус, улучшалась функциональность и базовая геометрия улыбки.

-3

По завершении ортодонтического этапа был достигнут устойчивый и предсказуемый результат, который позволил точно спланировать работу для установки виниров.

Этап 2. Реставрация передних зубов винирами После снятия слепков и подготовки зубов на передние зубы верхней челюсти было изготовлено 10 керамических виниров. Конструкции подобрали по форме и цвету, чтобы создать естественную, гармоничную улыбку, максимально близкую к природным зубам пациентки. Перед установкой проводилась минимальная шлифовка поверхности зубов и примерка каждого винира для идеальной посадки. Затем виниры были финально закреплены и отполированы для естественного блеска и комфорта прикуса.

-4

Результат

  • Эстетика: ровная, гармоничная улыбка с единым оттенком и плавными контурами. Зубы выглядят естественно и сочетаются с общим цветом лица.
  • Функциональность: нормализовался контакт между верхней и нижней челюстью и жевательная функция после коррекции прикуса.
  • Удовлетворенность пациентки: повысилась уверенность в улыбке, приятно ощущать комфорт во время разговоров и улыбок.

Если вы рассматриваете комплексный подход восстановления улыбки, от лечения зубов до реставрации, ждем вас в нашей клинике — мы подробно обсудим ваши цели, возможности и составим персональный план лечения.

Записаться в нашу стоматологию можно через сайт или по тел. +7 (931) 002-03-17