Добавить в корзинуПозвонить
Найти в Дзене

Как мы вернули клык на место?

Командная работа: как мы вернули «заблудившийся» клык на место у взрослой пациентки Коллеги, друзья, пациенты! Как главный врач, я горжусь, когда в нашей клинике реализуются такие комплексные случаи. Хочу рассказать вам об одном из них — истории, которая длилась почти три года и завершилась блестящим результатом благодаря слаженной работе команды. Исходная ситуация: К ортодонту нашей клиники обратилась пациентка 21 года. Её беспокоил молочный клык, который так и не сменился постоянным. Диагностика выявила ретенцию — постоянный клык был скрыт в костной ткани и располагался в нёбе. Случай требовал продуманного плана и совместных усилий специалистов. Наш подход к лечению: Мы приняли решение не об удалении, а о возвращении естественного зуба в зубной ряд. Лечение заняло 2 года и 9 месяцев и включало два ключевых этапа: 1. Хирургический этап: Наш хирург аккуратно обнажил коронку ретинированного клыка через нёбный доступ, минимизируя вмешательство. 2. Ортодонтический этап: Ортодонт бережн

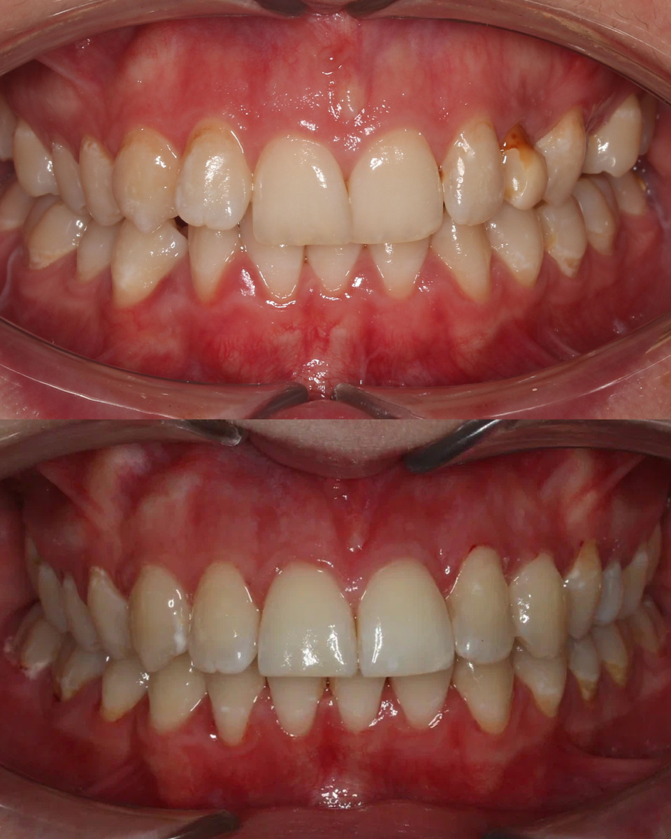
Командная работа: как мы вернули «заблудившийся» клык на место у взрослой пациентки

Коллеги, друзья, пациенты! Как главный врач, я горжусь, когда в нашей клинике реализуются такие комплексные случаи. Хочу рассказать вам об одном из них — истории, которая длилась почти три года и завершилась блестящим результатом благодаря слаженной работе команды.

Исходная ситуация: К ортодонту нашей клиники обратилась пациентка 21 года. Её беспокоил молочный клык, который так и не сменился постоянным. Диагностика выявила ретенцию — постоянный клык был скрыт в костной ткани и располагался в нёбе. Случай требовал продуманного плана и совместных усилий специалистов.

Наш подход к лечению: Мы приняли решение не об удалении, а о возвращении естественного зуба в зубной ряд. Лечение заняло 2 года и 9 месяцев и включало два ключевых этапа:

1. Хирургический этап: Наш хирург аккуратно обнажил коронку ретинированного клыка через нёбный доступ, минимизируя вмешательство.

2. Ортодонтический этап: Ортодонт бережно, шаг за шагом, с помощью брекет-системы переместила зуб в правильное положение. Этот процесс требовал высокой точности и терпения.

Результат: Собственный клык пациентки занял своё законное место в зубном ряду! Мы сохранили натуральный зуб, восстановили эстетику и функциональность.

-2

Как руководитель, я ценю вклад каждого участника процесса.

Этот результат — наглядное доказательство того, что современная стоматология позволяет решать сложные задачи прогнозируемо и успешно.

С уважением,

Doc_Verkhovod

Главный врач ЛИКС ДЕНТ