Добавить в корзинуПозвонить
Найти в Дзене
MY ORT

Как поставить брекеты без отказа от путешествий. Реальный случаи

А вы знали, что современное ортодонтическое лечение уже давно перестало быть чем-то неудобным и ограничивающим? Сегодня ортодонтическое лечение можно проходить без отрыва от привычного ритма жизни: путешествовать, работать удаленно и оставаться активным человеком. Я, врач-ортодонт, гнатолог, расскажу вам клинический случай пациентки, которая любит часто путешествовать и не ограничивать себя. Как проходило ортодонтическое лечение на брекетах и какого результата удалось добиться. Ко мне обратилась молодая женщина 28 лет, ведущая активный образ жизни. Пациентка работает удаленно, часто путешествует, любит новые впечатления и ценит свободу привычного образа жизни. Несмотря на занятость и постоянные переезды, она нашла время для ортодонтического лечения, чтобы выровнять зубы и улучшить эстетику улыбки. Пациентку беспокоили неровное положение зубов и эстетический дискомфорт при улыбке. Из-за этого пациентка старалась меньше улыбаться, даже в компании друзей. Чтобы оценить не только состояние
Оглавление

А вы знали, что современное ортодонтическое лечение уже давно перестало быть чем-то неудобным и ограничивающим? Сегодня ортодонтическое лечение можно проходить без отрыва от привычного ритма жизни: путешествовать, работать удаленно и оставаться активным человеком. Я, врач-ортодонт, гнатолог, расскажу вам клинический случай пациентки, которая любит часто путешествовать и не ограничивать себя. Как проходило ортодонтическое лечение на брекетах и какого результата удалось добиться.

Жалобы пациентки

Ко мне обратилась молодая женщина 28 лет, ведущая активный образ жизни. Пациентка работает удаленно, часто путешествует, любит новые впечатления и ценит свободу привычного образа жизни. Несмотря на занятость и постоянные переезды, она нашла время для ортодонтического лечения, чтобы выровнять зубы и улучшить эстетику улыбки.

Пациентку беспокоили неровное положение зубов и эстетический дискомфорт при улыбке. Из-за этого пациентка старалась меньше улыбаться, даже в компании друзей.

Диагностика

Чтобы оценить не только состояние беспокоящих зубов, но и всей зубочелюстной системы, я провела комплексное обследование:

  • конусно-лучевую КТ черепа,
  • анализ диагностических моделей,
  • фотометрию,
  • оценку положения височно-нижнечелюстных суставов.

В результате обследования у пациентки я обнаружила: скелетный мезиальный прикус, тонкий биотип десны, перекрестный прикус, бипротрузию (состояние, при котором верхние и нижние передние зубы наклонены вперед), а также повышенную стираемость зубов.

Такая клиническая картина требует комплексного подхода: важно учитывать не только эстетику будущей улыбки, но и функциональный баланс всей зубочелюстной системы.

Как проходило лечение

Мы вместе с пациенткой обсудили индивидуальный план лечения с учетом результатов диагностики. Пациентке была установлена брекет-система Damon Q. Для создания необходимой опоры на одном из этапов лечения также был установлен мини-винт. Он помог более точно контролировать перемещение зубов и сделать лечение более предсказуемым.

Damon Q — это безлигатурная брекет-система, в которой дуга фиксируется без дополнительных лигатур и свободно перемещается в пазе. Система имеет округлую форму без острых углов, компактные размеры и менее заметна на зубах, что было важно для пациентки.

Общая продолжительность лечения составляла 21 месяц, из которых 4 месяца пациентка находилась за границей. На этот период мы составили подробные рекомендации по уходу за полостью рта и поддержанию гигиены.

Рекомендации по уходу

После установки брекетов я рекомендовала пациентке чистить зубы после каждого приема пищи. Также использовать специальную ортодонтическую щетку с выемкой по центру, чтобы очищать зубы и элементы брекет-системы. И конечно использовать ирригатор для удаления налета и остатков пищи из-под дуги и между зубами, а после чистки полоскать рот ополаскивателем.

Результаты лечения

Брекеты показали себя надежными — не отклеились, несмотря на перелёты, смену климата и употребление деликатесов. Пациентка отмечала, что могла питаться достаточно комфортно, соблюдая мои рекомендации по аккуратному приему пищи и уходу за брекетами.

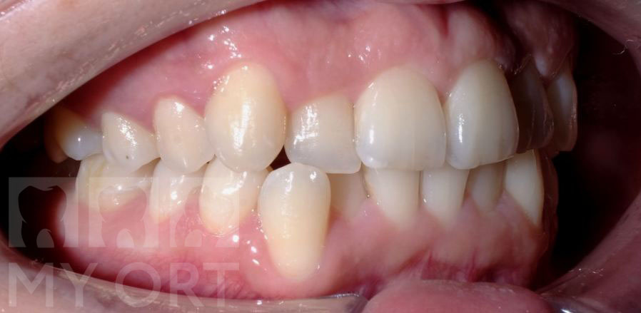
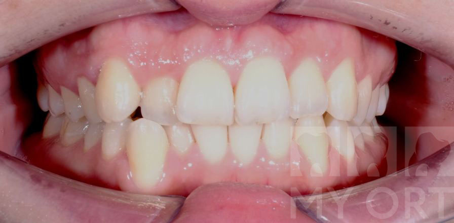
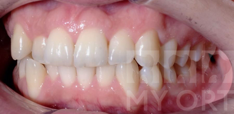
Посмотрите, что у нас получилось:

Нам удалось добиться ровного и стабильного положения зубов, восстановить гармонию прикуса, улучшить работу височно-нижнечелюстных суставов, а также снизить выраженность симптомов бруксизма. Дополнительную точность перемещения зубов обеспечило использование мини-винта, что помогло добиться запланированного результата.

Улыбка стала более естественной и гармоничной. Пациентка отмечает, что теперь улыбается свободнее и увереннее, не испытывая прежнего дискомфорта.

Выводы

Активный образ жизни, путешествия и даже длительные поездки не являются препятствием для качественного ортодонтического лечения. При грамотном планировании и внимательном уходе можно добиться устойчивого, функционального и эстетически гармоничного результата, не меняя привычный образ жизни.

Как проходило ваше ортодонтическое лечение? Каких результатов удалось добиться, и остались ли вы ими довольны? Если у вас есть вопросы, задавайте их в комментариях.

Автор статьи: Лукина Анастасия Александровна — врач-ортодонт, гнатолог сети клиник MY ORT