Найти в Дзене
Два Дантиста

Нормализовали прикус и вернули красоту улыбке с помощью виниров

Пациентка обратилась в клинику «Два Дантиста» с жалобой на внешний вид зубов, хотелось свежей и красивой улыбки. После консультации и диагностики было принято решение, что для достижения цели необходимо не просто сделать улыбку красивой, но и вернуть гармоничный прикус и полноценную функциональность челюсти. Исправление прикуса Перед тотальной реставрацией, было проведено тщательное исследование окклюзии и височно-нижнечелюстного сустава. После пациент прошел ортодонтическое лечение вместе с Гутариной Анной Анатольевной, стоматологом-ортодонтом: была восстановлена высота прикуса, баланс контактов верхней и нижней челюсти. По завершению прикус стабилизировали с помощью ретейнеров — тонкой металлической проволоки, которая крепится к внутренней поверхности зубов от клыка до клыка. Они предотвращают смещение зубов обратно в прежнее положение, помогая тканям и костям адаптироваться к новым условиям. Целью этого этапа было исключить излишнюю нагрузку на будущие виниры и обеспечить прочную

Пациентка обратилась в клинику «Два Дантиста» с жалобой на внешний вид зубов, хотелось свежей и красивой улыбки. После консультации и диагностики было принято решение, что для достижения цели необходимо не просто сделать улыбку красивой, но и вернуть гармоничный прикус и полноценную функциональность челюсти.

Исправление прикуса

-2

Перед тотальной реставрацией, было проведено тщательное исследование окклюзии и височно-нижнечелюстного сустава. После пациент прошел ортодонтическое лечение вместе с Гутариной Анной Анатольевной, стоматологом-ортодонтом: была восстановлена высота прикуса, баланс контактов верхней и нижней челюсти.

-3

По завершению прикус стабилизировали с помощью ретейнеров — тонкой металлической проволоки, которая крепится к внутренней поверхности зубов от клыка до клыка. Они предотвращают смещение зубов обратно в прежнее положение, помогая тканям и костям адаптироваться к новым условиям.

Целью этого этапа было исключить излишнюю нагрузку на будущие виниры и обеспечить прочную, функциональную основу для будущей реставрации. 

Установка виниров

-4

Стоматолог-ортопед Лукьяненко Артур Викторович совместно с пациентом подобрали оптимальный оттенок и форму зубов, чтобы после установки виниров улыбка выглядела естественно и гармонично. Для тотальной реставрации были выбраны керамические виниры — прочные, эстетичные и воспроизводящие естественную прозрачность зубной эмали. Подготовка зубов была минимальной: щадящая шлифовка поверхностей и создание идеальной основы под керамику, чтобы сохранить как можно больше естественной структуры зуба. С подготовленных зубов были сняты отписки, отправлены в лабораторию для изготовления конструкций, после готовые виниры были зафиксированы на зубах.

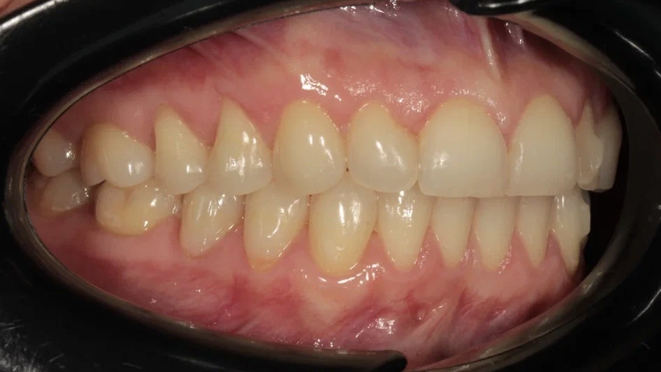
Результат

-5

После завершения лечения улыбка пациента стала заметно ярче и ровнее, а форму зубов можно было бы назвать природной: без видимых дефектов, с гармоничным оттенком и естественным блеском. Восстановление прикуса, выполненное заранее, обеспечило стабильную функциональность челюсти и снизило риск перегрузки виниров. Пациент отметил улучшение произношения, уверенность при улыбке и повышение самооценки в повседневной жизни.

Записаться в нашу стоматологию можно через сайт или по тел. +7 (931) 002-03-17