Добавить в корзинуПозвонить
Найти в Дзене
Parodoctor

Поддесневые зубные отложения - невидимая причина пародонтита, на которую не все обращают внимание

«Жуть! - говорит пациент. - Четыре визита по два часа на гигиену. Это ошибка, у меня же ничего такого нет! Я регулярно хожу на чистку». Жуть, вот уж действительно. Но не в расписании визитов, а во всём остальном. Например в том, что при поверхностно чистых зубах под десной скрывается нечто иное - хроническое воспаление, поддесневые зубные отложения, кость разрушается. Если вы ходите на гигиену раз в полгода, но дёсны всё равно кровоточат, запах не проходит, а зубы подвижны - значит, что-то делается не так. Причина - поддесневые зубные отложения. Такие камни прячутся под линией десны, их мы точно обнаружим в патологических пародонтальных карманах. Всё начинается с микробной биоплёнки - мягкого липкого налёта, который эффективно возможно удалить щёткой или ирригатором только в первые три дня после его образования. А как забраться щёткой под десну? Если карман глубже 4 мм, то уже никак. Со временем биоплёнка уплотняется, пропитывается минералами из слюны и превращается в то, что все на
Оглавление

«Жуть! - говорит пациент. - Четыре визита по два часа на гигиену. Это ошибка, у меня же ничего такого нет! Я регулярно хожу на чистку».

Жуть, вот уж действительно. Но не в расписании визитов, а во всём остальном. Например в том, что при поверхностно чистых зубах под десной скрывается нечто иное - хроническое воспаление, поддесневые зубные отложения, кость разрушается.

Если вы ходите на гигиену раз в полгода, но дёсны всё равно кровоточат, запах не проходит, а зубы подвижны - значит, что-то делается не так.

Причина - поддесневые зубные отложения.

Что такое поддесневые зубные отложения и почему их не видно

Такие камни прячутся под линией десны, их мы точно обнаружим в патологических пародонтальных карманах. Всё начинается с микробной биоплёнки - мягкого липкого налёта, который эффективно возможно удалить щёткой или ирригатором только в первые три дня после его образования. А как забраться щёткой под десну? Если карман глубже 4 мм, то уже никак.

Со временем биоплёнка уплотняется, пропитывается минералами из слюны и превращается в то, что все называют зубной камень. И, если наддесневые зубные отложения портят вид и способствуют развитию кариеса, то поддесневые разрушают периодонтальную связку, которая удерживает зуб в костной лунке. Иммунная система видит в поддесневых отложениях чужака и включает реакцию воспаления. А воспаление в пародонте - прямой путь к убыли кости и подвижности зубов.

Как врач понимает, что под десной находятся зубные отложения

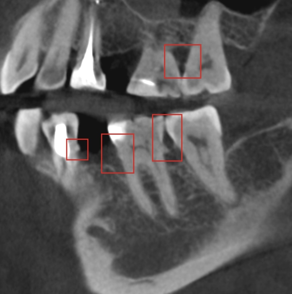
Вообще, опытный гигиенист и пародонтолог видят отложения по косвенным причинам - покраснение, синюшность дёсен, отёчность, лакированный блеск, проблемы с десневыми сосочками (они могут быть сплющенными, могут быть чрезмерно объёмными). Иногда не нужно даже залезать под десну - достаточно сделать КТ:

Поддесневые зубные отложения
Поддесневые зубные отложения

На снимке видно корни, а между ними - острые, довольно ровные “шипики”.
Это не анатомия коня такая, это и есть
минерализованный камень.

Если они видны на КТ, значит, плотность у них сопоставима с плотностью корня.

А вокруг этого плотного остова всегда есть более мягкие отложения, которые томограф, пока что, не видит. Но это вопрос времени.

Камни не обязательно проявляют себя ярко, иногда они сглажены визуально. Но они точно заметны, на корнях не должно быть наростов:

Поддесневые зубные отлоения
Поддесневые зубные отлоения

Не видят врачи? Организм их видит прекрасно и не успокаивается, пока проблема не решена - воспаление остаётся (оно не всегда ярко протекает, вялотекущее встречается чаще), кость убывает, дёсны опускаются, а зубы становятся всё подвижнее.

-3

Почему “щадящие” процедуры не работают

Сколько раз приходилось слышать: - «Мне же делали чистку Вектором, я хожу регулярно!» Да, Вектор - нормальная технология. Но только тогда, когда все поддесневые зубные отложения уже убраны.

Если корни зубов покрыты камнями, Вектор не спасёт. Он не уберёт плотные минерализованные отложения, потому что их можно удалить только более грубыми методами - ультразвуковой скейлер классический мощный, вручную доработка кюретами. Вектор слишком нежен, он не разрушает камень, он его гладит.

Врач назначает несколько визитов по два часа на процедуру ультразвуковой чистки корней. Это не много для камней, которые копились и затвердевали всю жизнь пациента. Физически невозможно сделать качественно такую сложную и кропотливую работу за 1 раз, если у пациента достаточное количество зубов.

Очищение поддесневой зоны - работа ювелирная и трудоёмкая, требующая максимальной усидчивости от доктора, здоровых глаз и спины. Только у энтузиастов, которые не перегорели, хватает терпения и сил на раскопки качественные.
-4

Как проходит гигиена в общем и целом

Назначают противовоспалительную терапию при необходимости (мы обходимся без антибиотиков). Рот разделят или на четыре сегмента, или на 2 челюсти. Всё зависит от степени сложности. На каждый сегмент или челюсть выделяют по отдельному длительному визиту.

-5

Такое лечение может занять месяц, зато результат - 100% видимый и хватает его надолго. После правильно выполненной поддесневой чистки дёсны становятся плотными, кровоточивость исчезает, дыхание без неприятного запаха, а зубы укрепляют свои позиции в кости.

Да, звучит устрашающе - восемь (!) часов гигиены. Но, иногда, иначе никак. Врач не пытается вас замучить. Он пытается спасти зубы.

Каждый сложный пациент, которому врач честно говорит: - «Нужно четыре визита», должен понимать, что ему повезло. Значит, его зубы ещё можно спасти.
-6

Основа зубного здоровья - домашняя и профессиональная гигиена полости рта

Правильная гигиена спасает почти от всех проблем - кроме тех, что вызваны перегрузкой тканей вследствие неправильного прикуса. Это отдельная история, которую почти все путают с воспалительными заболеваниями пародонта. Статьи были мною писаны.

Если вам кажется, что чистка - простейшая, “копеечная” процедура, значит, у вас всё прекрасно с дёснами, и пародонтита нет. А если кровоточивость, запах и подвижность не проходят и гигиена не помогает больше, чем на 3 месяца - просто знайте, что кто-то тратит четыре приёма по два часа, чтобы одному пациенту почистить зубы, чтобы он эти зубы не потерял.

Вывод

Жуть - это не предстоящие восемь часов лечения. Жуть - это когда воспаление продолжается годами, когда кость растворяется, пока человек верит, что не зря ходит на гигиену по 30 минут раз в три месяца.

Если врач сказал, что будет долго - радуйтесь. Это значит, он действительно видит проблему и собирается её решить самым ответственным образом.

Больше статей по пародонтологии:

Моя пародонтология | Parodoctor | Дзен

Вопросы задавайте в моём Telegram-канале - там я их точно увижу и отвечу. В Дзене сотни комментариев под сотнями статей и я физически не успеваю всё всегда мониторить. В Telegram все вопросы в одном месте, удобно отвечать, можно фото прикрепить. Так что жду в тг:

Parodoctor

С уважением, Лежачёва Наталия Александровна, хирург-пародонтолог и главный врач стоматологии Parodent, СПб.