Найти в Дзене

Заглянуть внутрь организма: севастопольский врач-рентгенолог рассказывает о главных способах диагностики

«Комсомолка» и «Центр общественного здоровья и медицинской профилактики Севастополя» представляют совместный проект «Будь здоров!». На сайте и на страницах еженедельника мы вместе с врачами города освещаем самые важные и актуальные медицинские темы. Накануне профессионального праздника, Дня рентгенолога, который отмечается во всем мире 8 ноября, мы встретились с главным внештатным специалистом по лучевой и инструментальной диагностике департамента здравоохранения Севастополя, заведующим рентгеновским отделением городской больницы №1 Юрием Виноградским. В современных условиях заглянуть внутрь организма позволяют различные методы лучевой диагностики: рентгенография, флюорография, маммография, денситометрия, магнитно- резонансная (МРТ) и компьютерная томография (КТ), ультразвуковая диагностика и др. 8 ноября 1895 года Вильгельм Конрад Рентген впервые получил изображение на фотопластине под действием рентгеновского излучения. Открытие стало настоящим прорывом, Х-лучи позволяли увидеть то,
   Юрий Виноградский. Фото из личного архива
Юрий Виноградский. Фото из личного архива

«Комсомолка» и «Центр общественного здоровья и медицинской профилактики Севастополя» представляют совместный проект «Будь здоров!». На сайте и на страницах еженедельника мы вместе с врачами города освещаем самые важные и актуальные медицинские темы.

Накануне профессионального праздника, Дня рентгенолога, который отмечается во всем мире 8 ноября, мы встретились с главным внештатным специалистом по лучевой и инструментальной диагностике департамента здравоохранения Севастополя, заведующим рентгеновским отделением городской больницы №1 Юрием Виноградским.

В современных условиях заглянуть внутрь организма позволяют различные методы лучевой диагностики: рентгенография, флюорография, маммография, денситометрия, магнитно- резонансная (МРТ) и компьютерная томография (КТ), ультразвуковая диагностика и др.

8 ноября 1895 года Вильгельм Конрад Рентген впервые получил изображение на фотопластине под действием рентгеновского излучения. Открытие стало настоящим прорывом, Х-лучи позволяли увидеть то, что находится внутри организма человека.

В России первый рентгеновский снимок сделали уже в 1896 году, а также впервые в мире был применен рентгеновский аппарат на корабле - корабельным врачом Владимиром Кравченко на крейсере «Аврора».

В Севастополе первый рентгеновский аппарат был установлен в 1907 году в госпитале Черноморского флота. А в 1914 году был открыт Романовский институт физических методов лечения. В здании института, которое сегодня занимает Дворец детского и юношеского творчества, было около 155 специализированных служб. Помимо водолечебницы, ингалятория, различных ванн и лабораторий, было и рентгенологическое отделение.

- Лучевая диагностика на сегодняшний день имеет приоритетное значение. Это рентгенография, флюорография, маммография, магнитно-резонансная и компьютерная томография и ультразвуковая диагностика, - рассказывает Юрий Виноградский.

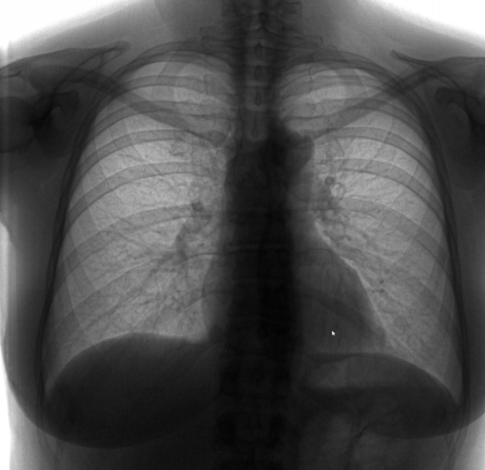
   Так выглядят легкие здорового человека. Фото из личного архива.
Так выглядят легкие здорового человека. Фото из личного архива.

Без лучевых методов исследования не обходится практически ни один пациент, исследования помогают диагностировать огромный спектр заболеваний.

Флюорографию чаще всего применяют для обследования легких. Она помогает выявить воспалительные и инфекционные заболевания легких, в том числе туберкулез.

Рентгенографию легких назначают при подозрении на пневмонию различного генеза, наличие жидкости или воздуха в плевральной полости, острые тромбозы (ТЭЛА). С помощью рентгенографии брюшной полости определяют кишечную непроходимость и наличие свободного газа в желудочно-кишечном тракте. Рентгенография костно-суставной системы помогает обнаружить изменения, переломы, вывихи, новообразования.

Компьютерная томография показана пациентам с подозрением на:

- дегенеративные изменения костей и органов;

- заболевания головного мозга;

- наличие новообразований, доброкачественных и злокачественных;

- повреждения позвоночника;

- сосудистые нарушения;

- болезни кишечника;

- сложные переломы, заболевания суставов;

- синуситы;

- врожденные и приобретенные деформации костей лицевого скелета;

- структурные изменения легких, пищевода, грудной аорты, сердца;

- новообразования, кровоизлияния, инородные тела, воспалительные процессы в брюшной полости.

Современное оборудование

Наверное, каждому человеку хоть раз в жизни делали рентген ноги или руки при сильном ушибе или переломе. Те, кто постарше, помнят большие свеженапечатанные снимки на черной пленке, иногда еще мокрые, и такой снимок потом нужно было отдать лечащему врачу. Технологии не стоят на месте, сегодня снимки рентгеновские, КТ и МРТ цифровые. Поэтому сейчас врач может легко открыть и просмотреть изображение на компьютере, а также переслать коллегам, если требуется консультация.

   Старший рентгенлаборант Марина Лактионова готовит пациентку к исследованию. Фото из личного архива
Старший рентгенлаборант Марина Лактионова готовит пациентку к исследованию. Фото из личного архива

В первой городской больнице работают 24 рентгеновских кабинета, три кабинета компьютерной томографии и кабинет МРТ. За сутки в лечебном учреждении выполняется около 800 лучевых исследований, в том числе 60-80 исследований в кабинете компьютерной томографии. В больнице работают три круглосуточных рентгеновских кабинета: один в травмпункте, еще два - в хирургическом корпусе, а также круглосуточный кабинет компьютерной томографии.

«Случайные находки»

Профессия рентгенолога требует повышенного внимания и усидчивости для того, чтобы не пропустить малейших признаков заболевания. Бывают и «случайные находки», но они не случайны на самом деле, ведь увидеть редкую патологию может только настоящий профессионал с большим опытом.

- К нам обратилась женщина 40 лет, с жалобами на сильные головные боли, боли внизу живота, с пограничными показателями артериального давления 140/90 мм рт. ст. Иногда причиной этого состояния может быть дополнительный сосуд почки. Это врожденная аномалия, - рассказывает Юрий Виноградский.

При проведении КТ с контрастированием дополнительный сосуд почки не был обнаружен, но выявили аномалию развития сосудов малого таза - расширение яичниковой вены. Пациентку прооперировали, она избавилась от головных болей и болей в малом тазу, давление нормализовалось.

Еще одна пациентка 60 лет жаловалась на боли в животе, при УЗИ были обнаружены камни в желчном пузыре.

- Произведено КТ с контрастированием, обнаружена одна из редких аномалий сосудов брюшной полости - синдром сдавления чревного ствола или синдром Данбара. При этой аномалии нарушается кровообращение в органах брюшной полости, - продолжает врач.

У пациентки 62 лет рентгеновская маммография показала наличие в обеих молочных железах множественных микрокальцинатов, обычно они являются злокачественными.

- При детальном сборе анамнеза и после длительного обследования пациентки злокачественного процесса не обнаружено, но был установлен редкий диагноз: синдром Эллерса – Данло, кальцинаты молочной железы были следствием данного синдрома, - говорит специалист.

Маммография

Маммография - это «золотой стандарт» в диагностике патологии молочных желез. Каждая женщина, достигшая 40-летнего возраста, должна проходить обследование раз в два года.

Рак молочной железы очень «помолодел» во всем мире. К сожалению, его диагностируют и у 18-летних пациенток. По данным Всемирной организации здравоохранения, рак молочной железы является самым распространенным видом рака у женщин в 157 из 185 стран, стал причиной 670 тысяч случаев смерти и занимает пятое место среди всех онкологических заболеваний.

- Благодаря цифровым технологиям улучшилась выявляемость на ранних стадиях. Метод и оборудование, которым оснащены наши кабинеты, позволяет увидеть новообразования от двух миллиметров. Такое раннее обнаружение является залогом успешного лечения. Направление на маммографию каждая женщина может получить при посещении поликлиники по месту жительства, - продолжает врач.

Опасно ли облучение при исследовании

Естественный радиационный фон в год составляет 2-3 мЗв, при этом безопасная для населения годовая доза при проведении профилактических исследованиях не должна превышать 1 мЗв, максимальная допустимая - 5 мЗв в год.

   Современные рентгеновские снимки очень детализированные. Фото из личного архива
Современные рентгеновские снимки очень детализированные. Фото из личного архива

Доза облучения при флюорографии составляет 0,02 - 0,05 мЗв, при рентгенографии - 0,15 мЗв - 0,25 мЗв, при низкодозовой компьютерной томографии лёгких - 0,25 - 0,4 мЗв, при маммографии - 0,1 мЗв.

- Во время исследования мы защищаем пациента. Подвержена воздействию Х-лучами только зона интереса, все остальные части тела закрываются рентгенозащитными средствами - просвинцованными фартуками. Управление оборудованием рентгенолаборант производит дистанционно, что минимизирует воздействие на сотрудника ионизирующего излучения, - заключает Юрий Виноградский.

Профилактика заболеваний, отопительный сезон и бюджет города: о чем говорили на аппаратном совещании губернатора Севастополя

Комсомолка на MAXималках - читайте наши новости раньше других в канале @truekpru

Автор: Ирина Жибоедова