Добавить в корзинуПозвонить
Найти в Дзене
Dr.Tirik

Когда холод-это не освежающе, а больно ❄️

Статья, которая заставит дочитать до конца даже тех, кто обычно лениво откладывает тему стоматологии «на потом» Вы когда-нибудь делали глоток холодной воды, ожидая бодрости, а получали удар током где-то в глубине зуба? Вот примерно так началась история одного пациента. Полтора месяца он героически терпел: «пройдет само», «наверное, просто эмаль тонкая», «попью теплый чай и все ок» Знакомо? Только боль возвращалась снова и снова. Иногда казалось, что зуб сам кричит: «Спаси меня, пока не поздно!» Когда пациент наконец пришел ко мне, конечно сделали снимок, потому что изначально пациент подозревал о кариесе под пломбой на зубе 2.6, который был лечен более 5 лет назад, но я сразу поняла, что дело не в нем. Снаружи все выглядело вполне прилично, а между зубам-уже строилась настоящая кариозная «недостройка» Что такое контактный кариес и почему он такой скрытый? Контактный кариес образуется между зубами, куда щеткой не залезть. Крошки после обеда, остатки ужина и сладкие напитки устраи

Статья, которая заставит дочитать до конца даже тех, кто обычно лениво откладывает тему стоматологии «на потом»

Вы когда-нибудь делали глоток холодной воды, ожидая бодрости, а получали удар током где-то в глубине зуба? Вот примерно так началась история одного пациента.

Полтора месяца он героически терпел: «пройдет само», «наверное, просто эмаль тонкая», «попью теплый чай и все ок»

Знакомо?

Только боль возвращалась снова и снова. Иногда казалось, что зуб сам кричит: «Спаси меня, пока не поздно!»

Когда пациент наконец пришел ко мне, конечно сделали снимок, потому что изначально пациент подозревал о кариесе под пломбой на зубе 2.6, который был лечен более 5 лет назад, но я сразу поняла, что дело не в нем.

Снаружи все выглядело вполне прилично, а между зубам-уже строилась настоящая кариозная «недостройка»

Так и не угадаешь, где поселился кариес ?!
Так и не угадаешь, где поселился кариес ?!

Что такое контактный кариес и почему он такой скрытый?

Контактный кариес образуется между зубами, куда щеткой не залезть.

Крошки после обеда, остатки ужина и сладкие напитки устраивают себе вечеринку, бактерии радуются угощению и производят кислоту, которая медленно «подтачивает» эмаль.

Сначала зуб поскрипывает от холода, потом уже громко возмущается. Так и случилось у нашего героя: в итоге пришлось лечить кариес, которые можно было легко предотвратить.

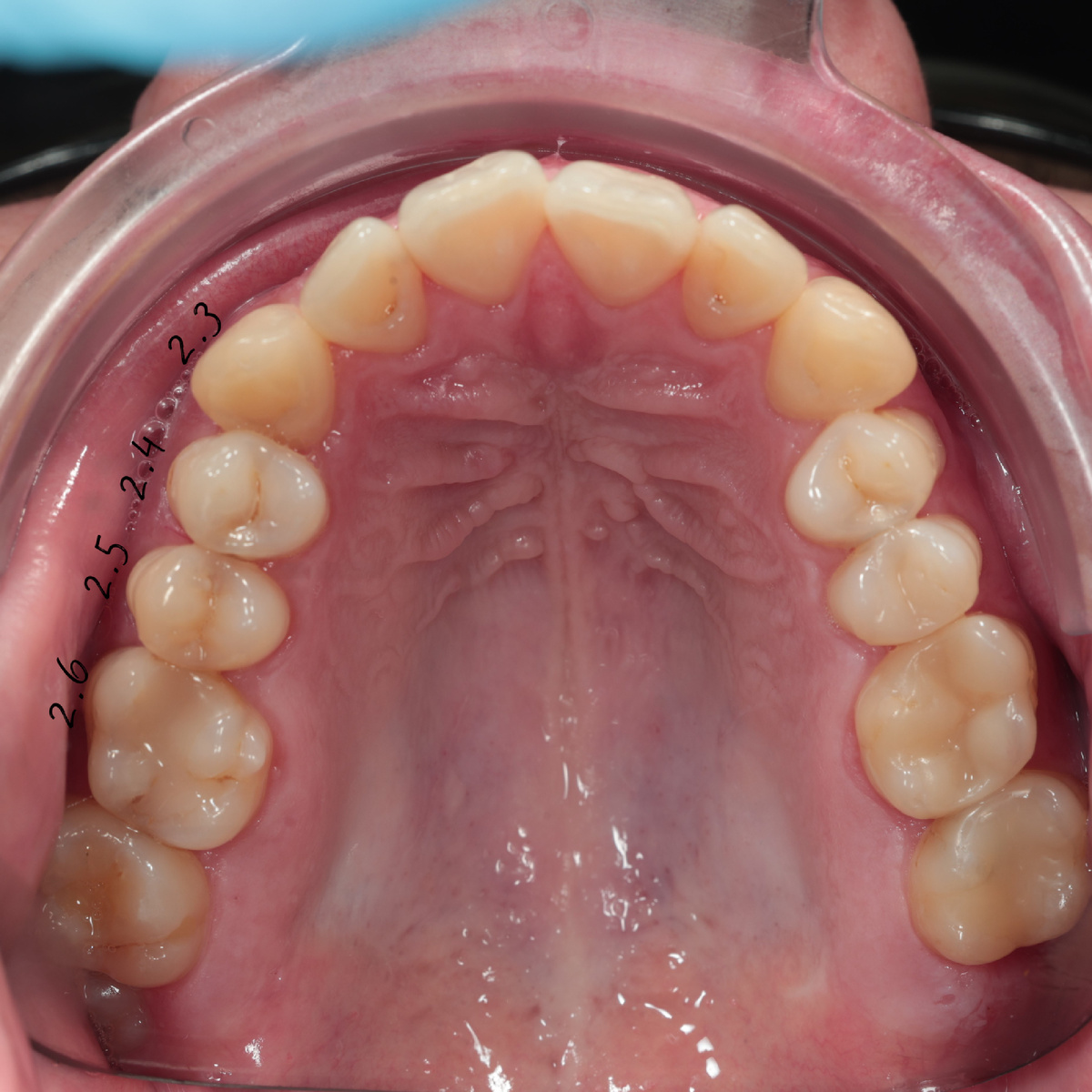
Ну что, какой будем лечить? На вид все симпатяги
Ну что, какой будем лечить? На вид все симпатяги

А так?
А так?

Как избежать скрытого предателя?

Вот то, ради чего вы читали дальше (и зубы вам будут благодарны)

  • Используйте зубную нить каждый день

Она проходит туда, куда щетке вход строго воспрещен. Нить-маленький супергерой в мире профилактики.

  • Регулярно проходите осмотр у стоматолога.

Не раз в полжизни, а хотя бы 2 раза в год. Врач заметит то, что вам не видно, делайте снимок КТ 1 раз в год.

  • Выбирайте пасту с фтором

Фтор укрепляет эмаль, словно ставит охрану на вход.

  • Пейте больше воды

Чистая вода смывает остатки пищи и помогает слюне защищать зубы.

На сегодня у нас зуб 2.4, хотя на 2.3 тоже виднеется кариес, как только убрали стенку
На сегодня у нас зуб 2.4, хотя на 2.3 тоже виднеется кариес, как только убрали стенку

Вычищено все до скрипа в зубе 2.4
Вычищено все до скрипа в зубе 2.4

Финал истории

Мы вылечили пациенту один из зубов «зачинщиков». На лечение остальных, визиты мы запланировали.

Зуб 2.4 готов
Зуб 2.4 готов

Кариес действительно не умеет кричать громко сразу. Он тихий, как тайный заговорщик.

Заметили, хоть малейший намек н чувствительность-не геройствуйте. Герои идут к стоматологу вовремя.

Пусть зубы служат верой и правдой, а ледяная вода снова будет вашим другом, не мучителем.

Улыбйтесь широко и без боли!

С уважением, врач-стоматолог Тирик Елизавета Дмитриевна