Добавить в корзинуПозвонить
Найти в Дзене
Иннова Клиник

Профессиональная гигиена полости рта у детей проводится 1 раз в 3 месяца, спросите, почему так часто

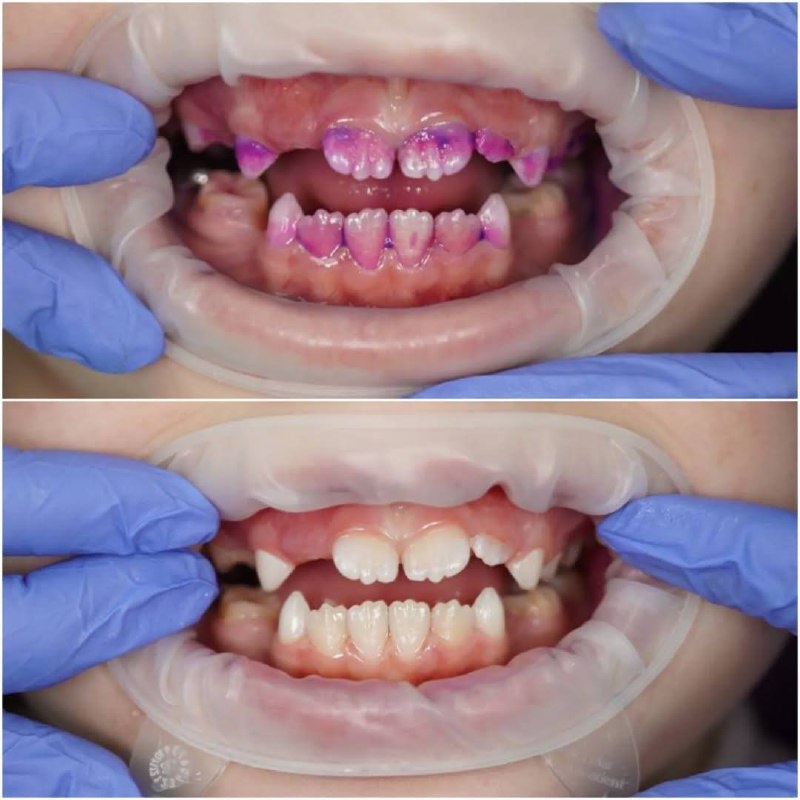
Профессиональная гигиена полости рта у детей проводится 1 раз в 3 месяца, спросите, почему так часто!? Это связано с многими факторами : ✔️ низким уровнем гигиены ✔️ наличием сложных и труднодоступных участков ввиду особенностей смены прикуса ✔️ употреблением большого количества углеводов ✏️Записаться на консультацию можно по телефону 📞+7(8352) 70-97-91 либо напишите нам в чат @innovacontact

Профессиональная гигиена полости рта у детей проводится 1 раз в 3 месяца, спросите, почему так часто!?

Это связано с многими факторами :

✔️ низким уровнем гигиены

✔️ наличием сложных и труднодоступных участков ввиду особенностей смены прикуса

✔️ употреблением большого количества углеводов

✏️Записаться на консультацию можно по телефону 📞+7(8352) 70-97-91 либо напишите нам в чат @innovacontact