Добавить в корзинуПозвонить
Найти в Дзене
Myslo.ru

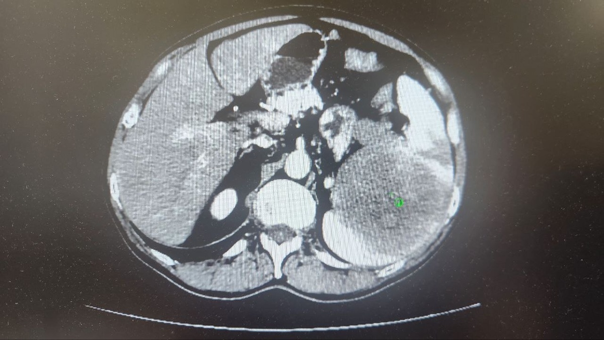
Тульские врачи впервые удалили огромную опухоль селезенки

Операцию провели лапароскопическим методом. В Тульском областном клиническом онкологическом диспансере онкохирурги успешно удалили опухоль селезенки 25×20 см. Современный метод минимизировал травму для пациента и ускорил восстановление. Опухоль нашли у 69-летнего туляка на плановом УЗИ брюшной полости. Дальнейшее обследование подтвердило диагноз: опухоль поразила селезенку, лимфоузлы и хвост поджелудочной железы. Врачи приняли решение об удалении единым блоком селезенки, части поджелудочной железы с опухолью и пораженными лимфоузлами с использованием лапароскопического метода. Лапароскопический подход позволяет снизить кровопотерю, уменьшить болевой синдром после операции и сократить время пребывания в стационаре. Операция прошла успешно. Уже на следующий день пациент был переведен из отделения реанимации в обычную палату, а через пять дней выписан домой под амбулаторное наблюдение. Читайте полную версию статьи на сайте MySlo.ru:
Тульские врачи впервые удалили огромную опухоль селезенк

Операцию провели лапароскопическим методом.

В Тульском областном клиническом онкологическом диспансере онкохирурги успешно удалили опухоль селезенки 25×20 см. Современный метод минимизировал травму для пациента и ускорил восстановление.

Опухоль нашли у 69-летнего туляка на плановом УЗИ брюшной полости. Дальнейшее обследование подтвердило диагноз: опухоль поразила селезенку, лимфоузлы и хвост поджелудочной железы.

-2

Врачи приняли решение об удалении единым блоком селезенки, части поджелудочной железы с опухолью и пораженными лимфоузлами с использованием лапароскопического метода.

-3

Лапароскопический подход позволяет снизить кровопотерю, уменьшить болевой синдром после операции и сократить время пребывания в стационаре.

Операция прошла успешно. Уже на следующий день пациент был переведен из отделения реанимации в обычную палату, а через пять дней выписан домой под амбулаторное наблюдение.

Читайте полную версию статьи на сайте MySlo.ru:
Тульские врачи впервые удалили огромную опухоль селезенки