Добавить в корзинуПозвонить
Найти в Дзене

Зуб мудрости: удалять или оставить? Ответ стоматолога

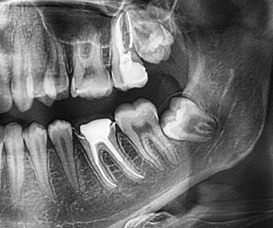
Зубы мудрости — пожалуй, самые загадочные в нашем организме. Они появляются последними, когда челюсть уже сформирована, а места для них часто почти нет. У кого-то «восьмёрки» растут без проблем, у других приносят боль, воспаление и требуют удаления. Почему так происходит и когда действительно нужно прощаться с зубом мудрости — рассказывает стоматолог. Зубы мудрости — это третьи моляры, расположенные в самом конце зубного ряда. Обычно они появляются в возрасте от 17 до 25 лет, но у некоторых — позже или вовсе не прорезываются. В древности у человека челюсти были шире, и эти зубы участвовали в пережёвывании грубой пищи. Со временем рацион стал мягче, а челюсть — меньше. Места для восьмёрок осталось немного, поэтому они часто растут неправильно. Если зуб вырос ровно, полностью прорезался, не травмирует щёку и не мешает соседним зубам — удалять его не нужно. Такие случаи редки, но бывают. Зуб можно сохранить, если он участвует в жевании, не вызывает воспалений и за ним можно полноценно ух
Оглавление

Зубы мудрости — пожалуй, самые загадочные в нашем организме. Они появляются последними, когда челюсть уже сформирована, а места для них часто почти нет. У кого-то «восьмёрки» растут без проблем, у других приносят боль, воспаление и требуют удаления. Почему так происходит и когда действительно нужно прощаться с зубом мудрости — рассказывает стоматолог.

Что такое зубы мудрости и зачем они нужны

Зубы мудрости — это третьи моляры, расположенные в самом конце зубного ряда. Обычно они появляются в возрасте от 17 до 25 лет, но у некоторых — позже или вовсе не прорезываются.

В древности у человека челюсти были шире, и эти зубы участвовали в пережёвывании грубой пищи. Со временем рацион стал мягче, а челюсть — меньше. Места для восьмёрок осталось немного, поэтому они часто растут неправильно.

Когда зуб мудрости может не беспокоить

Если зуб вырос ровно, полностью прорезался, не травмирует щёку и не мешает соседним зубам — удалять его не нужно. Такие случаи редки, но бывают. Зуб можно сохранить, если он участвует в жевании, не вызывает воспалений и за ним можно полноценно ухаживать.

Иногда зубы мудрости даже используются как опора для мостовидных протезов или ортодонтических конструкций. Однако важно, чтобы стоматолог регулярно контролировал их состояние на снимках.

Когда зуб мудрости становится проблемой

К сожалению, гораздо чаще зубы мудрости растут с осложнениями. Это связано с нехваткой места и особенностями их положения.

-2

Основные причины для удаления:

  • Неправильное положение зуба. Он может расти под углом, упираясь в соседний зуб и разрушая его корень.
  • Частичное прорезывание. Если зуб выходит не полностью, образуется «капюшон» из десны, под которым скапливаются бактерии и остатки пищи. Возникает воспаление — перикоронит, сопровождающийся болью и отёком.
  • Разрушение. Из-за труднодоступности зубы мудрости часто поражаются кариесом. Лечить их сложно, и воспаление быстро распространяется.
  • Давление на соседние зубы. Неправильно растущая восьмёрка может сдвигать весь зубной ряд, вызывая скученность зубов и изменение прикуса.
  • Киста или воспаление корня. Иногда зуб мудрости остаётся в кости, не прорезывается и образует очаг инфекции, который видно только на снимке.

Во всех этих случаях удаление — не прихоть врача, а необходимость, чтобы сохранить здоровье всей челюсти.

Больно ли удалять зуб мудрости

Современная стоматология позволяет удалить даже сложные зубы абсолютно без боли. Операция проводится под местной анестезией, а при необходимости — под седацией, когда пациент спокоен и не чувствует дискомфорта.

Процедура длится от 15 минут до часа, в зависимости от положения зуба. После удаления врач даёт рекомендации, как ухаживать за лункой, чтобы заживление прошло быстро и без осложнений. Обычно через 2–3 дня человек уже возвращается к привычному ритму жизни.

Можно ли оставить зуб мудрости, если он не болит

Иногда зуб не вызывает боли, но на снимке видно, что он расположен неправильно или оказывает давление на соседний. В этом случае врач может рекомендовать удаление профилактически, чтобы избежать будущих осложнений.

Многие пациенты ждут до последнего, пока зуб «заболит». Но чем позже удалять, тем сложнее проходит восстановление. Оптимально делать это в молодом возрасте — кость плотная, заживление проходит быстрее, и риск осложнений минимален.

-3

Как ухаживать за зубами мудрости

Если зубы мудрости здоровы и остаются на месте, за ними нужен особенно тщательный уход:

  • используйте щётку с узкой головкой, чтобы добраться до дальних участков;
  • обязательно применяйте ирригатор или нить для удаления остатков пищи;
  • проходите профилактическую чистку у стоматолога каждые 6 месяцев.

Так вы сможете сохранить их здоровыми и избежать воспалений.

Итог

Удалять зуб мудрости или нет — решение, которое принимает стоматолог после осмотра и снимка. Если зуб растёт ровно и не мешает — его можно оставить. Но если он расположен неправильно, разрушен или вызывает воспаление, удаление — лучший способ сохранить здоровье остальных зубов.

Главное — не ждать боли. Современные методы делают процедуру быстрой, безболезненной и безопасной.

В нашей клинике мы проводим диагностику и удаление зубов мудрости любой сложности. Используем щадящие технологии и помогаем пациентам пройти восстановление комфортно. Запишитесь на консультацию — и узнайте, нужно ли вам удалять зуб мудрости или его можно сохранить.