Добавить в корзинуПозвонить
Найти в Дзене

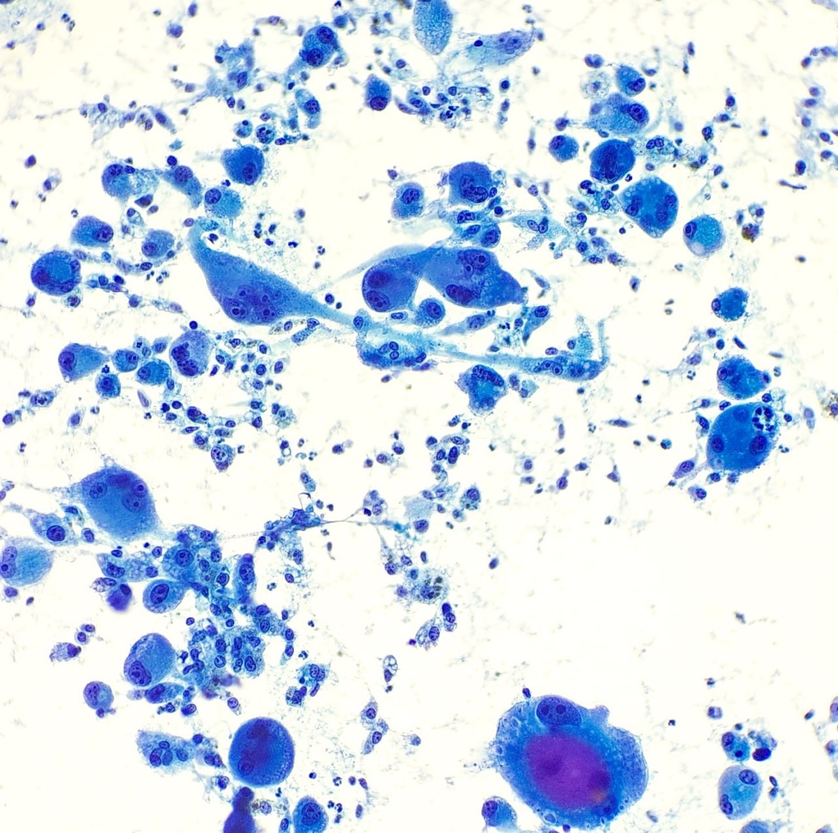
Полиморфизм как он есть

Полиморфизм как он есть Анапластический рак щитовидной железы. Объектив 20x. Окрашивание по Папаниколау. #щитовиднаяжелеза #цитология

Полиморфизм как он есть

Анапластический рак щитовидной железы. Объектив 20x. Окрашивание по Папаниколау.

#щитовиднаяжелеза #цитология